МРТ сосудов головного мозга — цены недорого, где лучше сделать в Москве, что показывает
Последние 20 лет в медицинской практике терапевтов, нейрохирургов, невропатологов, активно используется магнитно-резонансная томография. Благодаря МРТ головы и сосудов головного мозга удается определить его общее состояние, патологии, очаги заболеваний, гематомы, травмы и посттравматические изменения.
Где недорого сделать МРТ сосудов головного мозга в Москве
Мы регулярно обзваниваем диагностические центры в Москве и обновляем нашу таблицу минимальных цен.
Записаться по минимальный ценам можно через городскую Справочную, позвонив по
телефону:
8 (499) 110-68-43
(каждый день с 7 до 23)
Кому назначают процедуру?
С помощью МРТ головного мозга врачи получают точные результаты обследования, которые в дальнейшем помогают назначать эффективное лечение или подготовить пациента к операции.
Укажем, кому чаще всего назначают процедуру:
- пациентам, страдающим от частых головных болей, мигрени, головокружений;
- людям, перенесшим травмы шейного, черепного отдела;
- для обнаружения аномалий строения сосудистой системы: при тромбозах, аневризме, кровоизлиянии в мозг, инсульте;
- пациентам, у кого установлен диагноз эпилепсии;
- показания проведения – хронический синусит, рассеянный склероз;
- для раннего выявления инфекционных заболеваний: менингита, ВИЧ, абсцесса;
- исследование пациентов, у которых внезапно произошли нарушения зрения, слуха;
- основанием исследований может стать неясные кровотечения из носа, шум в ушах;
- необходимо для обнаружения опухолей, новообразований.
-
ул. Маросейка, д. 2/15, стр. 1
-
Китай-город, Лубянка, Площадь Революции
-
пн-вс с 8:00 до 22:00
-
- КТ Philips Brilliance CT, 16 срезов
- МРТ Philips Achieva, 1.5 Тл, полуоткрытый
Цены:
-
Подсосенский переулок, д. 17
-
Чкаловская, Курская, Китай-город
-
пн-пт с 9:00 до 21:00, сб-вс с 10:00 до 18:00
-
- МРТ Philips Achieva Intera, 1.5 Тл, полуоткрытый
- КТ Toshiba Aquilion CXL, 128 срезов
Цены:
-
Химки, ул. Совхозная, д. 4, стр. 1
-
Ховрино
-
круглосуточно
-
- КТ Siemens Healthineers SOMATOM, 64 срезов
- МРТ Siemens , 1.5 Тл, закрытый
Цены:
-
ул. Полковая, д.12, корп. 1
-
Савеловская, Марьина Роща, Дмитровская
-
пн-вс с 8:00 до 20:00
-
- МРТ General Electric Optima MR360, 1.5 Тл, закрытый
Цены:
-
ул. 15-ая Парковая, д. 5
-
Первомайская, Измайловская, Щелковская
-
пн-пт с 8:00 до 21:00, сб с 9:00 до 20:00, вс с 10:00 до 19:00
-
- МРТ Siemens Magnetom Impact Expert, 1.5 Тл, закрытый
Цены:
-
Борисовский проезд, д. 15, корп. 1, стр. 2
-
Шипиловская, Борисово, Домодедовская
-
пн-пт с 8:00 до 21:00, сб с 9:00 до 21:00, вс с 10:00 до 19:00
-
- МРТ Siemens MAGNETOM Symphony, 1.5 Тл, полуоткрытый
Цены:
-
ул. 2-я Владимирская, д. 2
-
Перово, Шоссе Энтузиастов, Соколиная Гора
-
пн-вс с 8:00 до 22:00
-
- МРТ Siemens Magnetom Symphony, 1.5 Тл, полуоткрытый
Цены:
-
ул. Люсиновская, д. 53, корп. 2
-
Шаболовская, Серпуховская, Тульская
-
- КТ General Electric VCT, 64 срезов
- МРТ Siemens Avanto TIM, 1.5 Тл, полуоткрытый
Цены:
-
ул. Садовническая, д. 11, стр. 10 А
-
Новокузнецкая, Третьяковская, Китай-город
-
пн-вс с 7:00 до 23:00
-
- МРТ Philips Intera, 2011 года, 1.5 Тл, закрытый
Цены:
-
Переведеновский переулок, д. 8
-
Бауманская, Красносельская, Электрозаводская
-
пн-вс с 8:00 до 22:00
-
- МРТ Siemens MAGNETOM Aera, 1.5 Тл, полуоткрытый
Цены:
-
ул. Нагатинская, д. 1, стр. 25
-
Нагатинская, Верхние Котлы, Нагорная
-
пн-вс с 7:00 до 01:00
-
- МРТ General Electric Signa HD, 2012 года, 1.5 Тл, закрытый
Цены:
-
ул. Привольная, д. 70, корп. 1
-
Котельники, Жулебино
-
пн-сб с 9:00 до 21:00, вс с 9:00 до 20:00
-
- МРТ AILAB MagFinderII, 0.32 Тл, открытый
Цены:
-
ул. Волочаевская д. 15, стр. 1
