МРТ головного мозга и сосудов — цены недорого, где лучше сделать в Москве, что показывает
МРТ сосудов головы и головного мозга
Это один из современных диагностических методов исследования сосудов головы, головного мозга, позволяющий с высокой достоверностью выявить имеющиеся патологии, определить объём функциональности внутречерепной кровеносной системы.
Где недорого сделать МРТ головного мозга и сосудов в Москве
Мы регулярно обзваниваем диагностические центры в Москве и обновляем нашу таблицу минимальных цен.
Записаться по минимальный ценам можно через городскую Справочную, позвонив по
телефону:
8 (499) 110-68-43
(каждый день с 7 до 23)
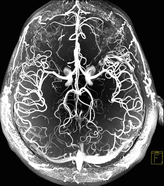
Что показывает МРТ сосудов головного мозга
Магнитно-резонансная томограмма сосудистой системы головы, головного мозга и шеи позволяет досконально изучить любые участки ведущих структур, ствола при помощи полученного двухмерного, трехмерного отчетливого изображения. Таким образом, высокая точность и эффективность такого инновационного метода диагностирования позволяет поставить диагноз на самых ранних стадиях проявления недуга.
-
ул. Маросейка, д. 2/15, стр. 1
-
Китай-город, Лубянка, Площадь Революции
-
пн-вс с 8:00 до 22:00
-
- КТ Philips Brilliance CT, 16 срезов
- МРТ Philips Achieva, 1.5 Тл, полуоткрытый
Цены:
-
Подсосенский переулок, д. 17
-
Чкаловская, Курская, Китай-город
-
пн-пт с 9:00 до 21:00, сб-вс с 10:00 до 18:00
-
- МРТ Philips Achieva Intera, 1.5 Тл, полуоткрытый
- КТ Toshiba Aquilion CXL, 128 срезов
Цены:
-
Химки, ул. Совхозная, д. 4, стр. 1
-
Ховрино
-
круглосуточно
-
- КТ Siemens Healthineers SOMATOM, 64 срезов
- МРТ Siemens , 1.5 Тл, закрытый
Цены:
-
ул. Полковая, д.12, корп. 1
-
Савеловская, Марьина Роща, Дмитровская
-
пн-вс с 8:00 до 20:00
-
- МРТ General Electric Optima MR360, 1.5 Тл, закрытый
Цены:
-
ул. 15-ая Парковая, д. 5
-
Первомайская, Измайловская, Щелковская
-
пн-пт с 8:00 до 21:00, сб с 9:00 до 20:00, вс с 10:00 до 19:00
-
- МРТ Siemens Magnetom Impact Expert, 1.5 Тл, закрытый
Цены:
-
Борисовский проезд, д. 15, корп. 1, стр. 2
-
Шипиловская, Борисово, Домодедовская
-
пн-пт с 8:00 до 21:00, сб с 9:00 до 21:00, вс с 10:00 до 19:00
-
- МРТ Siemens MAGNETOM Symphony, 1.5 Тл, полуоткрытый
Цены:
-
ул. 2-я Владимирская, д. 2
-
Перово, Шоссе Энтузиастов, Соколиная Гора
-
пн-вс с 8:00 до 22:00
-
- МРТ Siemens Magnetom Symphony, 1.5 Тл, полуоткрытый
Цены:
-
ул. Люсиновская, д. 53, корп. 2
-
Шаболовская, Серпуховская, Тульская
-
- КТ General Electric VCT, 64 срезов
- МРТ Siemens Avanto TIM, 1.5 Тл, полуоткрытый
Цены:
-
ул. Садовническая, д. 11, стр. 10 А
-
Новокузнецкая, Третьяковская, Китай-город
-
пн-вс с 7:00 до 23:00
-
- МРТ Philips Intera, 2011 года, 1.5 Тл, закрытый
Цены:
-
Переведеновский переулок, д. 8
-
Бауманская, Красносельская, Электрозаводская
-
пн-вс с 8:00 до 22:00
-
- МРТ Siemens MAGNETOM Aera, 1.5 Тл, полуоткрытый
Цены:
-
ул. Нагатинская, д. 1, стр. 25
-
Нагатинская, Верхние Котлы, Нагорная
-
пн-вс с 7:00 до 01:00
-
- МРТ General Electric Signa HD, 2012 года, 1.5 Тл, закрытый
Цены:
-
ул. Привольная, д. 70, корп. 1
-
Котельники, Жулебино
-
пн-сб с 9:00 до 21:00, вс с 9:00 до 20:00
-
- МРТ AILAB MagFinderII, 0.32 Тл, открытый
Цены:
-
ул. Волочаевская д. 15, стр. 1
-
Площадь Ильича, Римская, Москва Товарная
-
пн-вс с 8:00 до 21:00
-
- МРТ Philips Ingenia, 1.5 Тл, полуоткрытый
