КТ сосудов головного мозга — цены недорого, где лучше сделать в Москве, что показывает
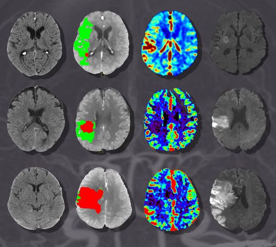
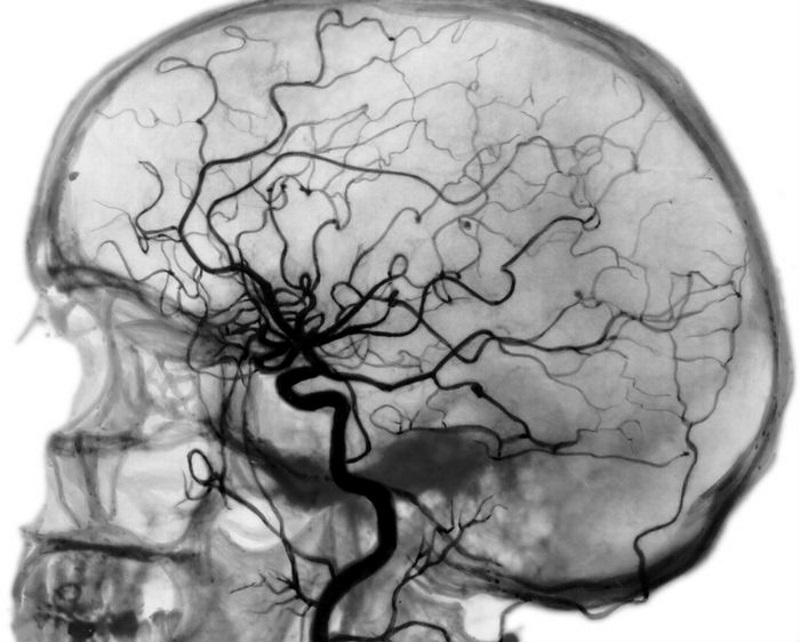
В настоящее время цереброваскулярные поражения, такие как атеросклероз, тромбозные окклюзии и стенозы являются одними из основных жизнеугрожающих состояний. Наиболее частым последствием стеноза артерий головного мозга является ишемический инсульт с последующим инфарктом мозговой ткани. Компьютерная томография в диагностике данной патологии получила наибольшее распространение среди остальных средств нейровизуализации. Однако обычная КТ не позволяла оценить перфузию ткани мозга и определить причину инфаркта. Поэтому её стали проводить с внутривенным введением контрастного вещества и метод стал называться КТ-ангиографией. Доступность исследования позволяет полностью отказаться от традиционной рентгеновской ангиографии и имеет ряд преимуществ перед МР-ангиографией.
Где недорого сделать КТ сосудов головного мозга в Москве
Мы регулярно обзваниваем диагностические центры в Москве и обновляем нашу таблицу минимальных цен.
Записаться по минимальный ценам можно через городскую Справочную, позвонив по
телефону:
8 (499) 110-68-43
(каждый день с 7 до 23)
Показания к КТ сосудов головного мозга и шеи
- при ишемии сосудов (в т.ч. диабетической природы);
- при ишемическом инсульте и других нарушениях мозгового кровообращения- выявление степени окклюзии интрацеребральных сосудов, оценка коллатеральных путей кровотока, контроль тромболизисной терапии;
- аномалии развития и положения сосудов;
- закупорка сосудов тромбом или атеросклеротической бляшкой;
- головные боли неясной этиологии, головокружения, снижение зрения или слуха;
- оценка тяжести черепно-мозговых травм;
- мальформации сосудов, аневризматическая патология;
- обнаружение первичных новообразований;
- артерииты;
- исследование синусов твердой мозговой оболочки при менингиомах;
- определение объема хирургического вмешательства и контроль постоперационной динамики.
КТ сосудов головного мозга показывает как просвет, так и стенки сосудов, что даёт возможность оценить стабильность атеросклеротической бляшки. Также в её возможности входит оценка васкуляризации опухоли, выявление её взаимоотношения с артериальными, венозными стволами и ликворной системой, изучение аневризматического мешка при субарахноидальном кровоизлиянии, положения стента после эндоваскулярного лечения, его проходимость и состояние интимы сосуда над ним.
