МРТ органов малого таза — цены недорого, где лучше сделать в Москве, что показывает
Почему необходимы обследования, или где сделать МРТ малого таза и забрюшинного пространства
При возникновении болевых ощущений, у каждого из нас возникает панический страх, что же делать, и к какому специалисту обратиться. А проще говоря, любой дискомфорт в организме, связанный с болью, предупреждает нас о том, что необходимо незамедлительно проконсультироваться у врача. После тщательного осмотра специалисты часто назначают дополнительные обследования. Это крайне важная деталь для постановки верного диагноза, так многие заболевания крайне сложно распознать при банальном осмотре. Мы часто задаёмся вопросом, а опасна или нет процедура, которую назначил врач? И стоит ли вообще проходить обследования.
Смеем вас заверить, что любое заболевание, выявленное на ранней стадии, легче поддаётся лечению. Запущенная форма болезней, не редко грозит плачевными последствиями.
Где недорого сделать МРТ органов малого таза в Москве
Мы регулярно обзваниваем диагностические центры в Москве и обновляем нашу таблицу минимальных цен.
Записаться по минимальный ценам можно через городскую Справочную, позвонив по
телефону:
8 (499) 110-68-43
(каждый день с 7 до 23)
Мужчинам назначают обследование в случаях:
- возникновения новообразования в яичках или мошонке;
- при неопущении яичка (используется только, если физикальное обследование не выявило причину возникновения заболевания);
- резкая или ноющая боль в области таза или внизу живота (когда причину невозможно выявить при осмотре у врача);
- болевые ощущения при мочеиспускании.
Женщинам назначают вследствие ярко выраженной симптоматики:
- наличие кровяных вагинальных выделений;
- возникновение нарастающей ткани во влагалище, внешне напоминающей матку;
- наличие воспалительного процесса придатков матки;
- повреждения или травмы в области бедра (только в том случае, если после КТ возникают некоторые сомнения у врача).
Стоит отметить, что МРТ нередко используют для выявления распространения раковых опухолей в организме. Таким образом, можно, выявить и принять своевременные меры по излечению от такого опасного заболевания.
-
ул. Маросейка, д. 2/15, стр. 1
-
Китай-город, Лубянка, Площадь Революции
-
пн-вс с 8:00 до 22:00
-
- КТ Philips Brilliance CT, 16 срезов
- МРТ Philips Achieva, 1.5 Тл, полуоткрытый
-
Спартаковский переулок, д. 2, стр. 11
-
Красносельская, Бауманская, Комсомольская
-
пн-пт с 8:00 до 21:00, сб-вс с 9:00 до 21:00
-
- КТ Siemens SOMATOM go.Up, 32 срезов
- МРТ SIEMENS MAGNETOM ALTEA, 1.5 Тл, полуоткрытый
Цены:
-
Подсосенский переулок, д. 17
-
Чкаловская, Курская, Китай-город
-
пн-пт с 9:00 до 21:00, сб-вс с 10:00 до 18:00
-
- МРТ Philips Achieva Intera, 1.5 Тл, полуоткрытый
- КТ Toshiba Aquilion CXL, 128 срезов
-
Химки, ул. Совхозная, д. 4, стр. 1
-
Ховрино
-
круглосуточно
-
- КТ Siemens Healthineers SOMATOM, 64 срезов
