МРТ глазных орбит — цены недорого, где лучше сделать в Москве, что показывает
МРТ глаза – метод обследования, позволяющий выявлять заболевания на ранних сроках. Его особенностью является возможность видеть исследуемый объект в нескольких плоскостях. При необходимости используется контрастирующее вещество, окрашивающее сосуды и обеспечивающее четкое изображение.
Где недорого сделать МРТ глазных орбит в Москве
Мы регулярно обзваниваем диагностические центры в Москве и обновляем нашу таблицу минимальных цен.
Записаться по минимальный ценам можно через городскую Справочную, позвонив по
телефону:
8 (499) 110-68-43
(каждый день с 7 до 23)
Такие исследования проводятся по направлению врача в следующих случаях:
- возможное наличие тромбоза сетчатки;
- при попадании инородного тела в глаз или в ретробульбарное пространство;
- различные новообразования (доброкачественные или злокачественные);
- отмирание зрительного нерва;
- резкое ухудшение зрения;
- дегенеративные заболевания различных видов;
- посттравматические изменения, кровоизлияние в глазных средах;
- воспалительные процессы и т.д.
-
ул. Маросейка, д. 2/15, стр. 1
-
Китай-город, Лубянка, Площадь Революции
-
пн-вс с 8:00 до 22:00
-
- КТ Philips Brilliance CT, 16 срезов
- МРТ Philips Achieva, 1.5 Тл, полуоткрытый
Цены:
-
Спартаковский переулок, д. 2, стр. 11
-
Красносельская, Бауманская, Комсомольская
-
пн-пт с 8:00 до 21:00, сб-вс с 9:00 до 21:00
-
- КТ Siemens SOMATOM go.Up, 32 срезов
- МРТ SIEMENS MAGNETOM ALTEA, 1.5 Тл, полуоткрытый
Цены:
-
Подсосенский переулок, д. 17
-
Чкаловская, Курская, Китай-город
-
пн-пт с 9:00 до 21:00, сб-вс с 10:00 до 18:00
-
- МРТ Philips Achieva Intera, 1.5 Тл, полуоткрытый
- КТ Toshiba Aquilion CXL, 128 срезов
Цены:
-
Химки, ул. Совхозная, д. 4, стр. 1
-
Ховрино
-
круглосуточно
-
- КТ Siemens Healthineers SOMATOM, 64 срезов
- МРТ Siemens , 1.5 Тл, закрытый
Цены:
-
ул. Полковая, д.12, корп. 1
-
Савеловская, Марьина Роща, Дмитровская
-
пн-вс с 8:00 до 20:00
-
- МРТ General Electric Optima MR360, 1.5 Тл, закрытый
Цены:
-
ул. 15-ая Парковая, д. 5
-
Первомайская, Измайловская, Щелковская
-
пн-пт с 8:00 до 21:00, сб с 9:00 до 20:00, вс с 10:00 до 19:00
-
- МРТ Siemens Magnetom Impact Expert, 1.5 Тл, закрытый
Цены:
-
Борисовский проезд, д. 15, корп. 1, стр. 2
-
Шипиловская, Борисово, Домодедовская
-
пн-пт с 8:00 до 21:00, сб с 9:00 до 21:00, вс с 10:00 до 19:00
-
- МРТ Siemens MAGNETOM Symphony, 1.5 Тл, полуоткрытый
Цены:
-
ул. 2-я Владимирская, д. 2
-
Перово, Шоссе Энтузиастов, Соколиная Гора
-
пн-вс с 8:00 до 22:00
-
- МРТ Siemens Magnetom Symphony, 1.5 Тл, полуоткрытый
Цены:
-
ул. Люсиновская, д. 53, корп. 2
-
Шаболовская, Серпуховская, Тульская
-
- КТ General Electric VCT, 64 срезов
- МРТ Siemens Avanto TIM, 1.5 Тл, полуоткрытый
Цены:
-
ул. Садовническая, д. 11, стр. 10 А
-
Новокузнецкая, Третьяковская, Китай-город
-