-
ул. Маросейка, д. 2/15, стр. 1
-
Китай-город, Лубянка, Площадь Революции
-
пн-вс с 8:00 до 22:00
-
- КТ Philips Brilliance CT, 16 срезов
- МРТ Philips Achieva, 1.5 Тл, полуоткрытый
Цены:
-
Подсосенский переулок, д. 17
-
Чкаловская, Курская, Китай-город
-
пн-пт с 9:00 до 21:00, сб-вс с 10:00 до 18:00
-
- МРТ Philips Achieva Intera, 1.5 Тл, полуоткрытый
- КТ Toshiba Aquilion CXL, 128 срезов
Цены:
-
Химки, ул. Совхозная, д. 4, стр. 1
-
Ховрино
-
круглосуточно
-
- КТ Siemens Healthineers SOMATOM, 64 срезов
- МРТ Siemens , 1.5 Тл, закрытый
Цены:
-
3-е Почтовое отделение, д. 102
-
Жулебино, Котельники, Лермонтовский проспект
-
пн-вс круглосуточно
-
- КТ Siemens Somatom Scope, 32 срезов
Цены:
-
ул. Люсиновская, д. 53, корп. 2
-
Шаболовская, Серпуховская, Тульская
-
пн-вс с 9:00 до 21:00
-
- КТ General Electric VCT, 64 срезов
- МРТ Siemens Avanto TIM, 1.5 Тл, полуоткрытый
Цены:
-
ул. Волочаевская д. 15, стр. 1
-
Площадь Ильича, Римская, Москва Товарная
-
пн-вс с 8:00 до 21:00
-
- МРТ Philips Ingenia, 1.5 Тл, полуоткрытый
- КТ Philips Ingenuity Elite, 128 срезов
Цены:
-
ул. Летчика Бабушкина, д. 48 Б
-
Бабушкинская, Медведково
-
пн-вс круглосуточно
-
- МРТ Siemens Magnetom Essenza, 2014 года, 1.5 Тл, закрытый
- КТ Siemens Perspective, 2014 года, 128 срезов
Цены:
-
Ленинский пр-т, д. 146
-
Юго-Западная, Тропарево, Проспект Вернадского
-
пн-вс круглосуточно
-
- МРТ Siemens Magnetom Symphony , 2012 года, 1.5 Тл, закрытый
- КТ Siemens SOMATOM Emotion, 6 срезов
Цены:
-
Большой Власьевский переулок, д. 9
-
Смоленская, Кропоткинская, Арбатская
-
пн-вс круглосуточно
-
- МРТ Siemens Magnetom C, 2011 года, 0.35 Тл, открытый
- КТ Siemens Somatom Emotion, 2011 года, 16 срезов
Цены:
-
Волоколамское шоссе, д. 142
-
Волоколамская, Пенягино, Мякинино
-
пн-вс с 8:00 до 22:00
-
- МРТ Siemens Simphony, 1.5 Тл, закрытый
- КТ Toshiba Aquilion CX, 128 срезов
Цены:
-
ул. Центральная, д. 34 А
-
-
пн-вс с 8:00 до 21:00
-
- МРТ Siemens Magnetom Aera, 2015 года, 1.5 Тл, полуоткрытый
- КТ Siemens Somatom Perspective, 128 срезов
Цены:
-
Ленинградское шоссе, д. 47 А
-
Водный стадион, Речной вокзал, Сходненская
-
пн-вс с 8:00 до 21:00
-
- МРТ Siemens Magnetom Essenza, 2015 года, 1.5 Тл, полуоткрытый
- КТ Siemens Somatom Perspective, 2015 года, 64 срезов
Цены:
-
ул. Кирова, д. 36, корп. 2
-
Жулебино, Котельники, Лермонтовский проспект
-
пн-сб с 9:00 до 21:00, вс с 9:00 до 20:00
-
- КТ Toshiba Aquilion CXL, 64 срезов
Цены:
-
Куркинское шоссе, д. 30
-
-
пн-вс с 8:00 до 22:00
-
- МРТ Philips Achieva, 2012 года, 1.5 Тл, закрытый
- КТ Toshiba Aquilion, 64 срезов
Цены:
-
ул. Маршала Катукова, д. 10
-
Строгино, Мякинино, Спартак
-
пн-вс с 8:00 до 22:00
-
- КТ Toshiba Aquilion, 128 срезов
- МРТ Siemens Simpony, 2015 года, 1,5 Тл, полуоткрытый
Цены:
-
ул. Краснопролетарская, д. 16
-
Новослободская, Достоевская, Менделеевская
-
пн-вс с 8:00 до 21:00
-
- МРТ General Electric Optima MR360 Advance, 2013 года, 1.5 Тл, полуоткрытый
- КТ General Electric Optima CT660, 2013 года, 64 срезов, закрытый
Цены:
-
ул. Малая Пироговская, д. 13, стр. 1
-
Фрунзенская, Спортивная, Лужники
-
пн-вс с 9:00 до 21:00
-
- МРТ General Electric Optima MR360 Advance, 1.5 Тл, полуоткрытый
- КТ General Electric Optima CT660, 64 срезов
Цены:
-
ул. Неверовского, д. 10
-
Парк Победы, Фили, Багратионовская
-
пн-вс с 8:00 до 22:00
-
- МРТ Philips Achiva, 1.5 Тл, закрытый
- КТ Philips Brilliance CT, 64 срезов
Цены:
-
ул. Орджоникидзе, д. 11, стр. 10
-
Площадь Гагарина, Ленинский проспект, Тульская
-
пн-вс с 9:00 до 23:00
-
- МРТ General Electric Brivo MR 355, 1.5 Тл, полуоткрытый
- КТ General Electric BrightSpeed, 16 срезов
Цены:
-
ул. Льва Толстого, д. 10, стр. 1
-
Парк культуры, Фрунзенская, Октябрьская
-
пн-сб с 8:00 до 24:00, вс с 8:00 до 21:00
-
- МРТ Philips Achieva, 1.5 Тл, закрытый
- КТ Philips Brilliance, 64 срезов
Цены:
Содержание
Преимущества КТ-ангиографии сосудов головного мозга
- доступность (в сравнении с МРТ);
- высокая разрешающая способность;
- возможность исследования тонких срезов в любой проекции (при МСКТ);
- изучение интересующей области в трехмерном виде;
- визуализация не только просвета сосуда, но и его стенки;
- меньшая лучевая нагрузка в сравнении с классической рентгеновской ангиографией.