- МРТ Siemens , 1.5 Тл, закрытый
-
ул. Полковая, д.12, корп. 1
-
Савеловская, Марьина Роща, Дмитровская
-
пн-вс с 8:00 до 20:00
-
- МРТ General Electric Optima MR360, 1.5 Тл, закрытый
Цены:
-
ул. 15-ая Парковая, д. 5
-
Первомайская, Измайловская, Щелковская
-
пн-пт с 8:00 до 21:00, сб с 9:00 до 20:00, вс с 10:00 до 19:00
-
- МРТ Siemens Magnetom Impact Expert, 1.5 Тл, закрытый
Цены:
-
Борисовский проезд, д. 15, корп. 1, стр. 2
-
Шипиловская, Борисово, Домодедовская
-
пн-пт с 8:00 до 21:00, сб с 9:00 до 21:00, вс с 10:00 до 19:00
-
- МРТ Siemens MAGNETOM Symphony, 1.5 Тл, полуоткрытый
Цены:
-
ул. 2-я Владимирская, д. 2
-
Перово, Шоссе Энтузиастов, Соколиная Гора
-
пн-вс с 8:00 до 22:00
-
- МРТ Siemens Magnetom Symphony, 1.5 Тл, полуоткрытый
Цены:
-
ул. Люсиновская, д. 53, корп. 2
-
Шаболовская, Серпуховская, Тульская
-
- КТ General Electric VCT, 64 срезов
- МРТ Siemens Avanto TIM, 1.5 Тл, полуоткрытый
-
ул. Садовническая, д. 11, стр. 10 А
-
Новокузнецкая, Третьяковская, Китай-город
-
пн-вс с 7:00 до 23:00
-
- МРТ Philips Intera, 2011 года, 1.5 Тл, закрытый
Цены:
-
Переведеновский переулок, д. 8
-
Бауманская, Красносельская, Электрозаводская
-
пн-вс с 8:00 до 22:00
-
- МРТ Siemens MAGNETOM Aera, 1.5 Тл, полуоткрытый
-
ул. Нагатинская, д. 1, стр. 25
-
Нагатинская, Верхние Котлы, Нагорная
-
пн-вс с 7:00 до 01:00
-
- МРТ General Electric Signa HD, 2012 года, 1.5 Тл, закрытый
Цены:
-
ул. Привольная, д. 70, корп. 1
-
Котельники, Жулебино
-
пн-сб с 9:00 до 21:00, вс с 9:00 до 20:00
-
- МРТ AILAB MagFinderII, 0.32 Тл, открытый
Цены:
-
ул. Волочаевская д. 15, стр. 1
-
Площадь Ильича, Римская, Москва Товарная
-
пн-вс с 8:00 до 21:00
-
- МРТ Philips Ingenia, 1.5 Тл, полуоткрытый
- КТ Philips Ingenuity Elite, 128 срезов
Цены:
-
Волгоградский пр-т, д. 45
-
Текстильщики, Новохохловская, Угрешская
-
пн-вс с 9:00 до 21:00
-
- МРТ Philips Intera, 1.5 Тл, закрытый
- КТ Philips Brillians, 64 срезов
Цены:
-
ул. Автозаводская, д. 23, корп. 9
-
ЗИЛ, Автозаводская, Тульская
-
пн-вс с 8:00 до 22:00
-
- МРТ Philips Intera, 2013 года, 1.5 Тл, полуоткрытый
- КТ General Electric LIGHT SPEED, 64 срезов
Цены:
-
ул. Летчика Бабушкина, д. 48 Б
-
Бабушкинская, Медведково
-
пн-вс круглосуточно
-
- МРТ Siemens Magnetom Essenza, 2014 года, 1.5 Тл, закрытый
- КТ Siemens Perspective, 2014 года, 128 срезов
Цены:
-
ул. Профсоюзная, д. 114
-
Беляево, Коньково, Калужская
-
пн-вс круглосуточно
-
- МРТ General Electric , 3.0 Тл, закрытый
- КТ Siemens Somatom Emotion, 6 срезов
Цены:
-
Ленинский пр-т, д. 146
-
Юго-Западная, Тропарево, Проспект Вернадского
-
пн-вс круглосуточно
-
- МРТ Siemens Magnetom Symphony , 2012 года, 1.5 Тл, закрытый
- КТ Siemens SOMATOM Emotion, 6 срезов
Цены:
-
площадь Собина, д. 1
-
Долгопрудная, Новодачная, Водники
-
пн-пт с 8:00 до 22:00, сб-вс с 10:00 до 18:00
-
- МРТ Siemens Magnetom, 1.0 Тл, полуоткрытый
Цены:
Содержание
Для чего необходимо МРТ при заболеваниях малого таза?
