КТ брюшной полости — цены недорого, где лучше сделать в Москве, что показывает
КТ брюшной полости — это достоверный неинвазивный метод диагностики, предоставляющий послойные снимки любой области брюшной полости и забрюшинного пространства и оценивающий состояние осматриваемых органов и развитие каких-либо болезненных процессов в них.
Где недорого сделать КТ брюшной полости в Москве
Мы регулярно обзваниваем диагностические центры в Москве и обновляем нашу таблицу минимальных цен.
                                        Записаться по минимальный ценам можно через городскую Справочную, позвонив по
                                        телефону:
                                        8 (499) 110-68-43
                                        (каждый день с 7 до 23)
                                    
Показания
КТ назначают при опасениях на наличие разнообразных заболеваний: аневризма брюшной аорты, поражение забрюшинных узлов, лимфосаркома, лейкоз и пр. болезни. Чаще КТ назначают при метастазах опухоли, присутствии различного рода образований или инородных тел в организме.
Часто диагноз, установленный иными способами, результаты которых доктору кажутся неубедительными, уточняют путём томографии на компьютере. Также этим методом пользуются перед различными хирургическими операциями.
- 
                        ул. Маросейка, д. 2/15, стр. 1
- 
                        Китай-город, Лубянка, Площадь Революции
- 
                            пн-вс с 8:00 до 22:00
- 
                            - КТ Philips Brilliance CT, 16 срезов
- МРТ Philips Achieva, 1.5 Тл, полуоткрытый
 
Цены:
- 
                        Подсосенский переулок, д. 17
- 
                        Чкаловская, Курская, Китай-город
- 
                            пн-пт с 9:00 до 21:00, сб-вс с 10:00 до 18:00
- 
                            - МРТ Philips Achieva Intera, 1.5 Тл, полуоткрытый
- КТ Toshiba Aquilion CXL, 128 срезов
 
Цены:
- 
                        Химки, ул. Совхозная, д. 4, стр. 1
- 
                        Ховрино
- 
                            круглосуточно
- 
                            - КТ Siemens Healthineers SOMATOM, 64 срезов
- МРТ Siemens , 1.5 Тл, закрытый
 
Цены:
- 
                        Щелковское шоссе, д. 48, стр. 3
- 
                        Щелковская, Первомайская, Измайловская
- 
                            пн-вс с 9:00 до 21:00
- 
                            - КТ Siemens Healthineers, 16 срезов
 
Цены:
- 
                        3-е Почтовое отделение, д. 102
- 
                        Жулебино, Котельники, Лермонтовский проспект
- 
                            пн-вс круглосуточно
- 
                            - КТ Siemens Somatom Scope, 32 срезов
 
Цены:
- 
                        ул. Люсиновская, д. 53, корп. 2
- 
                        Шаболовская, Серпуховская, Тульская
- 
                            пн-вс с 9:00 до 21:00
- 
                            - КТ General Electric VCT, 64 срезов
- МРТ Siemens Avanto TIM, 1.5 Тл, полуоткрытый
 
Цены:
- 
                        ул. Волочаевская д. 15, стр. 1
- 
                        Площадь Ильича, Римская, Москва Товарная
- 
                            пн-вс с 8:00 до 21:00
- 
                            - МРТ Philips Ingenia, 1.5 Тл, полуоткрытый
- КТ Philips Ingenuity Elite, 128 срезов
 
Цены:
- 
                        Волгоградский пр-т, д. 45
- 
                        Текстильщики, Новохохловская, Угрешская
- 
                            пн-вс с 9:00 до 21:00
- 
                            - МРТ Philips Intera, 1.5 Тл, закрытый
- КТ Philips Brillians, 64 срезов
 
Цены:
- 
                        ул. Автозаводская, д. 23, корп. 9
- 
                        ЗИЛ, Автозаводская, Тульская
- 
                            пн-вс с 8:00 до 22:00
- 
                            - МРТ Philips Intera, 2013 года, 1.5 Тл, полуоткрытый
- КТ General Electric LIGHT SPEED, 64 срезов
 
Цены:
- 
                        ул. Летчика Бабушкина, д. 48 Б
- 
                        Бабушкинская, Медведково
- 
                            пн-вс круглосуточно
- 
                            - МРТ Siemens Magnetom Essenza, 2014 года, 1.5 Тл, закрытый
- КТ Siemens Perspective, 2014 года, 128 срезов
 
Цены:
- 
                        Ленинский пр-т, д. 146
- 
                        Юго-Западная, Тропарево, Проспект Вернадского
- 
                            пн-вс круглосуточно
- 
                            - МРТ Siemens Magnetom Symphony , 2012 года, 1.5 Тл, закрытый
- КТ Siemens SOMATOM Emotion, 6 срезов
 
