МРТ гипофиза – цены недорого, где лучше сделать в Москве, что показывает
Гипофиз – это орган эндокринной системы. Состоит из двух долей: передней (аденогипофиза) и задней (нейрогипофиза). В передней доле секретируются гормон роста, пролактин, фолликулостимулирующий, лютеинизирующий, тиреотропный, адренокортикотропный, меланостимулирующий и липотропный гормоны. В задней - накапливаются и затем секретируются в кровь гормоны гипоталамуса - антидиуретический гормон и окситоцин.
Где недорого сделать МРТ гипофиза в Москве
Мы регулярно обзваниваем диагностические центры в Москве и обновляем нашу таблицу минимальных цен.
                                        Записаться по минимальный ценам можно через городскую Справочную, позвонив по
                                        телефону:
                                        8 (499) 110-68-43
                                        (каждый день с 7 до 23)
                                    
В каких случаях необходимо обследовать гипофиз
На сегодняшний день основным и наиболее информативным методом диагностики этого органа является магнитно-резонансная томография. Она позволяет детально исследовать этот участок и установить точную причину ваших проблем со здоровьем.
Стоит обратиться к врачу и проверить состояние гипофиза в том случае если вас беспокоят:
- регулярные головные боли;
- ухудшения зрение не ясной этиологии;
- нерегулярный менструальный цикл;
- резкое изменение веса.
- 
                        ул. Маросейка, д. 2/15, стр. 1
- 
                        Китай-город, Лубянка, Площадь Революции
- 
                            пн-вс с 8:00 до 22:00
- 
                            - КТ Philips Brilliance CT, 16 срезов
- МРТ Philips Achieva, 1.5 Тл, полуоткрытый
 
Цены:
- 
                        Спартаковский переулок, д. 2, стр. 11
- 
                        Красносельская, Бауманская, Комсомольская
- 
                            пн-пт с 8:00 до 21:00, сб-вс с 9:00 до 21:00
- 
                            - КТ Siemens SOMATOM go.Up, 32 срезов
- МРТ SIEMENS MAGNETOM ALTEA, 1.5 Тл, полуоткрытый
 
Цены:
- 
                        Подсосенский переулок, д. 17
- 
                        Чкаловская, Курская, Китай-город
- 
                            пн-пт с 9:00 до 21:00, сб-вс с 10:00 до 18:00
- 
                            - МРТ Philips Achieva Intera, 1.5 Тл, полуоткрытый
- КТ Toshiba Aquilion CXL, 128 срезов
 
Цены:
- 
                        Химки, ул. Совхозная, д. 4, стр. 1
- 
                        Ховрино
- 
                            круглосуточно
- 
                            - КТ Siemens Healthineers SOMATOM, 64 срезов
- МРТ Siemens , 1.5 Тл, закрытый
 
Цены:
- 
                        ул. Полковая, д.12, корп. 1
- 
                        Савеловская, Марьина Роща, Дмитровская
- 
                            пн-вс с 8:00 до 20:00
- 
                            - МРТ General Electric Optima MR360, 1.5 Тл, закрытый
 
Цены:
- 
                        ул. 15-ая Парковая, д. 5
- 
                        Первомайская, Измайловская, Щелковская
- 
                            пн-пт с 8:00 до 21:00, сб с 9:00 до 20:00, вс с 10:00 до 19:00
- 
                            - МРТ Siemens Magnetom Impact Expert, 1.5 Тл, закрытый
 
Цены:
- 
                        Борисовский проезд, д. 15, корп. 1, стр. 2
- 
                        Шипиловская, Борисово, Домодедовская
- 
                            пн-пт с 8:00 до 21:00, сб с 9:00 до 21:00, вс с 10:00 до 19:00
- 
                            - МРТ Siemens MAGNETOM Symphony, 1.5 Тл, полуоткрытый
 
Цены:
- 
                        ул. 2-я Владимирская, д. 2
- 
                        Перово, Шоссе Энтузиастов, Соколиная Гора
- 
                            пн-вс с 8:00 до 22:00
- 
                            - МРТ Siemens Magnetom Symphony, 1.5 Тл, полуоткрытый
 
Цены:
- 
                        ул. Люсиновская, д. 53, корп. 2
- 
                        Шаболовская, Серпуховская, Тульская
- 
                            - КТ General Electric VCT, 64 срезов
- МРТ Siemens Avanto TIM, 1.5 Тл, полуоткрытый
 