Пациенты часто задаются вопросом, что можно увидеть на МРТ малого таза и какие преимущества у данного метода? Вас могут беспокоить боли в области таза, зачастую это первые признаки серьёзных заболеваний. В этом отделе у человека расположен мочевой пузырь, женские репродуктивные органы и мужские половые органы, лимфатические узлы и кости таза. О причинах и симптомах мы расскажем чуть позже, ну а сейчас остановимся на МРТ исследовании. Что это за процедура и почему она важна для пациента? Магнитно-резонансная томография малого таза это детализированное изображение органов, тканей и крестца на снимке. Процедура необходима для тщательного и качественного обследования внутренних органов малого таза. МРТ позволяет получить информацию о структурных внутренних изменениях в тканях и первичных признаках опасных и серьезных заболеваний. По сравнению с СКТ, на снимках МРТ можно более детально изучить мягкие ткани и всевозможные патологические процессы в них. Вам выписали направление на обследование, но вы не знаете, где делают МРТ органов малого таза? У пациента всегда есть право выбора медучреждения. Сделать правильный выбор клиники и ознакомиться с положительными отзывами, всегда можно при помощи Интернет-ресурсов.
Проявленная симптоматика или возможные причины для МРТ

Пройти МРТ малого таза в равной мере назначают и мужчинам, и женщинам. Мы перечислим ряд возможных симптомов в зависимости от половых принадлежностей.
Обращайте внимание на определённые изменения в организме, и не допускайте развития осложнений. Пройденное вовремя обследование, поможет выявить любые отклонения на ранней стадии. Нужно МРТ малого таза для вас или нет, это вопрос сугубо личный, но обратить внимание на рекомендации врача всё-таки необходимо. Обратитесь в специализированные клиники, где квалифицированные специалисты проконсультируют и проведут тщательную диагностику малого таза.
Для чего необходимо комплексное проведение МРТ
В современной медицине практикуют комплексное обследование МРТ брюшной полости и малого таза. Такой метод позволяет обследовать сразу все органы и выявить вероятную причину какого-либо заболевания. Так как, обследуя по отдельности каждый орган можно упустить патологические изменения в другом месте организма.
Если необходимо сделать снимок МРТ пояснично-крестцового отдела и малого таза, то для более достоверной диагностики врачи рекомендуют провести обследование всего позвоночника. Например: ноющая боль в пояснице, может быть следствием остеохондроза или грыжи на межпозвоночном диске в грудном нижнем отделе.
Подготовительный этап к проведению процедуры МРТ
Достоверность и информативность МРТ малого таза во многом зависит от соблюдения правил при проведении процедуры. Именно поэтому пациента изначально консультируют и предупреждают о всевозможных рисках.
В момент обследования допускается использование одноразовой одежды. Пациент может оставаться и в своей одежде, но она не должна плотно прилегать к телу и содержать каких-либо металлических предметов (брошь, ремень, и т.д.). Приём пищи допускается не позднее, чем за 5-6 часов до обследования. Если человек подвержен аллергии, следует в обязательном порядке предупредить специалиста, так как при исследовании может использоваться контрастное вещество, одним из компонентов которого, является гадолиний (металлическое вещество). Сам по себе он не опасен, но при наличии хронического заболевания почек или бронхиальной астмы, может вызвать нежелательные последствия. Не рекомендовано проходить обследование беременным женщинам. Самый опасный период для реализации каких-либо процедур, первый триместр. У плода в это время формируются внутренние органы, и малейшее отклонение в организме будущей мамы, вызывает патологическое отклонение у малыша. Им чаще всего назначают УЗИ, где малый таз смотрят для выявления патологии. Пациенты, страдающие клаустрофобией, проходят МРТ в аппаратах открытого типа.
Не обращайтесь в клиники с сомнительной репутацией, а проводите обследование только там, где есть хорошее МРТ малого таза.
Сколько длится МРТ малого таза?
Нередко такой вопрос звучит от всех представителей, как женского, так и мужского пола,которым предстоит пройти детальное исследование при помощи магнитно-резонансного томографа. Ответ на этот вопрос можно получить, разобрав возможный объем и особенности такого обследования. Отмечают 3 главных этапа диагностирования:
- Подготовка.
- Диагностика.
- Заключение.
