МРТ сосудов — цены недорого, где лучше сделать в Москве, что показывает
Зачем делают МРТ кровеносных сосудов – что показывает МР-ангиография
Магнитно-резонансная томография по сосудистой программе с контрастом позволяет тщательно изучить микроциркуляцию головного мозга, шеи, почек, аорты. Нативное сканирование применяется для выявления рассеянного склероза, болезни Альцгеймера, демиелинизации (разрушение миелина нервных оболочек), дегенеративно-дистрофических процессов.
Где недорого сделать МРТ сосудов в Москве
Мы регулярно обзваниваем диагностические центры в Москве и обновляем нашу таблицу минимальных цен.
Записаться по минимальный ценам можно через городскую Справочную, позвонив по
телефону:
8 (499) 110-68-43
(каждый день с 7 до 23)
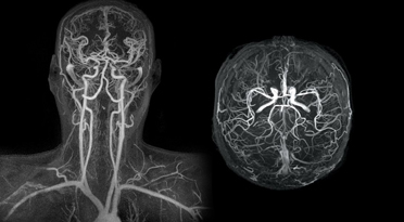
Традиционная МРТ с сосудистой программой визуализирует артерии, вены, лимфатические сосуды, капиллярную сеть. Информация необходима для:
- Выявления участков сужения (окклюзий и стенозов);
- Образования соустьев между артериями и венами – мальформации;
- Диагностики трещин и расслоения стенки сосудов – аневризма;
- Обнаружения замедления кровотока из-за атеросклеротических бляшек;
- Верификации врожденных артериальных аномалий – патологические изгибы, деформация, гипоплазия.
Изучая фото МРТ сосудов мозга, специалисты выявляют тромбофлебиты, кровяные сгустки, атеросклеротические бляшки или неврологические сужения. Патология поверхностной мозговой венозной сети возникает редко и обусловлена недостаточностью клапанов.
-
ул. Маросейка, д. 2/15, стр. 1
-
Китай-город, Лубянка, Площадь Революции
-
пн-вс с 8:00 до 22:00
-
- КТ Philips Brilliance CT, 16 срезов
- МРТ Philips Achieva, 1.5 Тл, полуоткрытый
Цены:
-
Спартаковский переулок, д. 2, стр. 11
-
Красносельская, Бауманская, Комсомольская
-
пн-пт с 8:00 до 21:00, сб-вс с 9:00 до 21:00
-
- КТ Siemens SOMATOM go.Up, 32 срезов
- МРТ SIEMENS MAGNETOM ALTEA, 1.5 Тл, полуоткрытый
Цены:
-
Подсосенский переулок, д. 17
-
Чкаловская, Курская, Китай-город
-
пн-пт с 9:00 до 21:00, сб-вс с 10:00 до 18:00
-
- МРТ Philips Achieva Intera, 1.5 Тл, полуоткрытый
- КТ Toshiba Aquilion CXL, 128 срезов
Цены:
-
Химки, ул. Совхозная, д. 4, стр. 1
-
Ховрино
-
круглосуточно
-
- КТ Siemens Healthineers SOMATOM, 64 срезов
- МРТ Siemens , 1.5 Тл, закрытый
Цены:
-
ул. Полковая, д.12, корп. 1
-
Савеловская, Марьина Роща, Дмитровская
-
пн-вс с 8:00 до 20:00
-
- МРТ General Electric Optima MR360, 1.5 Тл, закрытый
Цены:
-
ул. 15-ая Парковая, д. 5
-
Первомайская, Измайловская, Щелковская
-
пн-пт с 8:00 до 21:00, сб с 9:00 до 20:00, вс с 10:00 до 19:00
-
- МРТ Siemens Magnetom Impact Expert, 1.5 Тл, закрытый
Цены:
-
Борисовский проезд, д. 15, корп. 1, стр. 2
-
Шипиловская, Борисово, Домодедовская
-
пн-пт с 8:00 до 21:00, сб с 9:00 до 21:00, вс с 10:00 до 19:00
-
- МРТ Siemens MAGNETOM Symphony, 1.5 Тл, полуоткрытый
Цены:
-
ул. 2-я Владимирская, д. 2
-
Перово, Шоссе Энтузиастов, Соколиная Гора
-
пн-вс с 8:00 до 22:00
-
- МРТ Siemens Magnetom Symphony, 1.5 Тл, полуоткрытый
Цены:
-
ул. Люсиновская, д. 53, корп. 2
-
Шаболовская, Серпуховская, Тульская
-
- КТ General Electric VCT, 64 срезов
- МРТ Siemens Avanto TIM, 1.5 Тл, полуоткрытый
Цены:
-
ул. Садовническая, д. 11, стр. 10 А
-
Новокузнецкая, Третьяковская, Китай-город
-
пн-вс с 7:00 до 23:00
-
- МРТ Philips Intera, 2011 года, 1.5 Тл, закрытый
Цены:
-
Переведеновский переулок, д. 8
-
Бауманская, Красносельская, Электрозаводская
-
пн-вс с 8:00 до 22:00
-
- МРТ Siemens MAGNETOM Aera, 1.5 Тл, полуоткрытый
Цены:
-
ул. Нагатинская, д. 1, стр. 25
-
Нагатинская, Верхние Котлы, Нагорная