Цены:
- 
                        ул. Садовническая, д. 11, стр. 10 А
- 
                        Новокузнецкая, Третьяковская, Китай-город
- 
                            пн-вс с 7:00 до 23:00
- 
                            - МРТ Philips Intera, 2011 года, 1.5 Тл, закрытый
 
Цены:
- 
                        Переведеновский переулок, д. 8
- 
                        Бауманская, Красносельская, Электрозаводская
- 
                            пн-вс с 8:00 до 22:00
- 
                            - МРТ Siemens MAGNETOM Aera, 1.5 Тл, полуоткрытый
 
Цены:
- 
                        ул. Нагатинская, д. 1, стр. 25
- 
                        Нагатинская, Верхние Котлы, Нагорная
- 
                            пн-вс с 7:00 до 01:00
- 
                            - МРТ General Electric Signa HD, 2012 года, 1.5 Тл, закрытый
 
Цены:
- 
                        ул. Привольная, д. 70, корп. 1
- 
                        Котельники, Жулебино
- 
                            пн-сб с 9:00 до 21:00, вс с 9:00 до 20:00
- 
                            - МРТ AILAB MagFinderII, 0.32 Тл, открытый
 
Цены:
- 
                        ул. Волочаевская д. 15, стр. 1
- 
                        Площадь Ильича, Римская, Москва Товарная
- 
                            пн-вс с 8:00 до 21:00
- 
                            - МРТ Philips Ingenia, 1.5 Тл, полуоткрытый
- КТ Philips Ingenuity Elite, 128 срезов
 
Цены:
- 
                        Волгоградский пр-т, д. 45
- 
                        Текстильщики, Новохохловская, Угрешская
- 
                            пн-вс с 9:00 до 21:00
- 
                            - МРТ Philips Intera, 1.5 Тл, закрытый
- КТ Philips Brillians, 64 срезов
 
Цены:
- 
                        ул. Автозаводская, д. 23, корп. 9
- 
                        ЗИЛ, Автозаводская, Тульская
- 
                            пн-вс с 8:00 до 22:00
- 
                            - МРТ Philips Intera, 2013 года, 1.5 Тл, полуоткрытый
- КТ General Electric LIGHT SPEED, 64 срезов
 
Цены:
- 
                        ул. Летчика Бабушкина, д. 48 Б
- 
                        Бабушкинская, Медведково
- 
                            пн-вс круглосуточно
- 
                            - МРТ Siemens Magnetom Essenza, 2014 года, 1.5 Тл, закрытый
- КТ Siemens Perspective, 2014 года, 128 срезов
 
Цены:
- 
                        ул. Профсоюзная, д. 114
- 
                        Беляево, Коньково, Калужская
- 
                            пн-вс круглосуточно
- 
                            - МРТ General Electric , 3.0 Тл, закрытый
- КТ Siemens Somatom Emotion, 6 срезов
 
Цены:
- 
                        Ленинский пр-т, д. 146
- 
                        Юго-Западная, Тропарево, Проспект Вернадского
- 
                            пн-вс круглосуточно
- 
                            - МРТ Siemens Magnetom Symphony , 2012 года, 1.5 Тл, закрытый
- КТ Siemens SOMATOM Emotion, 6 срезов
 
Цены:
- 
                        площадь Собина, д. 1
- 
                        Долгопрудная, Новодачная, Водники
- 
                            пн-пт с 8:00 до 22:00, сб-вс с 10:00 до 18:00
- 
                            - МРТ Siemens Magnetom, 1.0 Тл, полуоткрытый
 