После того, как Вы получили направление на прохождения магнитно-резонансного обследования органов малого таза, следует выбрать клинику, где Вы будете проходить диагностику и записаться на обследование заранее. Доктор-рентгенолог проведет консультацию и расскажет Вам о том, как следует подготовиться к обследованию и о всех возможных тонкостях на этом этапе. Подготовку надо будет начинать заранее, за 2-3 дня до проведнения МРТ органов малого таза. Пренебрегать такими рекомендациями ни в коем случае нельзя, т.к. от этого будет зависеть успех и точность обследования.
Приходить в клинику необходимо в день проведения диагностирования за 15-60 минут до начала, в зависимости от вида МРТ.
Если Вам предстоит пройти детальное обследование органов малого таза с контрастированием, то, незадолго до диагностики Вам надо пройти дополнительные виды обследования в виде аллергопробы на контрастное вещество. В день обследования, за 15-20 минут до начала, пациенту внутривенно вводят контрастное вещество.
Также, если обследование предстоит пройти людям, страдающим клаустрофобией или другими нарушениями, препятствующими длительному нахождению в неподвижном состоянии, детям, им выполняется дополнительная премидикации седативными, обезболивающими или снотворными препаратами. На это затрачивается ещё 15-20 минут времени.
Общая подготовка к МРТ исследованию заключается в том, что пациент должен переодеться в комфортную одежду без металлических дополнений, в которой он себя будет чувствовать удобно на протяжении всего времени обследования, снять с себя металлические украшения, часы, аксессуары, убрать мобильный телефон. Такая подготовка затягивается на 15-20 минут.
Куда дальше идти и что делать после подготовительного этапа? Вопрос, волнующий пациентов, пришедших на МРТ. Всё очень просто, необходимо самостоятельно или при помощи мед.персонала, переместиться в кабинет, где находится томограф. Доктор-рентгенолог Вас попросит лечь на стол, который затем будет задвигаться в томограф.
Далее наступает само обследование, объём диагностирования может у каждого пациента отличаться, от чего зависит и длительность всего мероприятия. В направлении у пациента указана область необходимого обследования, что необходимо изучить и уточнить. Врач-рентгенолог действует на основании назначений лечащего врача. Сколько времени МРТ малого таза занимает у пациента? Как показывает практика, в среднем, это время составляет 30-60 минут.
Результаты диагностики
После того, как диагностика закончена, пациент может быть свободен, а доктор-рентгенолог приступает к расшифровке результатов. Расшифровать МРТ малого таза грамотному рентгенологу не представляет труда. На имеющемся трехмерном изображении просматриваются четкие участки самых мельчайших патологических процессов, образований, просматриваются четкие границы и представляется возможность определить природу происхождений имеющихся новообразований, а также оценить состояние сосудов, лимфатических узлов и костной системы этой области. Всё это доктор-рентгенолог описывает в заключении к МРТ органов малого таза. По времени этот этап длится от 2 до 24 часов.
Снимки МРТ малого таза, записанные на диск и заключение рентгенолога передаётся пациенту для его лечащего врача. На основании этого заключительного диагноза, лечащий врач назначает пациенту необходимое лечение или принимает решение о целесообразности проведения оперативного вмешательства. По желанию или по требованию доктора, снимки можно распечатать.
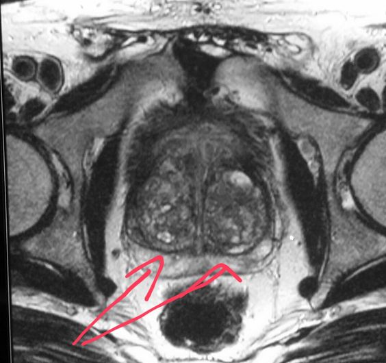
Какие патологии выявляет МРТ малого таза?
Для каждого человека диагноз под названием злокачественная опухоль становится депрессивным шоком. И смириться с ним крайне не легко. В такой ситуации главное руководствоваться здравым смыслом, и предпринять все меры для выяснения стадии развития заболевания. Как говорят "Предупреждён — значит вооружён". Это заболевание коварно и опасно, и не зависимо от половой принадлежности, одинаково вредоносно как для мужчин, так и для женщин. МРТ диагностика позволяет детально изучить и выявить наличие метастазов. Своевременное обследование пациента позволяет врачам назначить правильное лечение.