-
пн-вс с 7:00 до 01:00
-
- МРТ General Electric Signa HD, 2012 года, 1.5 Тл, закрытый
Цены:
-
ул. Привольная, д. 70, корп. 1
-
Котельники, Жулебино
-
пн-сб с 9:00 до 21:00, вс с 9:00 до 20:00
-
- МРТ AILAB MagFinderII, 0.32 Тл, открытый
Цены:
-
ул. Волочаевская д. 15, стр. 1
-
Площадь Ильича, Римская, Москва Товарная
-
пн-вс с 8:00 до 21:00
-
- МРТ Philips Ingenia, 1.5 Тл, полуоткрытый
- КТ Philips Ingenuity Elite, 128 срезов
Цены:
-
Волгоградский пр-т, д. 45
-
Текстильщики, Новохохловская, Угрешская
-
пн-вс с 9:00 до 21:00
-
- МРТ Philips Intera, 1.5 Тл, закрытый
- КТ Philips Brillians, 64 срезов
Цены:
-
ул. Автозаводская, д. 23, корп. 9
-
ЗИЛ, Автозаводская, Тульская
-
пн-вс с 8:00 до 22:00
-
- МРТ Philips Intera, 2013 года, 1.5 Тл, полуоткрытый
- КТ General Electric LIGHT SPEED, 64 срезов
Цены:
-
ул. Летчика Бабушкина, д. 48 Б
-
Бабушкинская, Медведково
-
пн-вс круглосуточно
-
- МРТ Siemens Magnetom Essenza, 2014 года, 1.5 Тл, закрытый
- КТ Siemens Perspective, 2014 года, 128 срезов
Цены:
-
ул. Профсоюзная, д. 114
-
Беляево, Коньково, Калужская
-
пн-вс круглосуточно
-
- МРТ General Electric , 3.0 Тл, закрытый
- КТ Siemens Somatom Emotion, 6 срезов
Цены:
-
Ленинский пр-т, д. 146
-
Юго-Западная, Тропарево, Проспект Вернадского
-
пн-вс круглосуточно
-
- МРТ Siemens Magnetom Symphony , 2012 года, 1.5 Тл, закрытый
- КТ Siemens SOMATOM Emotion, 6 срезов
Цены:
-
площадь Собина, д. 1
-
Долгопрудная, Новодачная, Водники
-
пн-пт с 8:00 до 22:00, сб-вс с 10:00 до 18:00
-
- МРТ Siemens Magnetom, 1.0 Тл, полуоткрытый
Цены:
МРТ сосудов
Магнитно-резонансная томография позволяет провести обследование практически любого внутреннего органа и системы организма. МР-ангиография выполняется для сосудов мозга, шеи, сердца, позвоночника. В целом этот вид обследования подходит для сосудов любой локализации, где бы они не размещались — в брюшной полости или головном мозге. Он может проводиться с успехом даже на довольно слабом оборудовании - достоверные результаты можно получить на томографе с напряженностью магнитного поля от 0,3 Тл.
Пройти МРТ сосудов следует при следующих симптомах: хронические сильные головные боли, ВСД, частое головокружение, онемение конечностей, наличие тромбозов или травм головного мозга. Нередко это исследование оказывается незаменимо для определения причин головных болей — зачастую именно с сосудами шеи или мозга связаны мучающие пациента мигрени. Также МРТ сосудов часто назначают перед операционным вмешательством — например, обследование почечных артерий. Стоит заметить, что в настоящее время сосудистые заболевания относятся к одним из лидирующих по частоте.
Для обследования бывает необходимо введение пациенту контрастного вещества, которое сделает полученные результаты более четкими. В исследовании артерий используется болюсное контрастирование — когда контрастный препарат вводится внутривенно с определенным интервалом подачи вещества, тем самым помогая разграничить фазы контрастирования. Также оно подходит для исследования органов грудного отдела, малого таза и некоторых других.
В случаях подозрения на новообразования МРТ с сосудистой программой в режиме контрастирования является обязательным, в большинстве прочих случаев без контраста зачастую можно обойтись. МРТ в сосудистом режиме (исследующее сосуды шеи и мозга) контраста не требует, так как естественным контрастирующим веществом выступает движущаяся кровь. Снижение же четкости сигнала явственно свидетельствует о замедлении или полном отсутствии кровотока в определенной зоне головного мозга - что очевидно указывает на патологию.
