МРТ головного мозга – цены недорого, где лучше сделать в Москве, что показывает
В черепной коробке человека находится главный орган центральной нервной системы. Он обеспечивает обработку информации, которую человек получает через органы чувств. Благодаря ему мы можем контролировать свои движения, говорить, воспринимать и запоминать нужную информацию и мыслить.
Но вследствие тех или иных заболеваний мозга нарушается его работа и функциональность всех органов и систем человеческого организма.
Где недорого сделать МРТ головного мозга в Москве
Мы регулярно обзваниваем диагностические центры в Москве и обновляем нашу таблицу минимальных цен.
Записаться по минимальный ценам можно через городскую Справочную, позвонив по
телефону:
8 (499) 110-68-43
(каждый день с 7 до 23)
Показания к МРТ головного мозга
МРТ мозга проводится строго по назначению лечащего доктора при такой симптоматике со стороны пациента:
- частые головные боли, головокружения;
- безсимптомное резкое снижение памяти, зрения, слуха;
- периодически повторяющиеся обмороки, потеря сознания;
- состояние после оперативного вмешательства или травмы;
- постинсультное состояние;
- понижение или повышение артериального давления, а также повышение показателей холестерина в крови;
- подозрения на новообразования в области головы, шеи;
- пожилой, старческий возраст больного.
Получение направления на МРТ головы совсем не означает, что у пациента имеется опасное заболевание, а ранняя диагностика - это путь к успешному выздоровлению.
-
ул. Маросейка, д. 2/15, стр. 1
-
Китай-город, Лубянка, Площадь Революции
-
пн-вс с 8:00 до 22:00
-
- КТ Philips Brilliance CT, 16 срезов
- МРТ Philips Achieva, 1.5 Тл, полуоткрытый
Цены:
-
Спартаковский переулок, д. 2, стр. 11
-
Красносельская, Бауманская, Комсомольская
-
пн-пт с 8:00 до 21:00, сб-вс с 9:00 до 21:00
-
- КТ Siemens SOMATOM go.Up, 32 срезов
- МРТ SIEMENS MAGNETOM ALTEA, 1.5 Тл, полуоткрытый
Цены:
-
Подсосенский переулок, д. 17
-
Чкаловская, Курская, Китай-город
-
пн-пт с 9:00 до 21:00, сб-вс с 10:00 до 18:00
-
- МРТ Philips Achieva Intera, 1.5 Тл, полуоткрытый
- КТ Toshiba Aquilion CXL, 128 срезов
Цены:
-
Химки, ул. Совхозная, д. 4, стр. 1
-
Ховрино
-
круглосуточно
-
- КТ Siemens Healthineers SOMATOM, 64 срезов
- МРТ Siemens , 1.5 Тл, закрытый
Цены:
-
ул. Полковая, д.12, корп. 1
-
Савеловская, Марьина Роща, Дмитровская
-
пн-вс с 8:00 до 20:00
-
- МРТ General Electric Optima MR360, 1.5 Тл, закрытый
Цены:
-
ул. 15-ая Парковая, д. 5
-
Первомайская, Измайловская, Щелковская
-
пн-пт с 8:00 до 21:00, сб с 9:00 до 20:00, вс с 10:00 до 19:00
-
- МРТ Siemens Magnetom Impact Expert, 1.5 Тл, закрытый
Цены:
-
Борисовский проезд, д. 15, корп. 1, стр. 2
-
Шипиловская, Борисово, Домодедовская
-
пн-пт с 8:00 до 21:00, сб с 9:00 до 21:00, вс с 10:00 до 19:00
-
- МРТ Siemens MAGNETOM Symphony, 1.5 Тл, полуоткрытый
Цены:
-