Рак шейки матки: для чего делают МРТ при заболевании
Рак шейки матки - это злокачественная опухоль расположенная на стенках канала шейки матки. Установить причину возникновения патологических изменений здоровых клеток (перерождение собственной клетки) не всегда удаётся. На самом деле они очень разнообразны. МРТ при раке шейки матки позволяет досконально обследовать и выявить наличие метастазов (распространение опухоли на другие органы). Не каждой женщине назначают МРТ, решение о проведении таковых обследований специалист принимает, опираясь на результаты детального осмотра и биопсии.
Патологические изменения репродуктивной системы женщины
Яичники в организме женщины — важный орган, в котором развиваются и созревают половые клетки. Говоря простым языком, благодаря им формируются яйцеклетка. Рак яичников - самое коварное заболевание, которое встречается у женщин после 45 лет. Его развитию способствует генетическая предрасположенность (если у матери был рак, то и у дочери впоследствии может обнаружиться это заболевание) или наличие доброкачественных наростов (папиллом). Для диагностики заболевания в редких случаях используют МРТ или КТ, изначально получают результаты биопсии (иссечение кусочка ткани или поражённого органа).
Освещая заболевания половых органов у женщины, следует сказать несколько слов ещё об одном заболевании. Дермоидная киста яичника — это нарост внутри яичников, в состав которого могут входить все ткани организма. К примеру вам сложно представить, что внутри вашего яичника может находиться комок волос или жировая ткань. Разрастаясь она вытесняет здоровые клетки яичника, тем самым нарушая нормальную работу органа.
Помимо злокачественной опухоли на матке может развиваться и доброкачественное новообразование, именуемое миома. Не впадайте в панику от диагноза миома матки. Такой вердикт не слишком опасен, при детальном осмотре врач визуально установит наличие нароста, но дополнительно отправит на УЗИ. После чего вам назначат медикаментозное лечение (приём препаратов) или удаление миомы.
Женские органы подвержены многим заболеваниям, очередным малоприятным недугом является эндометриоз. В процессе заболевания клетки эндометрия (внутренний слой) разрастаются внутри матки, тем самым образуя нарост. Распознают это заболевание при помощи визуального осмотра или при помощи УЗИ и МРТ.
Какие заболевания поражают мужские половые органы

Мужские половые органы, не меньше чем женские, поражаются различными заболеваниями. Самыми опасными из них являются раковые опухоли. Простата или предстательная железа — это второе сердце для мужчин. Патологическое изменение этого органа сулит мужчине нарушением работы мочеполовой системы в целом. Халатное отношение к своему здоровью в дальнейшем приводит к проблемам в сексуальной жизни мужчины. Мы не станем заострять внимание на причинах возникновения заболеваний.ю связанных с простатой, остановимся лишь на том, как и кто диагностирует наличие вредоносных болезней.
Имея на руках предварительные результаты диагностики, в которых указанно наличие раковой опухоли, вы можете обратиться в клиники, где проводят дополнительные обследования. Что может показать МРТ диагностика рака простаты, и какие выводы можно сделать из расшифровки? В ряде случаев такое обследование обусловленно наличием определённых признаков, к примеру один из них — увеличение простаты. Увеличение органа свидетельствует о наличии воспалительного процесса. В тех случаях, когда у вас существуют подозрение о наличии такого заболевания, как рак предстательной железы, МРТ обследование увеличивает шансы получения качественной и достоверной информации о заболевании.
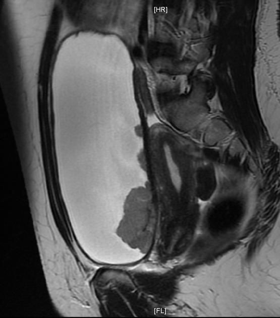
Заболевания мочевыделительной системы
Исследование мочевого пузыря, как правило, проводится в общей диагностике малого таза. Потому что симптоматика патологического изменения этого органа тесно взаимосвязана с другими заболеваниями мочевой системы. Предписанием к дополнительной диагностике могут быть результаты визуального осмотра или биопсии. Выявленная опухоль становиться причиной для того, чтобы сделать МРТ рака мочевого пузыря. Для усиления и качественного изображения на снимках сгустков раковой опухоли не редко пациенту вводят контрастное вещество. Оно абсолютно безвредно.