Определение сосудистой патологии при МР-томографии – лучший метод
При МР-ангиографии делают внутривенное усиление препаратами гадолиния. Средство не токсично, быстро выводится почками, не вызывает аллергии. Для пространственного изучения анатомического объекта программное обеспечение создает трехмерную (3D) реконструкцию нужной области на основе полученных томограмм.
Изучить состояние сосудов можно не только при МР-ангиографии. Бесконтрастное сканирование визуализирует внешнее состояние магистральных сосудов, выявляет крупные расширения, аномалии хода артерии. Только после возникновения подозрений на патологию артерий, вен назначают дополнительное исследование с контрастом.
Сканирование с ангиографическим режимом (введение контрастного вещества) выявляет небольшие опухоли различной локализации. Злокачественные новообразования имеют интенсивную сосудистую сеть, выявляемую при МР-ангиографии. С помощью магнитно-резонансной томографии проводится динамическая оценка состояния здоровья после оперативных вмешательств, консервативного лечения.
УЗИ сосудов или МРТ – что лучше
При подозрении на изменения мозга детям после рождения делают УЗИ. Пока роднички черепа не закрылись, врачи имеют возможность выявить патологию. Когда черепная коробка полностью покрывается костной тканью, только магнитно-резонансная томография верифицирует белое и серое вещество, выявляет кровоизлияния, оценивает микроциркуляцию Виллизиевого круга, венозных синусов, измеряет размеры субарахноидальных пространств.
УЗИ почечных артерий, печеночного портального кровотока выявляет обычные, крупные или гигантские аневризмы (размерами от 5 до 25 мм), показывает застойные изменения (с помощью эффекта Доплера). МР контрастное исследование сосудов выявляет милиарные расширения диаметром менее 3 мм. Исследование верифицирует структуру, форму, длительность патологического расширения.
Ультразвуковое сканирование – это более доступное, экономически выгодное обследование. Используется для скрининга множества болезней сосудистой сети.
МР ангиография – что это такое
Бесконтрастная магнитно-резонансная томография имеют широкую область применения, но информации о строении мягких тканей головного мозга недостаточно для полноценного изучения новообразований.
МР-ангиография применяется для:
- Выявления локализаций бляшек атеросклероза в мозговых сосудах;
- Определения зоны сужения;
- Диагностики опухолей, определения стадии образования, метастазов;
- Изучения состояния сосудистой стенки при аневризме, мальформациях (артериально-венозных соустьях);
- Отслеживания изменений ткани при ишемическом или геморрагическом инсульте.
При МРТ ангиографии видны сосуды венозных синусов, которые заполняются кровяными сгустками при пародонтите или синусите.
Избежать неотложных состояний при тромбозе каменистого, сигмовидного или сагиттального синусов помогает своевременная МРТ венография.
Артериовенозная мальформация разных сосудистых сегментов — образование соустья между веной и артерией, что приводит к ишемическим изменениям внутренних органов. Стандартная МР-ангиография не позволяет выявить смешивание артериальной и венозной крови в патологических участках. Когда делают мрт сосудов с контрастом, сканирование проводится через несколько секунд в зависимости от нужной области обследования.
Для выявления вегето-сосудистой дистонии на МРТ контрастирование обязательно проводится. Симптомокомплекс возникает на фоне нескольких морфологических изменений, приводящих к нейрокардиологическим, психологическим, неврологическим расстройствам.
Что показывает магнитно-резонансная томография при вегето-сосудистой дистонии (ВСД):
- Состояние сосудов исследуемой области;
- Локализацию тромбов, аневризм, гематом, сосудистых соустий;
- Биологические, физико-химические расстройства.
Основное отличие МРТ от ангиографии — использование ядерно-магнитного резонанса для отслеживания тканей, насыщенных водой. Ангиография — это рентгеновский способ, основанный на выполнении снимков нужной области после введения контрастного средства в сосуд.
От рентгеновского исследования отличается МРТ ангиография отсутствием радиационного облучения. Метод не причиняет вреда здоровью, поэтому может проводиться неограниченное количество раз.
Для постановки диагноза вегето-сосудистой дистонии (ВСД) требуется комплекс исследований, позволяющих изучить биологические, физико-химические, метаболические и структурные изменения внутримозговых артерий. МР-томография является одним из ведущих способов, предлагающих обширную информацию о морфологических основах патологии.
Городская Служба записи на МРТ и КТ
Консультация по общим вопросам диагностики
Запись по всем районам города
Услуги Службы записи бесплатны для пациента
Цена МРТ сосудов способна отпугнуть — она заметно превосходит средние цены на методы обследования. Однако не стоит считать, что это неоправданно: свою стоимость МРТ полностью оправдывает отсутствием вреда, наносимого организму (в отличии от КТ, которое создает хоть и микроскопические, но дозы облучения), и высокой четкостью снимков. При необходимости обследования сосудов организма, например, сосудов шеи или позвоночника, в большинстве случаев именно МРТ является лучшим выбором, наиболее отвечающим соотношению "цена — качество".