Что такое ангиография, возможности современных томографов в исследовании сосудов
Мультиспиральная и магнитно-резонансная ангиография
Многосрезовая (МСКТ), спиральная (СКТ-ангиография) и МР-ангиография являются разновидностями цифровой ангиографии. Они отличаются высокой информативностью, сочетающейся с неинвазивностью и возможностью дальнейшей обработки информации, что является несомненным преимуществом перед традиционной ангиографией.
Ангиография на компьютерных томографах всегда проводится с контрастными веществами, содержащими йод. Магнитно-резонансное сканирование сосудов возможно без дополнительного контрастирования благодаря естественному контрасту от движущейся крови. Его применение оправдано при сканировании на низкопольных аппаратах, при подозрениях на онкопроцесс и для определения метастазов, а также в случаях, когда при бесконтрастной МРТ не удалось визуализировать патологический участок, но наличие косвенных клинических признаков заставляют его заподозрить.
Магнитно-резонансная ангиография головного мозга - что это?![Ангиография]()
МРТ головного мозга в режиме ангиографии позволяет изучить патологию интра- и экстракраниального сосудистого русла (чаще применяется при наличии противопоказаний к МСКТ), исследовать патологическое кровоснабжение тканей мозга, которое всегда встречается при развитии опухолей.
МР-ангиография сосудов головного мозга и шеи проводится главным образом:
- при наличии или подозрении на злокачественный/доброкачественный процесс в мозге;
- для выявления свежих очагов рассеянного склероза;
- для оценки дегенеративных процессов мозга, сосудистых мальформаций и аномалий развития мозга (врожденных и приобретенных);
- при кровоизлиянии в мозг при прошествии минимум трех суток;
- стенозы, тромбозы, аневризмы сосудов шеи.
Основная причина многообразия показаний для МР-ангиографии сосудов головы - это невозможность проведения биопсии обнаруженного очага в мозге до хирургического вмешательства. В таких ситуациях Gd-содержащий препарат позволяет улучшить визуализацию в 75 % случаев, уточнить диагноз- в 71% случаев, изменить его- в 28%, что чрезвычайно важно для выбора лечения и прогнозирования исхода.
Что значит КТ ангиография БЦА?
Под компьютерно-томографической ангиографией брахиоцефальных артерий подразумевается многосрезовое сканирование артерий головы и шеи с применением йодсодержащего контраста.
Показания к ангиографии сосудов головного мозга с контрастом:
- ишемия мозга, в т.ч. ишемический инсульт- с первых минут проявления симптоматики;
- выявление атеросклеротических бляшек и тромбов;
- черепно-мозговые травмы;
- исследование аномалий сосудов, аневризм, мальформаций;
- воспаление внутренней стенки сосудов;
- подготовка к оперативным вмешательствам.
МСКТ сонной артерии и других сосудов шеи проводят в комплексе с ангиографией головы и назначают для определения сужений, тромбоза или атеросклеротического поражения при головных болях неясной этиологии, постоянной усталости, головокружения, приходящих нарушениях зрения и слуха.
Ангиография сердца
МСКТ коронарография сосудов сердца проводится главным образом для избежания проведения традиционной ангиографии, которая является инвазивной, а, следовательно, несущей риск осложнений процедурой. КТ-ангиография предпочтительнее МРТ в случаях ИБС (включая инфаркт), атеросклеротическом стенозе сосудов и их тромбозе, приобретенных пороках, миокардите и эндокардите. МСКТ аорты с контрастированием позволяет выявить её диссекцию на любом протяжении, аневризматическое расширение. МСКТ коронарных артерий предпочтительнее проводить на минимум 32 срезовом, а лучше- на 64 срезовом сканере.
МР-метод ангиографии сердца применяется главным образом для получения полной информации о врожденных пороках, кардиомиопатиях, новообразованиях сердца, патологиях средостения.
Контрастные вещества для ангиографии
Компьютерную томографию сосудов всегда проводят с применением контраста. Возможности МРТ позволяют исследовать сосуды как с применением контраста, так и проводить ангиографию без контраста (в зависимости от целей обследования и возможностей аппарата).
Для КТ с болюсным усилением используются йодсодержащие контрастные вещества. Они делятся на ионные и неионные. Те в свою очередь делятся на низко- и высокоосмолярные.
При применении ионных препаратов изменяется состав крови в результате распада контраста на ионы, что может вызвать осложнения со стороны сердечно-сосудистой системы (например, фибрилляцию предсердий).
Высокоосмолярные контрасты хуже низкоосмолярных, так как их осмотичность в 5 раз выше таковой у крови. Это обуславливает возникновение у некоторых пациентов нефропатии, гипотонии, увеличения проницаемости сосудов с возникновением кровотечений, тошноты.
Поэтому идеальными для применения являются неионные низкоосмолярные (либо изоосмолярные) контрастные вещества (например, Ультравист).