пн-вс с 7:00 до 23:00
-
- МРТ Philips Intera, 2011 года, 1.5 Тл, закрытый
Цены:
-
Переведеновский переулок, д. 8
-
Бауманская, Красносельская, Электрозаводская
-
пн-вс с 8:00 до 22:00
-
- МРТ Siemens MAGNETOM Aera, 1.5 Тл, полуоткрытый
Цены:
-
ул. Нагатинская, д. 1, стр. 25
-
Нагатинская, Верхние Котлы, Нагорная
-
пн-вс с 7:00 до 01:00
-
- МРТ General Electric Signa HD, 2012 года, 1.5 Тл, закрытый
Цены:
-
ул. Привольная, д. 70, корп. 1
-
Котельники, Жулебино
-
пн-сб с 9:00 до 21:00, вс с 9:00 до 20:00
-
- МРТ AILAB MagFinderII, 0.32 Тл, открытый
Цены:
-
ул. Волочаевская д. 15, стр. 1
-
Площадь Ильича, Римская, Москва Товарная
-
пн-вс с 8:00 до 21:00
-
- МРТ Philips Ingenia, 1.5 Тл, полуоткрытый
- КТ Philips Ingenuity Elite, 128 срезов
Цены:
-
Волгоградский пр-т, д. 45
-
Текстильщики, Новохохловская, Угрешская
-
пн-вс с 9:00 до 21:00
-
- МРТ Philips Intera, 1.5 Тл, закрытый
- КТ Philips Brillians, 64 срезов
Цены:
-
ул. Автозаводская, д. 23, корп. 9
-
ЗИЛ, Автозаводская, Тульская
-
пн-вс с 8:00 до 22:00
-
- МРТ Philips Intera, 2013 года, 1.5 Тл, полуоткрытый
- КТ General Electric LIGHT SPEED, 64 срезов
Цены:
-
ул. Летчика Бабушкина, д. 48 Б
-
Бабушкинская, Медведково
-
пн-вс круглосуточно
-
- МРТ Siemens Magnetom Essenza, 2014 года, 1.5 Тл, закрытый
- КТ Siemens Perspective, 2014 года, 128 срезов
Цены:
-
ул. Профсоюзная, д. 114
-
Беляево, Коньково, Калужская
-
пн-вс круглосуточно
-
- МРТ General Electric , 3.0 Тл, закрытый
- КТ Siemens Somatom Emotion, 6 срезов
Цены:
-
Ленинский пр-т, д. 146
-
Юго-Западная, Тропарево, Проспект Вернадского
-
пн-вс круглосуточно
-
- МРТ Siemens Magnetom Symphony , 2012 года, 1.5 Тл, закрытый
- КТ Siemens SOMATOM Emotion, 6 срезов
Цены:
-
площадь Собина, д. 1
-
Долгопрудная, Новодачная, Водники
-
пн-пт с 8:00 до 22:00, сб-вс с 10:00 до 18:00
-
- МРТ Siemens Magnetom, 1.0 Тл, полуоткрытый
Цены:
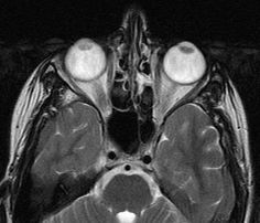
МРТ глаза, орбит и зрительных нервов
Технологии магнитно-резонансной томографии позволяют продвигать медицину вперёд. Данный метод за последние годы становится всё более популярным, а оборудование активно закупается различными клиниками. Врачи получают в руки мощный инструмент, позволяющий обнаруживать серьёзные проблемы в состоянии здоровья. Томография орбиты глаза используется для исследования и лечения отклонений зрения.
МР томография позволяет увидеть изменения в:
- мышцах глаза;
- глазном яблоке;
- жировой клетчатке;
- зрительных нервах;
- слезных протоках;
- ретробульбарном пространстве.
Метод основан на способности ядер водорода реагировать на воздействие радиомагнитной волны извне. Активность регистрируется компьютером, что позволяет моделировать трёхмерное изображение исследуемого органа. МР томография полностью безопасна и проходит безболезненно, но при этом специалисты получают достаточно информации для планирования дальнейшего лечения.
