КТ почек — цены недорого, где лучше сделать в Москве, что показывает
Компьютерная томография почек – процедура исследования урологических проблем. Она позволяет обследовать пациента на предмет выявления каких-либо патологий в почках и надпочечниках.
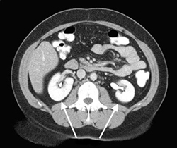
Эта процедура существенно облегчает постановку диагноза. Контрастирование настолько четко визуализирует состояние брюшной полости, что показывает любые изменения в органах. Мультиспиральная КТ − МСКТ почек и надпочечников позволяет быстро и точно диагностировать структурные изменения мочевыделительной системы, представляя послойный снимок исследуемой системы.
Где недорого сделать КТ почек в Москве
Мы регулярно обзваниваем диагностические центры в Москве и обновляем нашу таблицу минимальных цен.
Записаться по минимальный ценам можно через городскую Справочную, позвонив по
телефону:
8 (499) 110-68-43
(каждый день с 7 до 23)
Врач назначает обычно КТ, когда у больного:
- возникла опухоль или травма;
- имеются врожденные аномалии или поликистоз;
- отмечаются симптомы инфекционного заболевания;
- забрюшинная полость требует обследования.
КТ может быть проведено с контрастным веществом и без него, связано это с тем, каков предполагаемый диагноз пациента и необходимая степень обследования почек. Т. к. использование контрастирования специальной подготовки организма к процедуре не требует, его могут проводить не только в рамках индивидуализированного лечения, но и во время общего обследования состояния человека.
-
ул. Маросейка, д. 2/15, стр. 1
-
Китай-город, Лубянка, Площадь Революции
-
пн-вс с 8:00 до 22:00
-
- КТ Philips Brilliance CT, 16 срезов
- МРТ Philips Achieva, 1.5 Тл, полуоткрытый
Цены:
-
Спартаковский переулок, д. 2, стр. 11
-
Красносельская, Бауманская, Комсомольская
-
пн-пт с 8:00 до 21:00, сб-вс с 9:00 до 21:00
-
- КТ Siemens SOMATOM go.Up, 32 срезов
- МРТ SIEMENS MAGNETOM ALTEA, 1.5 Тл, полуоткрытый
Цены:
-
Химки, ул. Совхозная, д. 4, стр. 1
-
Ховрино
-
круглосуточно
-
- КТ Siemens Healthineers SOMATOM, 64 срезов
- МРТ Siemens , 1.5 Тл, закрытый
Цены:
-
Щелковское шоссе, д. 48, стр. 3
-
Щелковская, Первомайская, Измайловская
-
пн-вс с 9:00 до 21:00
-
- КТ Siemens Healthineers, 16 срезов
Цены:
-
3-е Почтовое отделение, д. 102
-
Жулебино, Котельники, Лермонтовский проспект
-
пн-вс круглосуточно
-
- КТ Siemens Somatom Scope, 32 срезов
Цены:
-
Волгоградский пр-т, д. 45
-
Текстильщики, Новохохловская, Угрешская
-
пн-вс с 9:00 до 21:00
-
- МРТ Philips Intera, 1.5 Тл, закрытый
- КТ Philips Brillians, 64 срезов
Цены:
-
ул. Автозаводская, д. 23, корп. 9
-
ЗИЛ, Автозаводская, Тульская
-
пн-вс с 8:00 до 22:00
-
- МРТ Philips Intera, 2013 года, 1.5 Тл, полуоткрытый
- КТ General Electric LIGHT SPEED, 64 срезов
Цены:
-
ул. Октября, д. 2 Б
-
Новокосино, Новогиреево
-
пн-вс с 9:00 до 21:00
-
- КТ Philips Brilliance, 64 срезов
- МРТ Philips Achieva, 1.5 Тл, полуоткрытый
Цены:
-
ул. Кирова, д. 36, корп. 2
-
Жулебино, Котельники, Лермонтовский проспект
-
пн-сб с 9:00 до 21:00, вс с 9:00 до 20:00
-
- КТ Toshiba Aquilion CXL, 64 срезов
Цены:
-
Мичуринский пр-т, д. 15 А
-
Раменки, Ломоносовский проспект, Университет