ул. 2-я Владимирская, д. 2
-
Перово, Шоссе Энтузиастов, Соколиная Гора
-
пн-вс с 8:00 до 22:00
-
- МРТ Siemens Magnetom Symphony, 1.5 Тл, полуоткрытый
Цены:
-
ул. Люсиновская, д. 53, корп. 2
-
Шаболовская, Серпуховская, Тульская
-
- КТ General Electric VCT, 64 срезов
- МРТ Siemens Avanto TIM, 1.5 Тл, полуоткрытый
Цены:
-
ул. Садовническая, д. 11, стр. 10 А
-
Новокузнецкая, Третьяковская, Китай-город
-
пн-вс с 7:00 до 23:00
-
- МРТ Philips Intera, 2011 года, 1.5 Тл, закрытый
Цены:
-
Переведеновский переулок, д. 8
-
Бауманская, Красносельская, Электрозаводская
-
пн-вс с 8:00 до 22:00
-
- МРТ Siemens MAGNETOM Aera, 1.5 Тл, полуоткрытый
Цены:
-
ул. Нагатинская, д. 1, стр. 25
-
Нагатинская, Верхние Котлы, Нагорная
-
пн-вс с 7:00 до 01:00
-
- МРТ General Electric Signa HD, 2012 года, 1.5 Тл, закрытый
Цены:
-
ул. Привольная, д. 70, корп. 1
-
Котельники, Жулебино
-
пн-сб с 9:00 до 21:00, вс с 9:00 до 20:00
-
- МРТ AILAB MagFinderII, 0.32 Тл, открытый
Цены:
-
ул. Волочаевская д. 15, стр. 1
-
Площадь Ильича, Римская, Москва Товарная
-
пн-вс с 8:00 до 21:00
-
- МРТ Philips Ingenia, 1.5 Тл, полуоткрытый
- КТ Philips Ingenuity Elite, 128 срезов
Цены:
-
Волгоградский пр-т, д. 45
-
Текстильщики, Новохохловская, Угрешская
-
пн-вс с 9:00 до 21:00
-
- МРТ Philips Intera, 1.5 Тл, закрытый
- КТ Philips Brillians, 64 срезов
Цены:
-
ул. Автозаводская, д. 23, корп. 9
-
ЗИЛ, Автозаводская, Тульская
-
пн-вс с 8:00 до 22:00
-
- МРТ Philips Intera, 2013 года, 1.5 Тл, полуоткрытый
- КТ General Electric LIGHT SPEED, 64 срезов
Цены:
-
ул. Летчика Бабушкина, д. 48 Б
-
Бабушкинская, Медведково
-
пн-вс круглосуточно
-
- МРТ Siemens Magnetom Essenza, 2014 года, 1.5 Тл, закрытый
- КТ Siemens Perspective, 2014 года, 128 срезов
Цены:
-
ул. Профсоюзная, д. 114
-
Беляево, Коньково, Калужская
-
пн-вс круглосуточно
-
- МРТ General Electric , 3.0 Тл, закрытый
- КТ Siemens Somatom Emotion, 6 срезов
Цены:
-
Ленинский пр-т, д. 146
-
Юго-Западная, Тропарево, Проспект Вернадского
-
пн-вс круглосуточно
-
- МРТ Siemens Magnetom Symphony , 2012 года, 1.5 Тл, закрытый
- КТ Siemens SOMATOM Emotion, 6 срезов
Цены:
-
площадь Собина, д. 1
-
Долгопрудная, Новодачная, Водники
-
пн-пт с 8:00 до 22:00, сб-вс с 10:00 до 18:00
-
- МРТ Siemens Magnetom, 1.0 Тл, полуоткрытый
Цены:
Содержание
25. О появлении МРТ
Какие исследования помогут выявить нарушения в работе этого органа
Обследовать этот орган можно при помощи магнитно-резонансной томографии, компьютерной (КТ) и позитронно-эмиссионной (ПЭТ). КТ диагностика проходит с использованием рентгеновских лучей. Для проведения ПЭТ в организм человека перед обследованием вводятся радиофармпрепараты, которые дают лучевую нагрузку на организм пациента. Магнитное поле, которое используется при проведении МРТ диагностики, не оказывает вредного влияния на пациента, поэтому данная процедура более безопасна, нежели КТ и ПЭТ.