МРТ назначается, если невозможно определить этимологию глазной и головной боли традиционно используемыми методами, если ухудшается зрение, есть подозрение на новообразования, наличие тромбов в постинсультный период. Магнитную томографию назначают в случае проникновения в глазные ткани инородных частиц, перед и после операции, при высоком глазном давлении и многих других проблемах.
С технической стороны, МР томография глаза – сложный процесс, но для обследуемого процедура не представляет сложности, длится не более получаса и не вредит здоровью. В туннель томографа помещается только голова. Если применяется контраст, продолжительность процедуры увеличивается на 20-30 минут. Заключение выдается спустя полчаса или час после обследования.
Показания к назначению МРТ орбит и зрительных нервов
Видеть чёткое изображение исследуемого органа необходимо для точного определения состояния глазного яблока и зрительных нервов. Это позволит выявить любые отклонения, назначить лечение и выбрать наиболее эффективный способ устранения недуга.
Глаз представляет собой чувствительный и сложный орган, поэтому его лечение обычно связано с многочисленными трудностями. Магнитно-резонансная томография позволяет получить чёткое изображение, что необходимо для дальнейшего лечения. Офтальмологи и другие специалисты активно применяют этот метод исследования, особенно в достаточно тяжёлых случаях.
Что показывает МРТ органов зрения?
Конкретный вид диагностики выбирается в зависимости от того, какую именно информацию требуется получить. МРТ в данном случае представляется достаточно универсальным способом решения поставленной задачи. Главное достоинство метода заключается в том, что в ходе сканирования удаётся получить проекцию исследуемого органа в различных плоскостях. На трёхмерном изображении в натуральную величину уже намного легче выявить имеющуюся патологию.
В области глазницы располагается множество разных структур – нервы, сосуды, мышцы и многое другое. На сегодняшний день только с помощью МРТ можно достаточно точно определить их целостность, а также выявить те или иные изменения. С помощью этого метода томографии выявляются различные отклонения:
- воспалительные процессы, доброкачественные и злокачественные опухоли;
- повреждения зрительных нервов;
- травмы и нарушения однородности структур.
Зрительный нерв представляет собой сложнейшее образование из миллионов чувствительных волокон. Благодаря этому человек может получать визуальную информацию, что играет важнейшую роль в жизнедеятельности. Если имеются какие-то даже незначительные повреждения, то в итоге они могут привести к серьёзному ухудшению или даже потере зрения.
Процедура сканирования органов зрения с помощью МРТ
Сама по себе магнитно-резонансная томография достаточно безопасна. Есть только общие рекомендации и требования:
- отсутствие металлических предметов;
- клаустрофобия, неконтролируемые движения тела;
- высокое внутриглазное давление.
Сложности при проведении МРТ возникают только с крупными людьми, чей вес превышает 120 кг. Также нередко возникают проблемы с маленькими детьми, так как им сложно лежать внутри аппарата на протяжении 30 минут неподвижно.
В некоторых случаях для повышения чёткости вводится контраст. Предварительно важно выяснить, нет ли аллергии на данный препарат, чтобы человек не испытывал дискомфорт, тошноту, головокружение и другие неприятные симптомы. При ведении контрастирующего вещества сама процедура становится более сложной, а её длительность может увеличиваться до 1 часа.
Как только процедура исследования орбит и зрительных нервов завершается, диагностирующий врач сразу готовит снимки и пишет соответствующую расшифровку. Это позволяет в дальнейшем лечащему врачу-офтальмологу или неврологу – ставить более точный диагноз. Обычно процедура подготовки документов может занимать ещё около часа, поэтому пациенту стоит остаться в поликлинике или отойти на время, если позволяет здоровье.
Пациентам с внедренными в тело металлическими имплантами и электронными приборами (кардиостимуляторами, усилителями слуха и др.) процедура не назначается. Исследование с контрастом не рекомендовано беременным, кормящим мамам и пациентам с почечными заболеваниями.
Цена МРТ глазных орбит с контрастирующим веществом выше, но компенсируется результативностью обследования.
Городская Служба записи на МРТ и КТ
Консультация по общим вопросам диагностики
Запись по всем районам города
Услуги Службы записи бесплатны для пациента