Цены:
Содержание
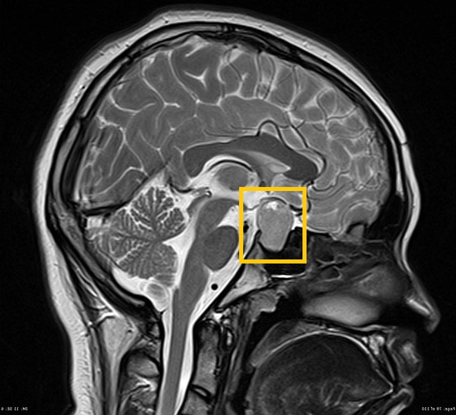
Гипофиз – главный орган эндокринной системы. Он является мозговым придатком и вместе с гипоталамусом образует гипоталамо-гипофизарную систему. Расположен этот орган в так называемом турецком седле. Гипофиз отвечает за выработку гормонов, которые влияют на:
- репродуктивную функцию;
- обмен веществ;
- рост человеческого организма.
В результате тех или иных нарушений в работе гипофиза могут возникать такие заболевания:
- карликовость;
- гигантизм;
- акромегалия;
- болезнь Иценко-Кушинга и другие патологии.
 Вес гипофиза 0,5 г. Размеры его могут быть разными. В среднем они составляют в ширину 10-12 мм, в сагиттальной плоскости 8 мм  и 3-8 мм в вертикальной. Размеры гипофиза в норме у женщин могут меняться в зависимости от фазы ментруального цикла. Передне-задний размер в детородном возрасте менее 10 мм, в период менопаузы - менее 8 мм, у девочек до 12 лет - 6 мм и меньше. В период полового созревания у подростков и беременных женщин – 10-12 мм в высоту в сагиттальной плоскости.
Вес гипофиза 0,5 г. Размеры его могут быть разными. В среднем они составляют в ширину 10-12 мм, в сагиттальной плоскости 8 мм  и 3-8 мм в вертикальной. Размеры гипофиза в норме у женщин могут меняться в зависимости от фазы ментруального цикла. Передне-задний размер в детородном возрасте менее 10 мм, в период менопаузы - менее 8 мм, у девочек до 12 лет - 6 мм и меньше. В период полового созревания у подростков и беременных женщин – 10-12 мм в высоту в сагиттальной плоскости. 
Заподозрить патологию гипофиза можно при исследовании головного мозга и затем направить пациента на прицельное МРТ гипофиза с контрастированием. Исследование длится около 60 мин, в результате врач получает снимок гипофиза в 3-х проекциях.
Показания:
- дисгормональные нарушения;
- подозрение на опухоль, доброкачественную или злокачественную;
- частые головные боли;
- нарушения со стороны органа зрения.
При наличии таких симптомов грамотный врач предложит пройти МРТ диагностику. Эта процедура безопасна для большинства людей и не требует серьезной подготовки. МРТ противопоказано беременным, детям до 7 лет и людям, в организме которых установлены медицинские устройства, контролирующие работу тех или иных органов.
Очень часто данное обследование назначают при подозрении на рак гипофиза. Для этого проводят МРТ с контрастированием. Цена МРТ гипофиза с контрастом в Москве немного выше, но использование контраста во время процедуры помогает исключить или подтвердить наличие раковых клеток.
Подготовка к МРТ гипофиза с контрастом
Специальной подготовки к исследованию гипофиза с контрастным усилением с помощью МРТ не требуется. Необходимо взять заключение аллерголога, прийти натощак, лучше это сделать с утра, или через 5-6 часов после приема пищи. Перед самим исследованием с себя следует снять все металлические предметы, выложить мобильный телефон, надеть удобную одежу.
Нужен ли контраст при МРТ гипофиза?
Опухоли гипофиза занимают 3-е место среди новообразований центральной нервной системы. Пик встречаемости приходится на 20-40 лет.
При наличии клинических, а также лабораторных (эндокринологических) данных, позволяющих заподозрить опухоль, исследование необходимо проводить с использованием контрастного усиления. При этом даже если контрастирования опухолевой структуры не будет, это все равно является критерием для дифференциального диагноза.
МРТ гипофиза, что показывает?
Наиболее часто встречаемой опухолью гипофиза является аденома – патология, которая харатеризуется разрастанием железистой ткани. Сегодня МР-томография является лучшим методом для ее распознавания и позволяет проводить дифференциальный диагноз среди других новообразований.
Пролактинома является часто встречающейся гормонально активной опухолью. Его повышение в плазме крови выше 100-150 нг/мл является патогномоничным симптомом пролактимомы. Гиперсекреция пролактина может приводить к различным заболевания, таким как бесплодие, аменорея и др. Повышение пролактина не является обязательным признаком опухоли гипофиза. Его значение может увеличиваться при наличии других опухолей, а также при приеме некоторых лекарственных препаратов. МРТ гипофиза при повышенном пролактине целесообразно проводить для диагностики причины его отклонения от нормы, выявлении опухоли, определении ее размеров, динамики роста, отношения к другим окружающим структурам, наличии дополнительных структур в самой опухоли.
Гормонально активные опухоли провоцируют развитие типичных эндокринопатий (акромегалия, синдром Кушинга), в связи с чем их можно диагностировать на ранних этапах. Как правило, такие опухоли на момент выявления имеют небольшие размеры (микроаденомы, т.е. опухоли до 10 мм). Гормонально неактивные опухоли проявляют себя, сдавливая окружающие структуры. После введения контрастного вещества микроаденомы, как правило, выглядят гипоинтенсивными по сравнению с нормальной тканью гипофиза, интенсивно накапливающей контрастный препарат. Макроаденомы (опухоли больше 10 мм), напротив, быстро аккумулирует контрастное вещество, выделяясь на фоне окружающих структур.