Цены:
- 
                        Большой Власьевский переулок, д. 9
- 
                        Смоленская, Кропоткинская, Арбатская
- 
                            пн-вс круглосуточно
- 
                            - МРТ Siemens Magnetom C, 2011 года, 0.35 Тл, открытый
- КТ Siemens Somatom Emotion, 2011 года, 16 срезов
 
Цены:
- 
                        Волоколамское шоссе, д. 142
- 
                        Волоколамская, Пенягино, Мякинино
- 
                            пн-вс с 8:00 до 22:00
- 
                            - МРТ Siemens Simphony, 1.5 Тл, закрытый
- КТ Toshiba Aquilion CX, 128 срезов
 
Цены:
- 
                        ул. Октября, д. 2 Б
- 
                        Новокосино, Новогиреево
- 
                            пн-вс с 9:00 до 21:00
- 
                            - КТ Philips Brilliance, 64 срезов
- МРТ Philips Achieva, 1.5 Тл, полуоткрытый
 
Цены:
- 
                        ул. Центральная, д. 34 А
- 
                        
- 
                            пн-вс с 8:00 до 21:00
- 
                            - МРТ Siemens Magnetom Aera, 2015 года, 1.5 Тл, полуоткрытый
- КТ Siemens Somatom Perspective, 128 срезов
 
Цены:
- 
                        Ленинградское шоссе, д. 47 А
- 
                        Водный стадион, Речной вокзал, Сходненская
- 
                            пн-вс с 8:00 до 21:00
- 
                            - МРТ Siemens Magnetom Essenza, 2015 года, 1.5 Тл, полуоткрытый
- КТ Siemens Somatom Perspective, 2015 года, 64 срезов
 
Цены:
- 
                        Перервинский бульвар, д. 4, корп. 1
- 
                        Братиславская, Люблино, Марьино
- 
                            пн-вс с 8:00 до 22:00
- 
                            - МРТ Siemens Magnetom Aera, 1.5 Тл, полуоткрытый
- КТ Siemens SOMATOM Emotion, 16 срезов
 
Цены:
- 
                        ул. Кирова, д. 36, корп. 2
- 
                        Жулебино, Котельники, Лермонтовский проспект
- 
                            пн-сб с 9:00 до 21:00, вс с 9:00 до 20:00
- 
                            - КТ Toshiba Aquilion CXL, 64 срезов
 
Цены:
- 
                        ул. Герасима Курина, д. 16
- 
                        Славянский бульвар, Пионерская, Филевский парк
- 
                            пн-пт с 8:00 до 21:00, сб-вс с 9:00 до 16:00
- 
                            - КТ General Electric Brivo CT385, 16 срезов
 
Цены:
- 
                        Мичуринский пр-т, д. 15 А
- 
                        Раменки, Ломоносовский проспект, Университет
- 
                            пн-вс 08:00-18:00
- 
                            - КТ Philips Access CT, 16 срезов
 
Цены:
Содержание
1. Показания
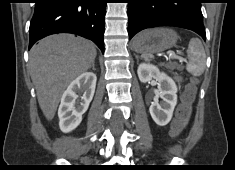
   ![КТ брюшной полости, что показывает]() Что исследуют этим методом
Что исследуют этим методом
Компьютерная томография предоставляет врачам безошибочные данные о взаимном размещении органов, их структуре, а также наличии аномалий.
Процедуру проводят в амбулаторных условиях для исследования следующих органов:
- селезёнки;
- надпочечников;
- поджелудочной железы;
- печени, почек;
- желчного пузыря;
- сосудов брюшной полости и пр.
После обследования получают чёткие 2-х и 3-х-мерные снимки организма. Часто в этой процедуре применяют контрастирование с целью получить более качественные изображения. На них специалисты могут обнаружить опухолевые заболевания, их метастазы, цирроз печени, кисты почек, панкреатит, абсцессы органов и прочие болезни даже на ранних стадиях развития.
Стоит знать, что цена КТ брюшной полости с контрастом всегда выше, чем за исследование без использования усиливающего вещества.
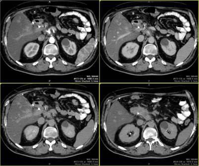
   ![КТ органов брюшной полости фото]() Противопоказания
Противопоказания
Людям с повышенным уровнем креатина в крови, болеющими сахарным диабетом, в частности II степени, противопоказано проводить КТ. Также запрещена эта процедура при териотоксикозе, беременным женщинам или кормящим грудью.
Людям, имеющим непереносимость ингредиентов контраста, проблемы с почками или со свертываемостью крови, надлежит проконсультироваться с врачом, так как процедура для них несёт явные риски. Всем пациентам перед осмотром стоит пройти специальную подготовку кишечника.
Препарат, усиливающий визуализацию, вводят в разных объёмах каждому пациенту, обусловлено это весовой категорией больного. Поэтому стоимость КТ органов брюшной полости варьируется, так как в неё входит не только цена плёнки и диска, но ещё контраста.
Городская Служба записи на МРТ и КТ
                                     Консультация по общим вопросам диагностики
                                     Запись по всем районам города 
                                     Услуги Службы записи бесплатны для пациента
                                