При МРТ применяются контрасты с хелатным раствором гадолиния (Gd). Гадолиний выбрали из-за того, что его атом имеет целых 7 непарных электронов, которые достаточно сильно ускоряют спин-решетчатую релаксацию в тканях-мишенях, тем самым усиливая магнитный сигнал при сканировании. Наиболее часто применяются Гадовист, Магневист, Омнискан. Следует отметить, что применение гадолиний-содержащего препарата существенно увеличивает стоимость сканирования.
Исследование брюшной полости
Ввиду наибольшей доступности, быстроты исследования и разрешения, достаточного для выявления большинства патологий, для сканирования брюшной полости и забрюшинного пространства используется компьютерная ангиография на мультиспиральном томографе. Этот метод позволяет:
- выявить причину мезентериальной ишемии;
- успешно определяют патологии печеночных сосудов (например,тромбоз воротной вены);
- КТ ангиография почек показывает аномалии развития и варианты ответвления почечных артерий, их стенозы и окклюзии (например, опухолевые);
- выявляет расширение или окклюзию тромбом полой вены;
- оценить состояние брюшной аорты (расслоение, коарктация, аневризма).
МР-ангиография брюшной полости применяется главным образом для определения распространенности ракового поражения и выявления мелких метастазов.
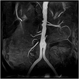
Что показывает МСКТ ангиография артерий нижних конечностей
Исследование артерий ног позволяет изучить степень окклюзии вследствие тромбоза и атеросклеротического поражения, выявить воспаление внутренних стенок артерий (артерииты).
Мультиспиральная КТ ангиография вен также входит в протокол исследования сосудов нижних конечностей. Она позволяет определить степень тромбоза глубоких вен и выявить индекс тромбогенности для расчета вероятности возникновения тромбоэмболии легочной артерии.
Также сосуды нижних конечностей исследуют при диабетической ангиопатии и варикозном поражении вен, в том числе для определения показаний к хирургическому вмешательству.
Противопоказания к применению контрастных веществ
Противопоказаний для применения контраста в МРТ не существует.
Противопоказания к введению йодсодержащих контрастов:
- тяжелая аллергическая реакция на содержащий йод контраст в анамнезе;
- некомпенсированный гипертиреоз;
- высокая лихорадка (из-за обезвоженности организма);
- активная стадия туберкулеза;
- почечная недостаточность;
- некомпенсированная сердечно-сосудистая недостаточность, включая гипертензию;
- при склонности к аллергиям- вводят только неионные низкоосмолярные вещества, предварительно проводя премедикацию с антигистаминными или глюкокортикостероидными препаратами.
Помимо противопоказаний к применению контрастов, существуют противопоказания к КТ и МРТ в целом.
Противопоказания к КТ:
- беременность на любом сроке;
- не рекомендуется детям до 14 лет.
Противопоказания к МРТ:
- наличие металлов в теле (кардиостимуляторы, стенты, сосудистые клипсы и др.);
- эпилепсия;
- истинная клаустрофобия;
- очень большой вес пациента.
Где недорого сделать КТ сосудов в Москве
Мы регулярно обзваниваем диагностические центры в Москве и обновляем нашу таблицу минимальных цен.
Записаться по минимальный ценам можно через городскую Справочную, позвонив по
телефону:
8 (495) 125-08-64
(каждый день с 7 до 23)
-
ул. Маросейка, д. 2/15, стр. 1
-
Китай-город, Лубянка, Площадь Революции
-
пн-вс с 8:00 до 22:00
-
- КТ Philips Brilliance CT, 16 срезов
- МРТ Philips Achieva, 1.5 Тл, полуоткрытый
Цены:
-
ул. Щепкина, д. 35
-
Проспект Мира, Достоевская, Сухаревская
-
пн-вс круглосуточно
-
- МРТ Siemens MAGNETOM Aera, 2012 года, 1.5 Тл, полуоткрытый
- КТ PHILIPS Brilliance iCT, 2012 года, 256 срезов
- ПЭТ-КТ Philips Gemini TF 64
- МРТ Siemens MAGNETOM Lumina, 3 Тл, полуоткрытый