Результаты исследований показывают, что применение МР-томографии с контрастным усилением для диагностики патологии гипофиза помогает поставить точный диагноз и помогает врачу подобрать необходимую тактику лечения.
МР томографы открытого и закрытого типа
Стремительное развитие магнитно-резонансной томографии (МРТ) требует ознакомления читателей с видами МР-оборудования, способами исследований.
Современные виды МРТ или от чего зависит цена МР-томографии
 По качеству изображения и цене МРТ оборудование разделяется на 3 вида:
По качеству изображения и цене МРТ оборудование разделяется на 3 вида:
- Системы с открытым постоянным магнитом формируют мощность магнитного поля 0,2-0,7 Тесла, удобны для размещения пациентов весом более 150 килограмм, страдающих боязнью замкнутых пространств. Ограничение – слабое поле не позволяет получить качественные томограммы, нельзя делать спектрометрию, функциональную визуализацию, детям не рекомендуется;
- Сверхпроводящие тоннельные системы закрытого типа – оборудование создает магнитное поле мощностью 1-9 Тесла. Обеспечивает качественную картинку при любом способе томографии. Недостаток – вес пациентов не более 150 килограмм (у большинства аппаратов Philips, Siemens, Toshiba). Не подходят людям с клаустрофобией;
- Открытые гибридные системы мощностью 0,6-1,2 Тесла создают качественную картинку, Недостатки: высокое потребление энергии, использует гелий.
На цену МРТ открытого типа оказывает существенное влияние себестоимость оборудования и затраты на техническое обслуживание.
Стоимость обследования в частных клиниках Москвы и Санкт-Петербурга определяется видом оборудования (Philips, Hitachi, Siemens, Toshiba), мощностью магнитного поля аппарата (затраты энергии на обследование).
При ответе, на каком томографе лучше сделать МРТ в Москве, нужно анализировать несколько показателей:
- Цели исследования;
- Вид томографии;
- Конечное качество томограмм
Обследование на сверхпроводящих аппаратах с высоким магнитным полем позволяет получать изображение с высокими разрешающими способностями. На картинке четко визуализируются мелкие объекты, в том числе опухоли с размерами очагов свыше 4 мм.
В медицинских целях практикуется диагностика на высокопольном оборудовании мощностью 3 Тесла стоимостью от 2000 (сканирование сустава) до 20000 (функциональная томография позвоночника с контрастом и вертикализацией) российских рублей.
Современные способы МР-томографии
С появлением МРТ и КТ (компьютерной томографии) у врачей появилась возможность пространственного изучения органов, анализа взаимодействия разных систем.
Способ получения трехмерного изображения на основе томографических срезов называется виртуальной эндоскопией. Используется в онкологии – для изучения характеристик опухоли, ангиологии – определение аномалий сосудов, урологии – выявление аномального хода мочеточника.
Другие способы магнитно-резонансной томографии:
- МР-диффузия применяется в научных целях для изучения движения жидкости между тканями;
- Диффузно-взвешенная томография назначается для оценки состояния кровоснабжения мозга при подозрении на инфаркт, так как метод регистрирует состояние клеточных мембран и межклеточной жидкости. Проводится на аппаратах открытого и закрытого типа;
- МР-перфузия используется для изучения размеров ишемического повреждения мозговой ткани;
- МР-спектрометрия позволяет выявить нарушения обмена веществ до развития клиники заболевания при рассеянном склерозе, болезни Паркинсона;
- МР-ангиография изучает состояние сосудов для обнаружения атеросклеротических бляшек, опухолей, сужений, аномалий развития;
- Функциональная МРТ – изучение мозга после предварительной стимуляции нужных отделов;
- МРТ позвоночника с вертикализацией – получение срезов позвоночного столба в горизонтальном и вертикальном положении (под нагрузкой).
Городская Служба записи на МРТ и КТ
                                     Консультация по общим вопросам диагностики
                                     Запись по всем районам города 
                                     Услуги Службы записи бесплатны для пациента
                                
Где можно пройти обследование
На нашем сайте имеется полный список всех медицинских учреждений, в которых проводят данную диагностику. Вы можете просмотреть всю нужную информацию об этих клиниках, узнать их адреса и цены МРТ гипофиза в Москве.
Узнав, сколько стоит данная процедура во всех клиниках, вы сможете выбрать для себя наиболее выгодное предложение.
 
     
     
     
     
    