- КТ Philips Ingenuity Elite, 128 срезов
Цены:
-
Волгоградский пр-т, д. 45
-
Текстильщики, Новохохловская, Угрешская
-
пн-вс с 9:00 до 21:00
-
- МРТ Philips Intera, 1.5 Тл, закрытый
- КТ Philips Brillians, 64 срезов
Цены:
-
ул. Автозаводская, д. 23, корп. 9
-
ЗИЛ, Автозаводская, Тульская
-
пн-вс с 8:00 до 22:00
-
- МРТ Philips Intera, 2013 года, 1.5 Тл, полуоткрытый
- КТ General Electric LIGHT SPEED, 64 срезов
Цены:
-
ул. Летчика Бабушкина, д. 48 Б
-
Бабушкинская, Медведково
-
пн-вс круглосуточно
-
- МРТ Siemens Magnetom Essenza, 2014 года, 1.5 Тл, закрытый
- КТ Siemens Perspective, 2014 года, 128 срезов
Цены:
-
ул. Профсоюзная, д. 114
-
Беляево, Коньково, Калужская
-
пн-вс круглосуточно
-
- МРТ General Electric , 3.0 Тл, закрытый
- КТ Siemens Somatom Emotion, 6 срезов
Цены:
-
Ленинский пр-т, д. 146
-
Юго-Западная, Тропарево, Проспект Вернадского
-
пн-вс круглосуточно
-
- МРТ Siemens Magnetom Symphony , 2012 года, 1.5 Тл, закрытый
- КТ Siemens SOMATOM Emotion, 6 срезов
Цены:
-
площадь Собина, д. 1
-
Долгопрудная, Новодачная, Водники
-
пн-пт с 8:00 до 22:00, сб-вс с 10:00 до 18:00
-
- МРТ Siemens Magnetom, 1.0 Тл, полуоткрытый
Цены:
-
Большой Власьевский переулок, д. 9
-
Смоленская, Кропоткинская, Арбатская
-
пн-вс круглосуточно
-
- МРТ Siemens Magnetom C, 2011 года, 0.35 Тл, открытый
- КТ Siemens Somatom Emotion, 2011 года, 16 срезов
Цены:
Содержание
Что показывает МРТ вен и артерий головного мозга, и что может увидеть врач-рентгенолог на полученном снимке:
- рассмотреть структуру артерии, вены на всей её протяженности, не оказывая при этом вреда человеческому организму;
- оценить происходящие в тканях головы различные биологические процессы;
- физиологические, анатомические характеристики артерий и вен головы;
- четкое отображение сосудов головы в обследуемой области для оценки патологического процесса, дальнейшей лечебной тактики;
- узнать локализацию имеющихся патологических участков, артерио-венозных фистул, гематом, тромбообразований или аневризмов.
Назначают МРТ сосудов головного мозга доктора различной специальности по индивидуальным показаниям: хирурги, кардиохирурги, нейрохирурги, семейные врачи или терапевты.
Выявленные патологические нарушения в сосудистом русле могут указывать на имеющиеся различные заболевания, повреждения, например, вегетатитвная дисфункция, гипертензия, состояния после перенесенного инсульта, проявления рассеянного склероза, эпилепсии, кровоизлияния, гематомы при ЧМТ и пр.
Обследование МРТ сосудов головного мозга, важность диагностического метода
Оценка состояния кровеносной системы головы совсем недавно еще считалась чем-то непостежимым. Если просмотреть различные опухолевидные образования, кисты позволял рентген-аппарат, то показать сосудистые патологии он просто не способен, а узи сосудов головы - метод далеко не информативный. Появление магнитно-резонансной томографии — это своеобразный прорыв в сфере диагностики артерий, вен головы, шеи, только такой вид диагностирования помогает изучить коронарную сосудистую сеть - МР ангиография. В этом и заключается важность МРТ диагностики.
Как делают МРТ сосудов головного мозга
МРТ сосудов головы и шеи проводят на специальном аппарате-томографе, действие и работа которого построена на физических явлениях магнитного резонанса при наличии внешнего магнитного поля, для подробного, полного изучения внутричерепной кровеносной системы.