Цены:
-
ул. Летчика Бабушкина, д. 48 Б
-
Бабушкинская, Медведково
-
пн-вс круглосуточно
-
- МРТ Siemens Magnetom Essenza, 2014 года, 1.5 Тл, закрытый
- КТ Siemens Perspective, 2014 года, 128 срезов
Цены:
-
Ленинский пр-т, д. 146
-
Юго-Западная, Тропарево, Проспект Вернадского
-
пн-вс круглосуточно
-
- МРТ Siemens Magnetom Symphony , 2012 года, 1.5 Тл, закрытый
- КТ Siemens SOMATOM Emotion, 6 срезов
Цены:
-
Большой Власьевский переулок, д. 9
-
Смоленская, Кропоткинская, Арбатская
-
пн-вс круглосуточно
-
- МРТ Siemens Magnetom C, 2011 года, 0.35 Тл, открытый
- КТ Siemens Somatom Emotion, 2011 года, 16 срезов
Цены:
-
Ленинградское шоссе, д. 47 А
-
Водный стадион, Речной вокзал, Сходненская
-
пн-вс с 8:00 до 21:00
-
- МРТ Siemens Magnetom Essenza, 2015 года, 1.5 Тл, полуоткрытый
- КТ Siemens Somatom Perspective, 2015 года, 64 срезов
Цены:
-
ул. Орджоникидзе, д. 11, стр. 10
-
Площадь Гагарина, Ленинский проспект, Тульская
-
пн-вс с 9:00 до 23:00
-
- МРТ General Electric Brivo MR 355, 1.5 Тл, полуоткрытый
- КТ General Electric BrightSpeed, 16 срезов
Цены:
-
ул. Обручева, д. 21 А
-
Калужская, Беляево, Новые Черемушки
-
пн-вс с 8:00 до 21:00
-
- МРТ Siemens Magnetom AERA, 1.5 Тл, полуоткрытый
- КТ Siemens Somatom Perspective, 64 срезов
Цены:
-
ул. Льва Толстого, д. 10, стр. 1
-
Парк культуры, Фрунзенская, Октябрьская
-
пн-сб с 8:00 до 24:00, вс с 8:00 до 21:00
-
- МРТ Philips Achieva, 1.5 Тл, закрытый
- КТ Philips Brilliance, 64 срезов
Цены:
-
3-е Почтовое отделение, д. 102
-
Жулебино, Котельники, Лермонтовский проспект
-
пн-вс круглосуточно
-
- КТ Siemens Somatom Scope, 32 срезов
Цены:
-
ул. Люсиновская, д. 53, корп. 2
-
Шаболовская, Серпуховская, Тульская
-
пн-вс с 9:00 до 21:00
-
- КТ General Electric VCT, 64 срезов
- МРТ Siemens Avanto TIM, 1.5 Тл, полуоткрытый
Цены:
-
Орловский переулок, д. 7
-
Проспект Мира, Достоевская, Рижская
-
пн-вс круглосуточно
-
- МРТ Siemens Magnetom Aera, 1.5 Тл, полуоткрытый
- КТ Toshiba Aquilion, 2010 года, 64 срезов
Цены:
-
Подсосенский переулок, д. 17
-
Чкаловская, Курская, Китай-город
-
пн-пт с 9:00 до 21:00, сб-вс с 10:00 до 18:00
-
- МРТ Philips Achieva Intera, 1.5 Тл, полуоткрытый
- КТ Toshiba Aquilion CXL, 128 срезов
Цены:
-
ул. Волочаевская д. 15, стр. 1
-
Площадь Ильича, Римская, Москва Товарная
-
пн-вс с 8:00 до 21:00
-
- МРТ Philips Ingenia, 1.5 Тл, полуоткрытый
- КТ Philips Ingenuity Elite, 128 срезов
Цены:
-
Куркинское шоссе, д. 30
-
-
пн-вс с 8:00 до 22:00
-
- МРТ Philips Achieva, 2012 года, 1.5 Тл, закрытый
- КТ Toshiba Aquilion, 64 срезов
Цены:
-
ул. Маршала Катукова, д. 10
-
Строгино, Мякинино, Спартак
-
пн-вс с 8:00 до 22:00
-
- КТ Toshiba Aquilion, 128 срезов
- МРТ Siemens Simpony, 2015 года, 1,5 Тл, полуоткрытый
Цены:
-
ул. Краснопролетарская, д. 16
-
Новослободская, Достоевская, Менделеевская
-
пн-вс с 8:00 до 21:00
-
- МРТ General Electric Optima MR360 Advance, 2013 года, 1.5 Тл, полуоткрытый
- КТ General Electric Optima CT660, 2013 года, 64 срезов, закрытый
Цены:
-
ул. Малая Пироговская, д. 13, стр. 1
-
Фрунзенская, Спортивная, Лужники
-
пн-вс с 9:00 до 21:00
-
- МРТ General Electric Optima MR360 Advance, 1.5 Тл, полуоткрытый
- КТ General Electric Optima CT660, 64 срезов
Цены:
-
Химки, ул. Совхозная, д. 4, стр. 1
-
Ховрино
-
круглосуточно
-
- КТ Siemens Healthineers SOMATOM, 64 срезов
- МРТ Siemens , 1.5 Тл, закрытый
Цены:
-
ул. Автозаводская, д. 23, корп. 9
-
ЗИЛ, Автозаводская, Тульская
-
пн-вс с 8:00 до 22:00
-
- МРТ Philips Intera, 2013 года, 1.5 Тл, полуоткрытый
- КТ General Electric LIGHT SPEED, 64 срезов
Цены:
Содержание
12. Клиники на карте
Городская Служба записи на МРТ и КТ
Консультация по общим вопросам диагностики
Запись по всем районам города
Услуги Службы записи бесплатны для пациента