В отличии от МР-ангиографии, во время которой обнаруженная атеросклеротическая бляшка проявляется потерей МР-сигнала, а, следовательно, невозможно исследовать состояние васкулярной стенки, по данным КТ-ангиографии можно выявить минимальный размер просвета стенозированного сосуда и даже характер бляшки- фиброзный, кальцинированный или же смешанный.
Также, в отличие от МР-ангиографии КТ-ангиография позволяет сканировать металлические стенты и не дает артефактов от измененного (например, турбулентного) кровотока, где на МР-ангиограммах сигнал практически отсутствует.
В последнее время КТ ангиографию отождествляют с мультиспиральной компьютерно-томографической ангиографией (МСКТ ангиография). Это название обследование получило благодаря аппарату, с помощью которого проводится процедура. Он делает снимки очень быстро и сразу в нескольких срезах, с минимальной лучевой нагрузкой на организм человека. Это исследование противопоказано только беременным женщинам.
Болюсное контрастное усиление во время проведения процедуры делает диагностику более информативной. КТ с контрастированием позволяет выявить онкологические изменения даже самых мелких сосудов головного мозга. Правда, КТ с контрастом не получится провести людям с сахарным диабетом, заболеваниями почек или печени, а также, если у пациента есть аллергия на контрастное вещество.
Противопоказания к КТ-ангиографии
- беременность на любом сроке гестации;
- тяжелая почечная или печеночная недостаточность;
- бронхиальная астма или другая аллергическая патология в тяжелой форме;
- тяжелая патологическая реакция на вводимый йодный контраст в анамнезе;
- гипертиреодное состояние.
Как проводится КТ-сосудов головного мозга с контрастом?
Подготовка
Пациентам с патологической реакцией на йодсодержащий контраст в анамнезе предварительно проводят премедикацию, гидратационную терапию, и используют только низкоосмолярные контрастные вещества. Процедура проводится натощак, есть не следует позже, чем за 4 часа до исследования.
Процедура проводится в несколько этапов:
- устанавливается периферический венозный катетер, через который с помощью инжектора вводится 100-120 мл раствора с контрастом;
- выполняется сканирование, в зависимости от объема исследования процедура длится 10-20 минут. При стандартном обследовании ткани сканируются от второго шейного позвонка (либо от дуги аорты при оценке сосудов шеи) до верхней части головного мозга;
- проводится реконструкция полученных изображений в проекции максимальной интенсивности (MIP) в трех плоскостях для исследования сосудов, в проекции мультипланарной реконструкции (MPR) для обнаружения атеросклеротических бляшек и участков вазоспазма, также проводится 3D-реконструкция сосудов Виллизиевого круга.
Показания к проведению обследования
Рекомендуем обратиться к врачу, если вы стали замечать у себя:
- частые головокружения и сильные головные боли;
- потери памяти;
- ухудшение зрения;
- невнятную речь;
- нарушение координации и потерю равновесия.
При наличии этих симптомов врач должен направить вас на обследование сосудов мозга.
КТ ангриография показана в случае:
- геморрагического инсульта;
- менингита или энцефалита;
- атерослероза и сужения артерий головного мозга;
- аневризмы;
- черепно-мозговых травм;
- мозговых кровотечений вследствие травм головы;
- онкологических заболеваний мозга.
Городская Служба записи на МРТ и КТ
Консультация по общим вопросам диагностики
Запись по всем районам города
Услуги Службы записи бесплатны для пациента
Как можно записаться на КТ ангиографию
На сегодняшний день в Москве много клиник проводят данное обследование. Не всегда есть время ездить по городу искать то или иное медицинское учреждение для того чтобы записаться на процедуру. Благодаря нашему сайту вы можете не выходя из дома выбрать подходящую для вас клинику, узнать ее адрес и цену КТ сосудов головного мозга с контрастом или без него. А для записи достаточно будет позвонить по телефону, который вы так же сможете найти на сайте.
КТ ангиография позволяет комплексно обследовать артерии и вены головного мозга с использованием рентгеновских лучей. Благодаря этому методу диагностики стало реально определить заболевания кровеносных сосудов, а так же проверить их функциональность и морфологию.
На сегодняшний день все диагностические центры используют современные томографы, которые дают возможность сделать пошаговые снимки-срезы артерий и вен, а так же отобразить их трехмерную модель.