Головной мозг человека – это ведущий орган в организме человека, который до настоящего времени остаётся одним из малоизученных. В современной медицине магнитно-резонансная томография черепной коробки, центральной нервной системы является наиболее достоверным методом диагностики, позволяющим выявить патологические изменения в тканях и сосудах на самых ранних стадиях заболевания.
Проведение МРТ головного мозга основано на действии внешнего постоянного магнитного поля в исследуемой области и передаваемых радиочастотных импульсах. В процессе МРТ головы головной мозг и сосуды подлежат тщательному осмотру и изучению.
Данная процедура показана в случае:
- инсульта;
- сосудистых патологий;
- черепно-мозговой травмы;
- онкологических заболеваний;
- нарушение роботы гипофизарной системы;
- для выяснения причины боли в голове.
Лучше обратится к врачу, если вы стали замечать у себя:
- частые боли в голове;
- обмороки;
- слабость или онемение конечностей;
- высокое давление;
- судороги;
- нарушение координации.
Эти симптомы могут свидетельствовать о серьезных нарушениях в роботе мозга. Грамотный врач порекомендует сделать томографию, которая позволит определить истинную причину ваших проблем со здоровьем.
Все это - достаточно серьезные показатели, которые не стоит оставлять без внимания и из-за которых потребуется качественная, всесторонняя диагностика, дабы определить, из-за чего это все происходит. Но предварительно обязательно следует посетить лечащего врача, чтобы он точно определил, необходима ли магнитно-резонансная томография или стоит избрать другие методы обследования.
Помимо тревожащих симптомов, МРТ назначают также при черепно-мозговых травмах, подозрениях на опухолевый или воспалительный процесс в мозгу или перед хирургическим вмешательством. Диагностическая ценность этого метода огромна - способность показать на фото МРТ микроинсульт или самые маленькие новообразования, пока не заметные в любом другом обследовании, воистину незаменима.
Какие участки мозга можно исследовать при помощи МР-диагностики
Очень часто магнитно-резонансную томографию назначают для обследования сосудов головного мозга. Эта процедура называется МР ангиография, она позволяет получить изображения кровеносных сосудов мозга.
Также особое внимание при проведении МРТ уделяют турецкому седлу и гипофизу.
Использование контраста во время диагностики позволяет выявить локализацию раковой опухоли и ее размеры. Стоимость МРТ головного мозга с контрастом немного выше, но она дает возможность диагностировать онкологическое заболевание на ранних стадиях.
Направление на МРТ головы
Для записи на магнитно-резонансную томографию не обязательно иметь на руках направление от своего лечащего врача - это вполне можно сделать и по своей инициативе. Однако практическая польза такого решения может оказаться под большим вопросом. К какому врачу обращаться за направлением - зависит сугубо от характера беспокоящей проблемы.
Именно доктор лучше всего определит зону обследования и нужно ли оно вообще. На МРТ головы вполне могут направить невропатолог, онколог, травматолог и другие профильные специалисты. Перед тем, как пройти обследование, лучше всего записаться на консультацию и осмотр соответствующего врача.
Нужно ли направление на МРТ головного мозга?
Как мы уже выяснили, без направления пациенту не имеют права не сделать МРТ - по своему усмотрению всегда есть возможность пройти данное обследование. Но проблема здесь заключается в том, что не всегда тот участок тела, который испытывает боль, является на самом деле проблемным - порой очаг болезни оказывается в совершенно другом месте, а сюда лишь отдает болями.
Часты случаи самостоятельного "назначения" себе магнитно-резонансной томографии мозга при головных болях - что, увы, часто не имеет смысла. Возможно, МРТ и выявит проблему - но с тем же успехом она может быть связанной с сосудами шеи (пережатый позвонком сосуд не доставляет мозгу необходимое количество кислорода) или и вовсе оказаться психосоматикой, не видимой на любом снимке. Потому сперва все же лучше посетить невролога.