А можно ли сделать КТ бесплатно в больших городах?
В настоящее время настолько развита диагностика различных недугов, что пройти обследование можно как в государственных поликлиниках, так и в частных медучреждениях. Ценовая политика колеблется в диапазонах от 2 до 12 тысяч рублей (в зависимости от органов обследования, причин патологии, использования контраста и многого другого). И здесь у многих возникает паника, а как найти средства на крайне необходимую дорогостоящую диагностику, к примеру, КТ или МРТ? Ведь не у всех пациентов, в особенности, когда это касается детей или пенсионеров, хватит средств для оплаты диагностики. Вот здесь и приходит на помощь информация, как пройти бесплатную диагностику на томографе. Мы разъясним у какой категории пациентов существуют льготы, и делают ли КТ бесплатно в частных медицинских центрах.
Каким пациентам проводят бесплатную компьютерную томографию

В нашей стране система обязательного медицинского страхования предусматривает в некоторых случаях выполнение КТ совершенно бесплатно. Но не каждый пациент может сделать компьютерную томографию бесплатно, следует учесть определённые условия. Вы в обязательном порядке должны быть гражданином РФ и иметь в наличии полис ОМС (обязательное медицинское страхование). Лечащий врач выписывает специальное направление, в котором указана необходимость данной диагностики. Далее вам следует обратиться в поликлинику по адресу проживания, чтобы получить квоту КТ (1 место на КТ из запланированного объёма диагностик на текущий год в государстве). Но учтите, что не всегда можно быстро попасть на обследование. Это зависит в первую очередь от того, оплачивает ли ваша страховая компания обследование на КТ или МРТ. Если нет, то вряд ли вам выдадут квоту на такое обследование. Ожидание своей очереди порой достигает нескольких месяцев. Если у вас нет срочной необходимости и диагностика может подождать, тогда имеет смысл попробовать получить допуск к бесплатной процедуре обследования. Но опять же, это статистика, многие пациенты очень быстро получают квоту и проходят необходимую диагностику в кратчайшие сроки, причём неоднократно. Направляясь на бесплатную диагностику помимо квоты и направления, возьмите паспорт.
В том случае, если вы по каким-либо причинам находитесь длительный период не в том городе, где прописаны, встаньте на учёт в одну из местных поликлиник, оформить квоту будет легче.
Где сделать ребенку КТ по полису в Москве
Все прекрасно понимают, что дети - это та категория граждан, которая не может сама себя обеспечивать. Именно по этой причине чаще всего квоты на бесплатное обследование отдают детям. При наличии полиса у ребёнка, родитель или опекун, обращается в поликлинику, где стоит на учёте ребёнок и пишет заявление на получение квоты. А также узнаёт информацию, где выполнят диагностику при наличии всей необходимой документации.
Как пройти томографию бесплатно: миф или реальность
Кто-то из нас сомневается, что можно пройти такое дорогостоящее обследование совершенно бесплатно. Да, смеем вас заверить, что это вполне реально. Проводят его не только государственные поликлиники, но и многие частные клиники. Согласно статистическим данным, с каждым годом увеличивается количество проведённых бесплатных диагностик КТ и МРТ. Но даже если вам не удастся получить квоту на бесплатную процедуру, вы можете пройти обследование по хорошим скидкам. Позвоните по указанному номеру в общегородскую службу записи на КТ и МРТ и узнайте о всех действующих акциях. В некоторых клиниках диагностику проводят ночью, цены в такое время суток ниже обычного тарифа. Так вы сможете пройти обследование, которое вам крайне необходимо, по очень выгодной цене. Цените своё время, и учитывайте степень необходимости в диагностике.
Если у вас травмы органов брюшной полости, вам надлежит пройти обследование, а сколько стоит КТ брюшной полости Москве и где его лучше сделать, вы можете найти на нашем сайте.
 Что исследуют этим методом
Что исследуют этим методом Противопоказания
Противопоказания 
     
     
     
     
    