КТ печени — цены недорого, где лучше сделать в Москве, что показывает
Современная компьютерная томография при опухолях печени
Компьютерная томография – метод, хорошо показывающий структуру твердых тканей. Для визуализации мягкотканого компонента проводится контрастирование. При планировании оперативного вмешательства требуется трехмерное моделирование (3D-реконструкция).
Где недорого сделать КТ печени в Москве
Мы регулярно обзваниваем диагностические центры в Москве и обновляем нашу таблицу минимальных цен.
Записаться по минимальный ценам можно через городскую Справочную, позвонив по
телефону:
8 (499) 110-68-43
(каждый день с 7 до 23)
Показания к КТ гепатобилиарного тракта и печени:
- После травм живота;
- Подозрение на печеночные опухоли;
- Для определения причины обтурационной желтухи (при закупорке желчевыводящих путей);
- При необъяснимых болях правого подреберья;
- Перед операцией для анализа трехмерной модели гепатобилиарных систем;
- Для выявления плотных камней;
- Оценка степени обтурации желчевыводящих протоков камнем или опухолью.
-
ул. Маросейка, д. 2/15, стр. 1
-
Китай-город, Лубянка, Площадь Революции
-
пн-вс с 8:00 до 22:00
-
- КТ Philips Brilliance CT, 16 срезов
- МРТ Philips Achieva, 1.5 Тл, полуоткрытый
Цены:
-
Подсосенский переулок, д. 17
-
Чкаловская, Курская, Китай-город
-
пн-пт с 9:00 до 21:00, сб-вс с 10:00 до 18:00
-
- МРТ Philips Achieva Intera, 1.5 Тл, полуоткрытый
- КТ Toshiba Aquilion CXL, 128 срезов
Цены:
-
Химки, ул. Совхозная, д. 4, стр. 1
-
Ховрино
-
круглосуточно
-
- КТ Siemens Healthineers SOMATOM, 64 срезов
- МРТ Siemens , 1.5 Тл, закрытый
Цены:
-
Щелковское шоссе, д. 48, стр. 3
-
Щелковская, Первомайская, Измайловская
-
пн-вс с 9:00 до 21:00
-
- КТ Siemens Healthineers, 16 срезов
Цены:
-
3-е Почтовое отделение, д. 102
-
Жулебино, Котельники, Лермонтовский проспект
-
пн-вс круглосуточно
-
- КТ Siemens Somatom Scope, 32 срезов
Цены:
-
Волгоградский пр-т, д. 45
-
Текстильщики, Новохохловская, Угрешская
-
пн-вс с 9:00 до 21:00
-
- МРТ Philips Intera, 1.5 Тл, закрытый
- КТ Philips Brillians, 64 срезов
Цены:
-
ул. Автозаводская, д. 23, корп. 9
-
ЗИЛ, Автозаводская, Тульская
-
пн-вс с 8:00 до 22:00
-
- МРТ Philips Intera, 2013 года, 1.5 Тл, полуоткрытый
- КТ General Electric LIGHT SPEED, 64 срезов
Цены:
-
ул. Летчика Бабушкина, д. 48 Б
-
Бабушкинская, Медведково
-
пн-вс круглосуточно
-
- МРТ Siemens Magnetom Essenza, 2014 года, 1.5 Тл, закрытый
- КТ Siemens Perspective, 2014 года, 128 срезов
Цены:
-
Ленинский пр-т, д. 146
-
Юго-Западная, Тропарево, Проспект Вернадского
-
пн-вс круглосуточно
-
- МРТ Siemens Magnetom Symphony , 2012 года, 1.5 Тл, закрытый
- КТ Siemens SOMATOM Emotion, 6 срезов
Цены:
-
Большой Власьевский переулок, д. 9
-
Смоленская, Кропоткинская, Арбатская
-
пн-вс круглосуточно
-
- МРТ Siemens Magnetom C, 2011 года, 0.35 Тл, открытый
- КТ Siemens Somatom Emotion, 2011 года, 16 срезов
Цены:
-
ул. Октября, д. 2 Б
-
Новокосино, Новогиреево
-
пн-вс с 9:00 до 21:00
-
- КТ Philips Brilliance, 64 срезов
- МРТ Philips Achieva, 1.5 Тл, полуоткрытый
Цены:
-
ул. Центральная, д. 34 А
-
-
пн-вс с 8:00 до 21:00
-
- МРТ Siemens Magnetom Aera, 2015 года, 1.5 Тл, полуоткрытый
- КТ Siemens Somatom Perspective, 128 срезов
Цены:
-
Ленинградское шоссе, д. 47 А
-
Водный стадион, Речной вокзал, Сходненская
-
пн-вс с 8:00 до 21:00
-
- МРТ Siemens Magnetom Essenza, 2015 года, 1.5 Тл, полуоткрытый
- КТ Siemens Somatom Perspective, 2015 года, 64 срезов
Цены:
-
ул. Кирова, д. 36, корп. 2
-
Жулебино, Котельники, Лермонтовский проспект
-
пн-сб с 9:00 до 21:00, вс с 9:00 до 20:00
-
- КТ Toshiba Aquilion CXL, 64 срезов
Цены:
-
ул. Герасима Курина, д. 16
-
Славянский бульвар, Пионерская, Филевский парк
-
пн-пт с 8:00 до 21:00, сб-вс с 9:00 до 16:00
-
- КТ General Electric Brivo CT385, 16 срезов
Цены:
-
Мичуринский пр-т, д. 15 А
-
Раменки, Ломоносовский проспект, Университет
-
пн-вс 08:00-18:00
-
- КТ Philips Access CT, 16 срезов
Цены:
-
ул. Малая Пироговская, д. 13, стр. 1
-
Фрунзенская, Спортивная, Лужники
-
пн-вс с 9:00 до 21:00
-
- МРТ General Electric Optima MR360 Advance, 1.5 Тл, полуоткрытый
- КТ General Electric Optima CT660, 64 срезов
Цены:
-
ул. Неверовского, д. 10
-
Парк Победы, Фили, Багратионовская
-
пн-вс с 8:00 до 22:00
-
- МРТ Philips Achiva, 1.5 Тл, закрытый
- КТ Philips Brilliance CT, 64 срезов
Цены:
-