Патология позвоночника
Некоторые заболевания позвоночника протекают совершенно без каких-либо симптомов. Одним из таких заболеваний является гемангиома — это доброкачественная опухоль. Заболевание обусловленное наличием нароста в любой области позвонка. Болезнь чаще всего выявляют при комплексном обследовании МРТ, как говорят врачи "случайная находка".
Проявляйте бдительность, и обращайте внимание на малейшие изменения вашего организма. Заболевание лучше предупредить, чем потом бороться с его последствиями. Своевременный поход в клинику, поможет выявить нежелательные патологические изменения ваших внутренних органов. Ваше здоровье зависит только от вас!
Противопоказания к МРТ малого таза
Метод МРТ считается безопасным методом визуализации. В отличие от КТ тут не используется ионизирующее облучение. При правильном использовании в современной медицинской практике электромагнитные поля не взаимодействуют с тканями организма таким образом, чтобы вызвать постоянные изменения в них. Однако, при неосторожном обращении и совершении ошибок при выполнении процедуры исследования можно нанести вред здоровью пациента, персонала, а также вывести из строя сам аппарат.
Общие противопоказания к МРТ исследованию малого таза:

- пациенты с электронными медицинскими устройствами (водитель сердечного ритма, нейростимуляторы и др). Пациенты, у которых имеются ферромагнитные импланты не должны входить в кабинет МРТ.
- необходимо снять с себя все металлические предметы (ключи, монеты, скрепки, заколки для волос, шариковые ручки с пружинным механизмом), выложить приборы на электрических батарейках (сотовый телефон).
- беременность I триместр. Проведение исследования возможно только по жизненно важным показаниям.
- избыточный вес пациента (более 130 кг) и большой объем талии, превышающий диаметр МР-капсулы.
Относительными противопоказаниями являются:
- клаустрофобия (при проведении исследования в аппаратах закрытого типа).
- тяжелое соматическое состояние больного (если больной подключён к аппарату ИВЛ или др, то необходимо дождаться состояния, когда будет возможно поддержание жизненно важных функций без аппарата), а также психические расстройства (необходимо компенсировать острое состояние медикаментозными препаратами).
- исследование органов малого таза у женщин не проводится во время менструации, кроме тех случаев, когда необходимо провести дифференциальный диагноз при подозрении на гормональнозависимую опухоль.
Наличие внутриматочный спирали (кроме спирали из меди), лактации не являются противопоказаниями к МРТ органов малого таза.
При использовании контрастных препаратов к вышеперечисленным противопоказаниям добавятся:
- беременность на любом сроке, т.к. еще не получено достаточно данных о возможном вреде для плода при использовании препаратов на основе гадолиния.
- в период лактации не рекомендуется прикладывать к груди ребенка в течение 24-48 часов. Молоко необходимо сцеживать после исследования.
- при почечной недостаточности также возможно исследование с контрастным усилением/ Самым грозным осложнением у больных с тяжелым повреждением почек является нефрогенный системный фиброз. Наиболее часто данное осложнение возникало после использования омнискана и магневиста. Поэтому эти препараты не рекомендуется применять для исследования пациентов с клиренсом креатинина менее 30 мл/мин/1.73 м2.
- положительный аллергологический анамнез.
Если у пациента нет противопоказаний, то МР-томографию и МР-томографию с контрастным усилением можно проводить так часто, как это требуется для уточнения диагноза или при наблюдении за динамикой заболевания. Альтернативными методоми исследования при наличии противопоказаний, а также более дешевыми, является УЗИ или КТ.
Какой метод диагностики малого таза лучше – УЗИ, КТ или МРТ
Развитие лучевых методов позволило выявить заболевания, о которых ранее врачи имели лишь косвенное представление. Компьютерная, магнитно-резонансная томография, ультразвуковое обследование — при грамотном сочетании способы позволяют верифицировать большинство болезней малого таза на ранней стадии.
