КТ суставов — цены недорого, где лучше сделать в Москве, что показывает
КТ суставов и костей – показания, что показывает, информативность и специфичность
Компьютерная томография – это рентгеновский метод, который хорошо визуализирует костные и плотные хрящевые ткани. Разрешения современных мультиспиральных томографов (МСКТ) достаточно для изучения костной структуры. В клиниках Москвы и Санкт-Петербурга установлено более 50 томографов, поэтому сложностей с выполнением КТ сочленений, суставов, костей у местных жителей не возникает. Рассмотрим подробнее возможности метода.
Где недорого сделать КТ суставов в Москве
Мы регулярно обзваниваем диагностические центры в Москве и обновляем нашу таблицу минимальных цен.
Записаться по минимальный ценам можно через городскую Справочную, позвонив по
телефону:
8 (499) 110-68-43
(каждый день с 7 до 23)
Показания
Этот метод показан при артрозе, различных травмах, остеопорозе, миеломной болезни, туберкулёзе костей, подагре и прочих диффузных заболеваниях соединительной ткани. Путём кт исследовать внчс рекомендовано при нарушениях слуха и трудностях с открытием рта.
Помимо этого такая томография необходима для установления более серьёзных диагнозов, к примеру, при подозрении на онкологию и болях, источник которых неизвестен. С помощью кт осуществляют контроль лечения и планируют проведение операции в экстренных ситуациях.
-
ул. Маросейка, д. 2/15, стр. 1
-
Китай-город, Лубянка, Площадь Революции
-
пн-вс с 8:00 до 22:00
-
- КТ Philips Brilliance CT, 16 срезов
- МРТ Philips Achieva, 1.5 Тл, полуоткрытый
Цены:
-
Спартаковский переулок, д. 2, стр. 11
-
Красносельская, Бауманская, Комсомольская
-
пн-пт с 8:00 до 21:00, сб-вс с 9:00 до 21:00
-
- КТ Siemens SOMATOM go.Up, 32 срезов
- МРТ SIEMENS MAGNETOM ALTEA, 1.5 Тл, полуоткрытый
Цены:
-
Подсосенский переулок, д. 17
-
Чкаловская, Курская, Китай-город
-
пн-пт с 9:00 до 21:00, сб-вс с 10:00 до 18:00
-
- МРТ Philips Achieva Intera, 1.5 Тл, полуоткрытый
- КТ Toshiba Aquilion CXL, 128 срезов
Цены:
-
Химки, ул. Совхозная, д. 4, стр. 1
-
Ховрино
-
круглосуточно
-
- КТ Siemens Healthineers SOMATOM, 64 срезов
- МРТ Siemens , 1.5 Тл, закрытый
Цены:
-
Щелковское шоссе, д. 48, стр. 3
-
Щелковская, Первомайская, Измайловская
-
пн-вс с 9:00 до 21:00
-
- КТ Siemens Healthineers, 16 срезов
Цены:
-
3-е Почтовое отделение, д. 102
-
Жулебино, Котельники, Лермонтовский проспект
-
пн-вс круглосуточно
-
- КТ Siemens Somatom Scope, 32 срезов
Цены:
-
ул. Люсиновская, д. 53, корп. 2
-
Шаболовская, Серпуховская, Тульская