ул. Орджоникидзе, д. 11, стр. 10
-
Площадь Гагарина, Ленинский проспект, Тульская
-
пн-вс с 9:00 до 23:00
-
- МРТ General Electric Brivo MR 355, 1.5 Тл, полуоткрытый
- КТ General Electric BrightSpeed, 16 срезов
Цены:
-
ул. Льва Толстого, д. 10, стр. 1
-
Парк культуры, Фрунзенская, Октябрьская
-
пн-сб с 8:00 до 24:00, вс с 8:00 до 21:00
-
- МРТ Philips Achieva, 1.5 Тл, закрытый
- КТ Philips Brilliance, 64 срезов
Цены:
Контрастное усиление назначается при метастазах печени при наличии первичных опухолей разных локализаций. Мультиспиральное сканирование применяется при совместном изучении органов брюшной полости, гепатобилиарных структур.
Пошаговая томография назначается при исследовании небольших областей. К примеру, для диагностики кисты печени требуется несколько сканов в разных проекциях. В такой ситуации нет необходимости в мультиспиральной томографии.
КТ и МРТ выполняют разные диагностические задачи. Перед выбором вида обследования обратитесь к врачу!
МРТ или КТ печени – что лучше
Магнитно-резонансная томография гепатобилиарного тракта назначается при подозрении на инфильтрацию, воспаление, для изучения состояния желчи. Исследование выявляет мягкотканые новообразования, цирроз печени, атипичное скопление жира, врожденные аномалии желчевыводящих путей.
Назначение компьютерной томографии печени и желчного пузыря распространенно в онкологии, так как метод выявляет большинство видов опухолей данных систем. С помощью компьютерной томографии осуществляется контроль введения иглы при взятии биопсийного материала.
Технические особенности КТ и МРТ
Выбирать нужный анализ КТ печени или МРТ должен квалифицированный врач. Специалист оценит достоинства и недостатки каждого метода, определит информативность у каждого индивидуального пациента.
Магнитно-резонансная томография – безвредный для здоровья метод, основанный на регистрации радиочастот, испускаемых атомами водорода под влиянием магнитного поля. Технические особенности определяют возможности визуализации тканей, насыщенных водой.
В основе процедуры КТ печени лежит рентгеновское излучение, которое отражается от твердых тканей, что определяет высокую чувствительность способа к болезням костей и суставов. Получить дополнительную информацию позволяет томография после внутривенного введения йодсодержащего контрастного препарата.
Современные мультиспиральные аппараты обладают сниженной радиационной нагрузкой. МСКТ более предпочтительно для обследования больших областей.
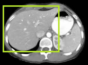
Компьютерная томография печени позволяет диагностировать причину болей, возникших в ней. Во время ее проведения рентгеновские лучи воздействуют на органы брюшной полости, в которой разные ткани поглощают лучи в разной степени.
При помощи этой процедуры можно увидеть сам очаг болезни и состояние окружающих органов. Таким способом выявить у больного человека:
- механическую желтуху;
- кисту и ее образования;
- травму живота, кровотечение, гематому;
- цирроз печени.
Этот способ позволяет диагностировать метастазы, распространяющиеся от опухолей на разных стадиях.
Компьютерная томография предоставляет врачу снимки тонких срезов органов брюшной полости. На них видно трехмерное изображение:
- опухоли, кровеносных сосудов, желчевыводящих путей;
- органов, которые окружают печень (почки, селезенка, поджелудочная железа, забрюшинные лимфатические узлы.
Кроме выявления заболевания КТ назначают, чтобы визуализировать абсцесс, затем удалить содержимое абсцесса. Если назначена резекция печени, назначают КТ для точного определения места развития патологического процесса.
Городская Служба записи на МРТ и КТ
Консультация по общим вопросам диагностики
Запись по всем районам города
Услуги Службы записи бесплатны для пациента
Цена процедуры
На нашем сайте можно узнать, сколько стоит компьютерная томография печени. Обратите внимание, что цена КТ зависит от объема вещества-контраста, связанного с весом больного.
Где сделать компьютерную томографию при раке печени
В Москве сделать исследование предлагает более 70-ти ведущих клиник. Цены доступны для большинства жителей страны. Назначается онкологами при подозрении на рак печени, метастазы.
По желанию пациенты могут делать компьютерное сканирование в частных клиниках. Необходимо направление врача, так как обследование сопровождается радиационным облучением тканей обследуемого человека.