Частные центры предлагают населению лучевые обследования на платной основе, но у человека без медицинских знаний возникают сложности с выбором метода верификации нужной нозологии.
МРТ или УЗИ органов малого таза – что лучше выбрать
Перед выбором способа диагностики рекомендуем ознакомиться с областями применения МРТ, УЗИ простаты (у мужчин), матки (у женщин), малого таза.
Ультразвуковое сканирование используется в гинекологии и урологии длительно. Для выявления заболеваний мочеполовой сферы, генитальных путей разработаны оптимальные алгоритмы, специальные датчики, позволяющие с высокой эффективностью выявлять большинство болезней:
- Мочевого пузыря;
![УЗИ малого таза]()
- Яичников, матки и фаллопиевых труб (у женщин);
- Предстательной железы (у мужчин).
Низкие экономические затраты и доступность использования ультразвуковых волн указывает на ряд преимуществ в визуализации причин нарушения менструального цикла у женщины по причине:
- Кровоизлияний в середине месячных;
- Задержки;
- Раннего начала менархе;
- Патологических выделений;
- Болевого синдрома внизу живота.
Достоверность УЗИ при описанных симптомах достаточно высокая.
Экономические затраты на МРТ значительно выше, чем стоимость ультразвукового исследования. Назначается МР-томография при сомнениях в выявлении патологии после использования других инструментальных методов.
Динамическое контрастное усиление дополняет диагностический ряд уникальной информацией – о химических и физических процессах в органах. Магнитно-резонансная томография применяется для выявления небольших патологических образований диаметром в несколько миллиметров на начальных стадиях (опухоли), определения сосудистых аномалий, нарушений микроциркуляции.
УЗИ и МРТ может применяться при беременности во втором и третьем триместрах. Необходимость использования методов в первые три месяца вынашивания ребенка определяется гинекологом индивидуально после сопоставления диагностических целей, противопоказаний, показаний.
Что лучше МРТ или КТ малого таза
Нельзя ответить однозначно, какой метод исследования органов малого таза лучше. Есть много разных клинических ситуаций, при которых достоверностью обладает один из описанных методов или требуется комбинированное использование инструментальных способов. МРТ лучше визуализирует ткани, сосуды, а КТ хорошо показывает костные структуры.
Суть компьютерной или магнитно-резонансной томографии – послойное сканирование тела с получением срезов через определенное количество миллиметров. Только при КТ используется рентгеновское излучение, а при МРТ – магнитный резонанс атомов водорода. Компьютерная томография доставляет больше вреда организму из-за лучевого воздействия на здоровые ткани, поэтому часто делать нельзя.
Магнитно-резонансное сканирование может применяться неограниченное число раз, что удобно для динамического отслеживания качества лечения, состояния здоровья после оперативного вмешательства.
К МРТ также существуют ограничения – клаустрофобия, наличие металлических предметов в теле.
Показания для совместного использования магнитно-резонансной и компьютерной томографии:
- Тяжелые травмы тазовых костей;
- Оценка распространенности опухолей и метастатических очагов;
- Клинические симптомы рака простаты, мочевого пузыря, матки;
- Визуализация структуры магистральных артерий, лимфоузлов;
- Динамическое наблюдение за течением патологических процессов.
УЗИ, МРТ или КТ – неинвазивные, безболезненные способы. Каждое исследование имеет недостатки, преимущества, показания к использованию. Определять, какой метод диагностики лучше в каждом конкретном случае, должен врач.
Городская Служба записи на МРТ и КТ
Консультация по общим вопросам диагностики
Запись по всем районам города
Услуги Службы записи бесплатны для пациента
В каких клиниках проводят МРТ?
Врач назначил детальное обследование, но вы не знаете где лучше сделать МРТ малого таза? Подобную диагностику проводят в клиниках, где существует современное оборудование для подобных исследований.
Если у вас остались сомнения, или требуется консультация специалиста, вы можете предварительно записаться на МРТ малого таза в Москве, позвонив по телефону в клинику. Приёмы проводятся ежедневно с утра до вечера.
Ваше здоровье — это ключ к долголетию. Будьте здоровы!