Врач, который назначает обследование, весьма упрощает и всю работу врача-рентгенолога, так как сразу дает предположительный клинический диагноз и указывает область, которую необходимо обследовать на МРТ. Все это сильно упрощает процесс проведения МРТ и сводит к минимуму шанс того, что обследование окажется на самом деле ненужным.
Кто дает направление на МРТ головного мозга
Есть причина, из-за чего врач, который направляет на обследование, действительно становится очень важным условием обследования - это прохождение МРТ бесплатно по полису ОМС. Такое обследование назначает только участковый либо профильный врач, как правило, невропатолог. В случае затруднений с получением направления можно обратиться в страховую компанию либо к главврачу учреждения.
Выбор, к какому врачу идти, определяется исключительно характером заболевания - направить на МРТ может практически любой специалист. Направление обязательно должно содержать штамп поликлиники или больницы, где пациент проходил осмотр, и личную печать врача, который вел обследование.
Врачи обычно предлагают пациентам варианты хороших платных клиник - не стоит воспринимать это негативно: очереди на МРТ по медицинской страховке порой растягиваются на полгода-год. Выбирать бесплатный вариант имеет смысл только в том случае, если действительно нет никакой возможности записаться на платное обследование.
Какой врач расшифровывает МРТ головного мозга
Огромное значение имеет не только качество аппаратуры, на которой проводится обследование, и мощность томографа - не меньшую, а в чем-то и большую роль играет опыт и навыки врача лучевой диагностики. Именно он производит расшифровку полученных результатов и по снимкам делает выводы о состоянии обследованной зоны.
Заключение, данное врачом лучевой диагностики, впоследствии может лечь в основу окончательного диагноза, которое поставит невролог или другой специалист, назначивший обследование. Однако первоочередное значение здесь все же имеет работа врача кабинета МРТ. Врач лучевой диагностики без соответствующего багажа знаний и опыта за плечами может сделать бессмысленным само обследование, просто не интерпретировав правильно результат.
МРТ обследование головного мозга: как выглядит опухоль, можно ли ошибиться с диагнозом
Чтение нативных снимков МРТ головного мозга больного человека, выполненных на аппаратах с мощностью магнитного поля свыше 1 Тесла, имеет высокую специфичность и достоверность. Квалифицированный врач лучевой диагностики на томограммах выявляет самые мельчайшие патологические сигналы.
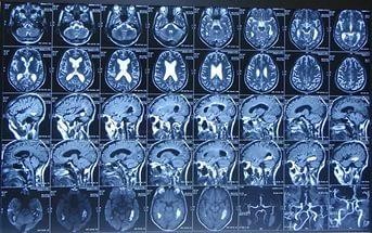
Как выглядит снимок МРТ головного мозга
Без медицинского образования нельзя определить тонкости МР-изображений. Врач дифференцирует не только нормальные анатомические образования, но и определяет мельчайшие патологические тени диаметром несколько миллиметров.
Для наглядности приведем пример описания МРТ головного мозга при злокачественном новообразовании:
- Симптом «плюс ткань» – появление дополнительной тени, не являющейся анатомической структурой;
- Выявление «эффекта массы» – новообразование при росте раздвигает здоровые ткани в сторону;
- Дифференцировка между злокачественными и доброкачественными опухолями основана на изучении границ, состояния окружающих структур. Раки инфильтрируют перифокальные ткани, не имеют четких границ, быстро прогрессируют. Доброкачественные очаги отделены капсулой, формирующий четкий МР-сигнал;
- Контрастное исследование указывает на повышенное накопление веществ в густой сосудистой сети образования;
- Сигнал от опухолевого узла измененный (при сравнении с нормальной мозговой паренхимой) – темный или светлый (в зависимости от строения новообразования).
Существуют и другие признаки опухоли на томограммах, выявляемые специалистами.
Подготовка к МРТ головы
Перед МРТ головного мозга нельзя игнорировать врачебные рекомендации, т.к. это в дальнейшем влияет на эффективность диагностики и успех предстоящего лечения.