Перед началом процедуры, пациент должен подготовиться, переодеться в комфортную одежду, снять, имеющиеся на нем, металлические аксессуары, украшения, а также убрать от своего тела электронные предметы.
МРТ сосудов головного мозга представлено несколькими видами обследования:
- Венография. Что это такое мр венография головного мозга? Данное обследование предусматривает изучение строения, структуры вен. Венография позволяет выявить различные венозные патологии: тромбозы и пр.
- Артериография или обследование артериального круга сосудистого русла, чаще всего выполняют МРА исследование головы и МРА виллизиева круга.
- МР-ангиография — это изучение в совокупности артерий, вен головы, позволяет исследовать особенности состояния, строения и функционирования кровеносной системы мозга.
Если имеется необходимость, например, проведенное магнитно-резонансное исследование сосудов головы не предоставило четкого представления клинической картины, прибегают к контрастному МРТ сосудов головы. В качестве контрастного вещества подбирается специальный раствор с малотоксичными составляющими, хорошо переносимый человеком. Контраст вводят внутривенно, а затем он заполняет сосудистые, жидкостные структуры мозга.
Многие рентгенологи рекомендуют проводить МРТ головного мозга с сосудистой программой, т.к. сосудистый режим позволяет изучать не только различные ведущие отделы, но и все сосудистые сплетения головы, жидкостные резервуары. Это помогает доктору в понимании клинической картины, выставлении достоверного диагноза.
На заключительном этапе расшифровки рентгенолог получает детальные изображения с отображением сосудов головы и шеи, что в дальнейшем лечащему доктору помогает в поиске и назначении упешного лечения.
МРТ сосудов головы и противопоказания
Как у любого диагностического метода имеются противопоказания для проведения обследования:
- Беременность, период лактации
- Аллергия
- Тяжелая почечная недостаточночть
- Состояние после пересадки печени
- Наличие металлических протезов, пластин, кардиостимуляторов в организме человека
МРТ под наркозом
На сегодняшний день диагностика МРТ является одним из современных и мощнейших способов обследования, которое способно предоставить четкую, информативную картину о состоянии здоровья отдельных внутренних органов и организма человека в целом, в зависимости от той зоны, которая подлежит осмотру, как у взрослых, так и у детей. Такой метод диагностирования считается безвредным и безболезненным для пациентов, поэтому приобретает всё большее признание. Магнитно-резонансная диагностика дает возможность под действием магнитного поля, не несущего вреда для организма, получить четкое изображение глубинных структур внутренних органов, заболевания и патологические отклонения которых невозможно определить другими способами.
Делают ли МРТ под наркозом?
МРТ под наркозом сейчас проводят во многих частных клиниках и государственных диагностических центрах. Доктора назначают такое обследование определенным группам людей, т.к. провести МРТ без использования наркоза в некоторых случаях нет возможности.
Назначают обследование под наркозом как для диагностики, так и для контроля за лечением, следующему контингенту: людям, страдающим эпилепсией или другими заболеваниями с невротическими нарушениями, с нарушениями координации движения, а также пациентам с боязнью замкнутого пространства и детям, которые по объективным причинам не могут находиться в неподвижном состоянии на протяжении длительного времени.
МРТ под наркозом взрослым и детям
Даже ввиду всех положительных моментов, касающихся МРТ диагностики, одной из её особенностей является длительность проведения обследования. В зависимости от того, какой орган или система организма подлежат осмотру, длительность процедуры может составлять от 30 до 60 и более минут. На протяжении всего этого времени, пациент, которому выполняют обследование, должен находиться в постоянном горизонтальном положении и неподвижной позе. В связи с эти, детям младшего возраста проводят МРТ под наркозом, т.к. в силу своей повышенной активности и с учетом неосознанного детского возраста, пребывать в неподвижном состоянии для них практически невозможно. Показания для назначения такой диагностической процедуры определяет врач, объективно оценивая состояние и соизмеряя возможные риски.
Довольно похожая ситуация и у взрослых больных, у которых наблюдаются различные нарушения со стороны нервной системы, психоневрологические патологии, сопровождающиеся повышенным порогом возбудимости. Как правило, речь идет о пациентах, страдающих эпилепсией, церебральным параличем, расстройствами психики, например, шизофренией или деменцией. Сюда также можно отнести пациентов с боязнью замкнутого пространства. Если седативные и успокоительные препараты в этом случае не помогают, прибегают к общему наркозу.