-
пн-вс 08:00-18:00
-
- КТ Philips Access CT, 16 срезов
Цены:
-
ул. Краснопролетарская, д. 16
-
Новослободская, Достоевская, Менделеевская
-
пн-вс с 8:00 до 21:00
-
- МРТ General Electric Optima MR360 Advance, 2013 года, 1.5 Тл, полуоткрытый
- КТ General Electric Optima CT660, 2013 года, 64 срезов, закрытый
Цены:
-
ул. Малая Пироговская, д. 13, стр. 1
-
Фрунзенская, Спортивная, Лужники
-
пн-вс с 9:00 до 21:00
-
- МРТ General Electric Optima MR360 Advance, 1.5 Тл, полуоткрытый
- КТ General Electric Optima CT660, 64 срезов
Цены:
-
ул. Орджоникидзе, д. 11, стр. 10
-
Площадь Гагарина, Ленинский проспект, Тульская
-
пн-вс с 9:00 до 23:00
-
- МРТ General Electric Brivo MR 355, 1.5 Тл, полуоткрытый
- КТ General Electric BrightSpeed, 16 срезов
Цены:
-
ул. Льва Толстого, д. 10, стр. 1
-
Парк культуры, Фрунзенская, Октябрьская
-
пн-сб с 8:00 до 24:00, вс с 8:00 до 21:00
-
- МРТ Philips Achieva, 1.5 Тл, закрытый
- КТ Philips Brilliance, 64 срезов
Цены:
-
пр-т Мира, д. 211, корп. 2
-
Ростокино, Свиблово, Ботанический сад
-
пн-вс с 8:00 до 18:00
-
- МРТ Siemens Magnetom Verio, 2014 года, 3 Тл, полуоткрытый
- КТ Siemens SOMATOM Definition Flash, 2014 года, 128 срезов
- МРТ Siemens MAGNETOM Avanto, 1.5 Тл, закрытый
Цены:
-
1-й Перова Поля проезд, д. 9, стр. 1
-
Перово, Шоссе Энтузиастов, Андроновка
-
пн-сб с 9:00 до 20:00
-
- МРТ АЗ 300, 2013 года, 0.31 Тл, открытый
- КТ Toshiba Alexion, 2015 года, 16 срезов, закрытый
Цены:
-
2-й Тверской-Ямской пер., д. 10
-
Маяковская, Белорусская, Новослободская
-
пн-пт с 8:00 до 21:00, сб-вс с 9:00 до 20:00
-
- МРТ SIEMENS MAGNETOM Skyra, 2013 года, 3 Тл, полуоткрытый
- КТ SIEMENS Somatom Definition, 2013 года, 64 срезов
- ПЭТ-КТ Philips Gemini TF
Цены:
-
ул. Колхозная, д. 22
-
Лермонтовский проспект, Косино, Улица Дмитриевского
-
пн-пт 08:00-21:00; сб, вс 09:00-21:00
-
- МРТ Philips Achieva, 3 Тл, полуоткрытый
- КТ Philips Brilliance, 64 срезов
Цены:
-
ул. Автозаводская, д. 16, корп. 2
-
ЗИЛ, Автозаводская, Тульская
-
пн-вс с 8:00 до 23:00
-
- МРТ SIEMENS MAGNETOM ESPREE, 2017 года, 1.5 Тл, полуоткрытый
Цены:
Риски
Есть противопоказания для проведения компьютерной томографии:
- наличие аллергии на вещество-контраст (является йодсодержащим);
- беременность;
- сахарный диабет.
После процедуры иногда отмечается побочный эффект в виде:
- вкуса металла во рту;
- припухлости губ или сыпи вследствие аллергии на контраст;
- редко – почечной недостаточности.
Преимущества и недостатки КТ внутренних органов
Компьютерная томография - активно используемый в современной медицине диагностический метод, особенно широкое применение получивший в обследованиях скелета человека или отдельных внутренних органов, а также кровеносной системы. Несмотря на обилие других, более современных методик, КТ остается одной из самых востребованных.
Компьютерная томография имеет как свои несомненные плюсы, делающие совершенно невозможным заменить ее в некоторых случаях, так и некоторые минусы, которые мешают назвать эту методику действительно универсальной. Давайте рассмотрим те и другие более подробно - именно это может помочь принять решение о прохождении диагностики.