Подготовка включает в себя несколько этапов, строгое соблюдение которых гарантирует успешное обследовапние и установку правильного диагноза. Врачебные рекомендации о том, можно ли пить, можно ли кушать перед проведением МРТ головы гласят о том, что пациенту допускается соблюдать обычный, привычный образ жизни, без перееданий и переутомлений, а также категорически следует отказаться от употребления алкоголя накануне обследования. Несоблюдений рекомендаций на этапе подготовки могут искажать диагностические результаты.
Когда пациент приходит в клинику для проведения магнитно-резонансной томографии головы, перед тем, как приступить к данному виду обследованию, он попадает на прием к рентгенологу, который осматривает больного, собирает весь анамнез заболевания, жалобы пациента и т.д. Доктор рассказывает что нужно делать перед процедурой:
- Одежда, в которой пациенту будут проводить МРТ не должна содержать металлических пуговиц, заклепок и др.
- Снять все металлические предметы: украшения, часы, металлические съемные протезы и пр.
- Освободить тело от электронных приборов: плееры, мобильные телефоны и др.
Для того, чтобы диагностика прошла без всяких эксцессов, доктор подробно рассказывает пациенту о том, как будет проводиться осмотр:
- В течении некоторого времени больному следует находиться в неподвижном горизонтальном положении, а голова фиксируется на специальной подушке.
- Если обследование предстоит пациенту с психическими нарушениями, детям младшего возраста, больным клаустрофобией, а также другим пациентам, которые не смогут сохранять неподвижность на поотяжении всего периода обследования, МРТ проводят с предварительным введением седативных или снотворных препаратов.
- Если МРТ проводится с введением контрастирующего вещества, следует исключить возможную аллергическую реакцию.
Подготовка к МРТ головы с контрастом
Отдельное внимание заслуживает МРТ головы с контрастом. В этом случае контрастирующее вещество помогает определить, уточнить и дифференцировать опухолевый процесс разного происхождения в головном мозге. Контраст вводится пациенту внутривенно непосредственно перед самой диагностикой за 15-30 минут. Аккумулируясь в патологических клетках головного мозга, контраст позволяет с высокой точностью определить как опухолевые образования, так и признаки метастазирования. В данном случае, перед введение контраста, в обязательном порядке, пациенту выполняют аллергопробу.
В случае строгих соблюдений рекомендаций врача и следуя четкой его инструкции, пациентам гарантируется высокая точность диагностики, от которой, в последующем зависит жизнь больного.
Как делают МРТ головного мозга
Введение в число диагностических методов МРТ стало своего рода поворотным моментом в медицине. Этот метод открыл дорогу изучению многих внутренних структур человеческого организма, в том числе тех, которые ранее плохо поддавались неинвазивному исследованию. В числе прочего МРТ широко используется для исследования головного мозга и прилегающих структур.
МР-томография мало подходит для непосредственно обследования черепа и носоглотки, так как более пригодна для получения результата на мягких тканях, а не кости и хрящах. Тем не менее, получаемое благодаря МРТ фото носовых пазух может быть крайне полезным дополнительным диагностическим приемом, который поможет рассмотреть в этой области воспалительные процессы.
Как избежать негативных последствий МРТ головного мозга при ошибке
При ответе читателям на частый вопрос – «могут ли ошибиться результаты МРТ при раке» – укажем на количество и важность критериев в результатах исследования (магнитно-резонансной томографии). Чем больше признаков опухоли выявлено, тем меньше вероятность недостоверной трактовки изображений.
Шансы на ошибку ничтожно малы при крупных образованиях. Необходимо лишь дифференцировать злокачественность и доброкачественность патологического очага, что осуществляется путем взятия кусочка ткани на морфологическое изучение (под микроскопом).
Какое последствие МРТ головного мозга при ошибочной диагностике опухоли
Европейские врачи-радиологи ввели понятие «жертва лучевого обследования» для описания случаев, когда из-за неправильной трактовки или ошибочного диагноза люди подвергались операциям.