Выделяют следующие разновидности наркоза:
- внутривенный наркоз - один из безопасных методов, требует постоянного присутствия анестезиолога возле больного;
- эндотрахеальный вид наркоза - применяется крайне редко для МРТ, может иметь негативные последствия;
- масочный наркоз требует также постоянного нахождения рядом с пациентом врача-анестезиолога, применяется редко при МРТ;
- наркоз с применением ларингеальной маски — анестезиолог может наблюдать за пациентом из соседнего кабинета, в связи с этим востребован при проведении томографии.
Что касается выполнения МРТ под общим наркозом, то здесь стоит отметить, что как ребенок, так и взрослый человек, не застрахованы от побочных эффектов со стороны организма на различные анестезирующие средства, но одновременно стоит понимать, что аллергическая реакция, вплоть до анафилактического шока, может возникать и на самый обычный парацетамол или другой фармакологический препарат.
МРТ с наркозом в педиатрической практике — довольно оправданный ход, так как это помогает избежать всевозможных негативных реакций со стороны детского организма. Даже у более старших детей диагностика МРТ может вызвать страх, испуг и другие отрицательные эмоции, которые в последующем могут даже повлиять на его психосоматическое развитие. Во время проведения томографии сам аппарат издает достаточно громкий звук, что также может напугать маленького пациента.
Для проведения МРТ под наркозом ребенку используют анестетики непродолжительного действия, которые хорошо переносятся детским организмом. Это препараты на основе пропофола, их особенность в следующем:
- достаточно скорое достижение медикаментозного сна;
- период выведения препарата из организма всего несколько часов;
- воздействия на функциональность центральной нервной системы — минимальные;
- такие препараты безопасны для детей, у которых нервная система только на этапе формирования, не вызывает отрицательных последствий для дальнейшей жизнедеятельности.
Взрослым также, в качестве дополнения, могут вводиться препараты, содержащие атарактические вещества, транквилизаторы. В педиатрической практике их не применяют, т.к. они способны угнетать дыхательную функцию организма.
В каких случаях противопоказано выполнение МРТ под наркозом?
Что касается детского организма, то здесь выделяют несколько абсолютных противопоказаний, когда выполнять МРТ под наркозом строго запрещается:
- грубая задержка развития, сопровождающаяся существенными нарушениями со стороны жизненноважных функций, например, отсутствие глотательного рефлекса;
- грубый недостаток массы тела ребенка: гипотрофия, дистрофия;
- патология обменных нарушений в организме ребенка, рахит.
Есть временные ограничения к проведению МРТ под наркозом, касающиеся и взрослых и детей:
- различные инфекционные заболевания, грипп, ОРВИ;
- повышение температуры тела;
- заболевания верхних дыхательных путей в остром периоде;
- бронхиальная астма, приступный период;
- психо-неврологические заболевания в период обострения;
- заболевания сердечно-сосудистой системы.
В любом случае, перед прохождением магнитно-резонансной томографии с использованием общего наркоза, как взрослый пациент, так и ребенок, должен пройти предварительное обследование и сдать необходимые анализы, для того, чтобы удостовериться в том, что выполнение такой процедуры не принесет вреда организму.
Подготовка к МРТ с наркозом
За день до предстоящего обследования в рацион питания включить легкие блюда, не перегружать организм тяжелой пищей, содержащей белки и углеводы. За 8 часов отказаться от приема пищи, т.к. обследование проводится натощак. Грудных детей следует покормить за 3-4 часа до МР-осмотра, детей старше года — за 4-5 часов.
Городская Служба записи на МРТ и КТ
Консультация по общим вопросам диагностики
Запись по всем районам города
Услуги Службы записи бесплатны для пациента
Где сделать МРТ под наркозом?
Место проведения диагностики пациент может выбрать самостоятельно, среди тех клиник, которые выполняют МРТ под наркозом, такую манипуляцию выполняют не все ЛПУ. Также следует помнить, что, если это касается детей, то выбирать необходимо лечебное учреждение, специализирующееся на вопросах педиатрического характера.
Где сделать МРТ сосудов головного мозга
МРТ сосудов головного мозга в Москве проводят во многих клиниках, как частных, так и государственных. Стоит заметить, что МРТ с контрастом — обследование несколько более дорогое, чем аналогичное без контрастного вещества.