-
пн-вс с 9:00 до 21:00
-
- КТ General Electric VCT, 64 срезов
- МРТ Siemens Avanto TIM, 1.5 Тл, полуоткрытый
Цены:
-
ул. Волочаевская д. 15, стр. 1
-
Площадь Ильича, Римская, Москва Товарная
-
пн-вс с 8:00 до 21:00
-
- МРТ Philips Ingenia, 1.5 Тл, полуоткрытый
- КТ Philips Ingenuity Elite, 128 срезов
Цены:
-
Волгоградский пр-т, д. 45
-
Текстильщики, Новохохловская, Угрешская
-
пн-вс с 9:00 до 21:00
-
- МРТ Philips Intera, 1.5 Тл, закрытый
- КТ Philips Brillians, 64 срезов
Цены:
-
ул. Автозаводская, д. 23, корп. 9
-
ЗИЛ, Автозаводская, Тульская
-
пн-вс с 8:00 до 22:00
-
- МРТ Philips Intera, 2013 года, 1.5 Тл, полуоткрытый
- КТ General Electric LIGHT SPEED, 64 срезов
Цены:
-
ул. Летчика Бабушкина, д. 48 Б
-
Бабушкинская, Медведково
-
пн-вс круглосуточно
-
- МРТ Siemens Magnetom Essenza, 2014 года, 1.5 Тл, закрытый
- КТ Siemens Perspective, 2014 года, 128 срезов
Цены:
-
Ленинский пр-т, д. 146
-
Юго-Западная, Тропарево, Проспект Вернадского
-
пн-вс круглосуточно
-
- МРТ Siemens Magnetom Symphony , 2012 года, 1.5 Тл, закрытый
- КТ Siemens SOMATOM Emotion, 6 срезов
Цены:
-
Большой Власьевский переулок, д. 9
-
Смоленская, Кропоткинская, Арбатская
-
пн-вс круглосуточно
-
- МРТ Siemens Magnetom C, 2011 года, 0.35 Тл, открытый
- КТ Siemens Somatom Emotion, 2011 года, 16 срезов
Цены:
-
Волоколамское шоссе, д. 142
-
Волоколамская, Пенягино, Мякинино
-
пн-вс с 8:00 до 22:00
-
- МРТ Siemens Simphony, 1.5 Тл, закрытый
- КТ Toshiba Aquilion CX, 128 срезов
Цены:
-
ул. Октября, д. 2 Б
-
Новокосино, Новогиреево
-
пн-вс с 9:00 до 21:00
-
- КТ Philips Brilliance, 64 срезов
- МРТ Philips Achieva, 1.5 Тл, полуоткрытый
Цены:
-
ул. Центральная, д. 34 А
-
-
пн-вс с 8:00 до 21:00
-
- МРТ Siemens Magnetom Aera, 2015 года, 1.5 Тл, полуоткрытый
- КТ Siemens Somatom Perspective, 128 срезов
Цены:
-
Ленинградское шоссе, д. 47 А
-
Водный стадион, Речной вокзал, Сходненская
-
пн-вс с 8:00 до 21:00
-
- МРТ Siemens Magnetom Essenza, 2015 года, 1.5 Тл, полуоткрытый
- КТ Siemens Somatom Perspective, 2015 года, 64 срезов
Цены:
-
Перервинский бульвар, д. 4, корп. 1
-
Братиславская, Люблино, Марьино
-
пн-вс с 8:00 до 22:00
-
- МРТ Siemens Magnetom Aera, 1.5 Тл, полуоткрытый
- КТ Siemens SOMATOM Emotion, 16 срезов
Цены:
-
ул. Кирова, д. 36, корп. 2
-
Жулебино, Котельники, Лермонтовский проспект
-
пн-сб с 9:00 до 21:00, вс с 9:00 до 20:00
-
- КТ Toshiba Aquilion CXL, 64 срезов
Цены:
-
ул. Профсоюзная, д. 112
-
Беляево, Коньково, Калужская
-
пн-вс с 9:00 до 20:00
Цены:
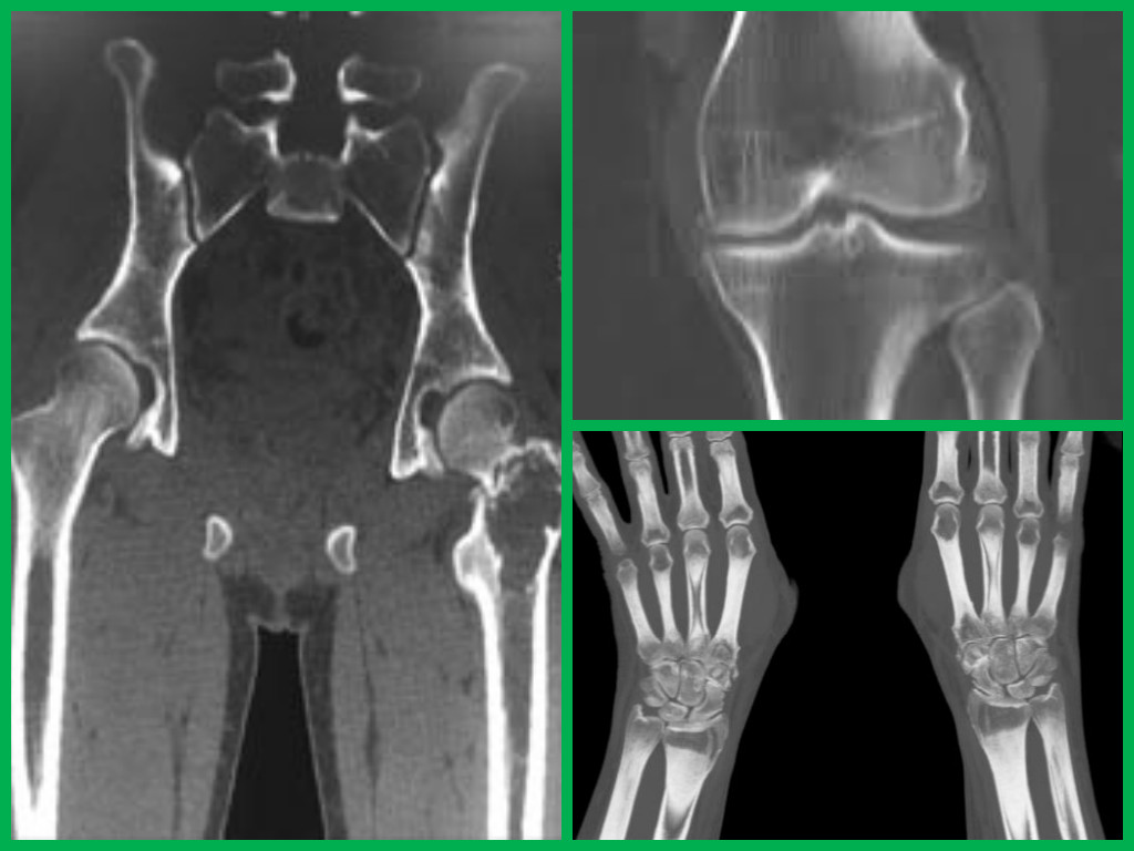
КТ суставов считается надёжным, наиболее информативным методом исследования, путём которого изучают и оценивают структуру суставных тканей с высокой точностью. Такая томография суставов позволяет производить снимки костных сочленений в разных плоскостях. Благодаря этому увеличиваются возможности изучения проблемных зон, а врачу становится легче установить диагноз и назначить правильное лечение.
Необходимость КТ
КТ назначают хирурги, ревматологи, травматологи для уточнения или установления диагноза. Путём этого метода подтверждают наличие артроза, артрита, остеомиелита, а также обнаруживают инородные предметы или образования в теле. Томография способна определить объём суставной жидкости, обнаружить места скапливания крови и различные аномалии в развитии суставов.
Исследования КТ:
- КТ коленного сустава проводят для диагностики травм, артритов, онкологических процессов. На нашем сайте вы узнаете, какова стоимость кт коленного сустава в разных клиниках в Москве.
- КТ тазобедренного сустава предназначено для определения диаметра головки бедра, а также на каком расстоянии от неё находиться впадина подвздошной кости. Также определяют местонахождение инородных тел, мелких кусков раздробленной костной ткани, воспалительные очаги.
- Когда исследуют локтевой сустав, то выявляют свежие или старые травмы локтя, опухоли, артроз, метастазы, ревматические изменения или прочие заболевания.
- При исследовании плечевого сустава выявляют онкологические или воспалительные заболевания, тщательно изучают травмы и структуру тканей.
Также проводят кт голеностопа и височно-нижнечелюстного сустава (ВНЧС). Чтобы точно исследовать голеностопный сустав, процедуру проводят на обеих ногах одновременно. Это важно для сравнения аномалий в строении суставов и прочих их особенностей для постановки безошибочного диагноза.
Противопоказания
Подобную процедуру противопоказано проводить беременным, людям с аллергией на йод, а также с весом больше 120 кг.
Этот метод высоко цениться специалистами за качество снимков и безошибочность получаемых результатов. В сравнении с МРТ его целесообразнее проводить от при травмах, внутрикостных опухолях, дегенеративных патологиях. Это обосновано тем, что процедура МРТ более сильна в диагностике связок, мягких тканей и пр. К тому же, цена кт суставов ниже чем стоимость мр-томографии.
Городская Служба записи на МРТ и КТ
Консультация по общим вопросам диагностики
Запись по всем районам города
Услуги Службы записи бесплатны для пациента