-
Площадь Ильича, Римская, Москва Товарная
-
пн-вс с 8:00 до 21:00
-
- МРТ Philips Ingenia, 1.5 Тл, полуоткрытый
- КТ Philips Ingenuity Elite, 128 срезов
Цены:
-
Волгоградский пр-т, д. 45
-
Текстильщики, Новохохловская, Угрешская
-
пн-вс с 9:00 до 21:00
-
- МРТ Philips Intera, 1.5 Тл, закрытый
- КТ Philips Brillians, 64 срезов
Цены:
-
ул. Автозаводская, д. 23, корп. 9
-
ЗИЛ, Автозаводская, Тульская
-
пн-вс с 8:00 до 22:00
-
- МРТ Philips Intera, 2013 года, 1.5 Тл, полуоткрытый
- КТ General Electric LIGHT SPEED, 64 срезов
Цены:
-
ул. Летчика Бабушкина, д. 48 Б
-
Бабушкинская, Медведково
-
пн-вс круглосуточно
-
- МРТ Siemens Magnetom Essenza, 2014 года, 1.5 Тл, закрытый
- КТ Siemens Perspective, 2014 года, 128 срезов
Цены:
-
ул. Профсоюзная, д. 114
-
Беляево, Коньково, Калужская
-
пн-вс круглосуточно
-
- МРТ General Electric , 3.0 Тл, закрытый
- КТ Siemens Somatom Emotion, 6 срезов
Цены:
-
Ленинский пр-т, д. 146
-
Юго-Западная, Тропарево, Проспект Вернадского
-
пн-вс круглосуточно
-
- МРТ Siemens Magnetom Symphony , 2012 года, 1.5 Тл, закрытый
- КТ Siemens SOMATOM Emotion, 6 срезов
Цены:
-
площадь Собина, д. 1
-
Долгопрудная, Новодачная, Водники
-
пн-пт с 8:00 до 22:00, сб-вс с 10:00 до 18:00
-
- МРТ Siemens Magnetom, 1.0 Тл, полуоткрытый
Цены:
-
Большой Власьевский переулок, д. 9
-
Смоленская, Кропоткинская, Арбатская
-
пн-вс круглосуточно
-
- МРТ Siemens Magnetom C, 2011 года, 0.35 Тл, открытый
- КТ Siemens Somatom Emotion, 2011 года, 16 срезов
Цены:
Возможности МРТ
Магнитно-резонансная томография – это передовой способ диагностировать заболевания головного мозга. Особенность процедуры – это обследование слоев органа и обнаружения отклонения в его состоянии. Но это не все возможности томографии. Она способна на следующее:
- обнаружить затромбированные сосуды;
- увидеть ранние признаки инсульта;
- выявить изменения после сотрясения головного мозга;
- артериография обнаружит даже небольшие аневризмы сосудов;
- увидеть изменения, новообразования;
- обнаружить гематомы.
В отличие от традиционного рентгена, такое исследование позволяет заметить все патологии. При этом кости черепа не являются преградой, изображения тканей выполняется с высокой четкостью.
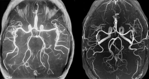
Отличие МРТ от МР-ангиографии
При обращении в больницу, часто можно услышать разные названия процедур. Принципиальных отличий в проведении МРТ и МР-ангиографии нет. Первый вид обследования позволяет изучить нервные ткани головного мозга. А магнитно-резонансная антиография (МРА) выполняет диагностику заболеваний артерий и вен. С помощью венографии – разновидности МРА, можно изучить циркуляцию крови по сосудам, обнаружить нарушения в кровоснабжении мозга, в анатомической структуре сосудов, вывить воспалительные процессы и патологии развития.
Цена МРА сосудов головного мозга зависит от особенностей обследования, так как может выполняться как с контрастом, так и без. При обследовании с контрастом вводиться специальное вещество, которое повышает яркость изображения сосудов.
Городская Служба записи на МРТ и КТ
Консультация по общим вопросам диагностики
Запись по всем районам города
Услуги Службы записи бесплатны для пациента
Стоимость процедуры
Вопрос о том, сколько стоит МРТ сосудов головного мозга интересует всех. Укажем, какие факторы влияют на формирование цены:
- зависит от участка обследования;
- на стоимость влияет качество снимка;
- проведение бесконтрастного исследования будет дешевле, чем с использованием специального вещества;
- цена МРТ сосудов головного мозга и шеи в Москве зависит от того, в каком виде будет выдан результат. Часто пациенты заказывают результаты в формате CD;
- дополнительные консультации по желанию пациента.