Какие органы обычно смотрят на КТ
Наиболее хорошо метод компьютерной томографии работает с обследованием плотных тканей - костей, хрящей и так далее. По этой причине на КТ нередко направляют травматологи для уточнения перелома или трещины в кости, также нередко это обследование применяется в стоматологии и ортопедии. Высокая точность метода позволяет получить очень точные, подробные изображения мелких структур - костей пальцев, суставов, КТ ЛОР-органов.
Также методика хорошо позволяет рассматривать прилегающие к костям мягкие ткани - сухожилия, связки и т.д., позволяя диагностировать вывихи, растяжения и прочие повреждения. КТ мягких тканей скорее будет выполняться с контрастом для большей четкости итогового снимка. При использовании контрастирующего вещества не менее хорошо методика работает для обследования сосудов, позволяя получить весьма четкую и подробную картину состояния кровеносной системы.
Помимо того, КТ прекрасно подходит для диагностики определенных внутренних органов. Какие органы обычно смотрят на КТ? Таковыми являются определенные структуры - полые: кишечник, легкие, трахея, мочевой пузырь. Компьютерная томография хорошо подходит для обследования органов грудной клетки и брюшной полости, пазух носа, гортани. Присутствует возможность обследования и других органов, но она используется заметно реже.
Показания и противопоказания
Показания к компьютерной томографии достаточно разнообразны и зависят от конкретного обследования. Определять, в какой конкретной ситуации необходимо пройти КТ, стоит не самому пациенту, а врачу - так как данное обследование не абсолютно безвредно, назначать его себе без согласования с доктором совершенно точно не стоит. Лучше всего доверить этот вопрос своему лечащему врачу.
Проблемой КТ можно назвать сам принцип его действия: в основе работы любого КТ-сканера лежит использование рентгеновских лучей. Таким образом пациент при обследовании получает незначительную, но все-таки дозу облучения. Из-за этого проводить компьютерную томографию подряд два и более раз совершенно точно нельзя: радиация, которая медленно выводится из организма, может накапливаться и выливаться в итоге в проблемы - вплоть до онкологических болезней. Между диагностикой необходимо делать перерыв хотя бы в три недели.
По указанной причине КТ практически не делается двум категориям пациентов: беременным женщинам (так как радиация может плохо сказаться на будущем ребенке) и маленьким детям (потому что также плохо она может повлиять на растущий детский организм). Риски на самом деле совсем невелики, но при возможности лучше избежать и их. Заменой КТ может выступить МРТ или хотя бы спиральная компьютерная томография, имеющая сниженную лучевую нагрузку.
Подготовка к диагностике
Компьютерная томография, как правило, не нуждается ни в какой особенной подготовке - зачастую на обследование, например, КТ лимфоузлов, можно прийти просто так, не изменяя никаким образом свой обычный режим питания, приема лекарств с витаминами или что-то еще. Единственное, что стоит сделать перед обычным КТ-исследованием - это выбрать одежду без металлических частей, свободную и удобную, и снять все украшения и аксессуары из металла.
Однако, при использовании контраста ситуация меняется: в таком случае необходимо, во-первых, согласовать применение контрастирующего вещества со своим врачом, убедившись, что отсутствуют ограничения для его использования, а во-вторых - поголодать несколько часов перед диагностикой. Ограничения на контраст накладывают проблемы с почками, печенью, щитовидной железой, а также аллергия на йод.
Обследование занимает немного времени, меньше, чем в среднем уходит, например, на МРТ - КТ органов грудного отдела займет около двадцати минут, а обследование руки или ноги может легко уложиться в 10-15. При обследовании пациент ложится на кушетку, при необходимости закрепляется на ней специальными ремешками, чтобы ограничить подвижность: при прохождении КТ важно не двигаться. На обработку итоговых результатов уходит около часа и уже в тот же день пациент может получить снимки и заключение на руки.
Городская Служба записи на МРТ и КТ
Консультация по общим вопросам диагностики
Запись по всем районам города
Услуги Службы записи бесплатны для пациента
Сколько стоит КТ
Ответ на вопрос о том, сколько стоит компьютерная томография почек, напрямую связан с тем, как проводится процедура. В стоимость ее входит:
- письменное заключение врача-рентгенолога;
- устный комментарий результатов, консультация;
- использование контраста.
Цена КТ надпочечников с контрастом естественно выше, чем без его использования, и зависит от типа конкретного используемого препарата. Цена КТ почек с контрастным веществом в Москве варьируется в различных клиниках.
Риски