Практика показывает, что в большинстве случаев исключить ложноположительные заключения помогает сочетание методов МРТ и КТ.

Магнитно-резонансное сканирование качественно визуализирует мягкотканые (глиальные) опухоли – эпендимома, глиобластома, астроцитома при правильном использовании дополнительных возможностей – контрастирование, градиентное эхо, перфузия, диффузия.
Твердые новообразования, как остеома и менингиома лучше выявляются при компьютерной томографии.
Дополнительные сложности в диагностике создают редкие нозологические формы – аневризмы сосудов (расслоение стенки), паразитарные кисты, гранулемы. Именно при этих патологиях выявлено максимальное число осложнений после «неправильных» операций.
Иногда диагностические ошибки создают артефакты (несуществующие сигналы), возникающие при работе оборудования, использовании сторонних программ для расшифровки изображений. Техническое усложнение аппаратов обеспечивает не только улучшение качества диагностики, но и формирует дополнительные сложности при работе с ними. Когда специалисты длительно работают на одном оборудовании, привыкают к типичным погрешностям и артефактам. Изучение снимка головы на новом аппарате, теоретически, может привести к ошибкам из-за непривычного качества сигнала.
Использование дополнительных методов для постановки диагноза – золотой стандарт. Подтверждение на КТ лучше, чем последствия от ненужной операции на головном мозге (несмотря на радиационное облучение).
В заключение – снимки МРТ головного мозга здорового человека нельзя считать стопроцентной гарантией достоверного результата. Отсутствие патологии на МР-томограммах не исключает наличие образований в тканях, которые не визуализируются при обследовании – в костях, мелких анатомических структурах. Использование дополнительных исследований, динамическое наблюдение – основа грамотной диагностики заболеваний.
Принцип работы аппарата МРТ
В настоящее время магнитно-резонансная томография широко используется для диагностирования многих заболеваний. Наиболее эффективно этот метод работает с мягкими тканями организма, для исследования костной же ткани стоит скорее отдать предпочтение "собрату" МРТ - компьютерной томографии.
Основным действующим объектом томографа является сильный магнит. Воздействие магнитного поля на организм вызывает такое явление, как ядерный магнитный резонанс, то есть реакцию на магнит ядер атомов организма. МРТ создает послойное и объемное 3D-изображение, которое подробно демонстрирует состояние организма человека.
МРТ обладает высоким качеством снимка, однако, если необходима максимальная отчетливость изображения - например, для поиска очень мелких очагов патологий, - его можно усилить введением в организм пациента контраста. Контрастирующее вещество "подсвечивает" ткани благодаря кровотоку и делает изображение еще более четким. Впоследствии оно само выводится из организма.
Виды МРТ головного мозга
Стоит заметить, что среди разновидностей магнитно-резонансного исследования мозга выделяют несколько видов диагностики:
Магнитно-резонансная томография мозга с контрастированием.- Общее МРТ головного мозга.
- МРТ головы в ангиорежиме.
Магнитно-резонансная томография с контрастным веществом проводится в отдельных случаях, когда общее МР - обследование не отображает всех мельчайших деталей. Суть метода заключается во внутривенном введении нетоксичного контрастного вещества на основе солей гадолиния пациенту, которое в последующем, распространяясь в тканях головы, заполняет их, повышает визуализацию полученного изображения. Такой метод позволяет рассмотреть самые минимальные очаги поражения, новообразования, участки метастазирования, которые могут присутствовать в исследуемой зоне. Качественное МРТ головного мозга с контрастом существенно повышает эффективность диагностических мероприятий.
Общее магнитно-резонансное обследование зоны головы выполняется классическим методом при помощи обзорной томографии, данный вид обследования может выполняться как расширенное МРТ головного мозга, т.е. обследование всех мягких тканей и кровеносной системы, так и региональная обзорная томография, которая направлена на изучение определенного участка головы, например, МРТ коры головного мозга.
Магнитно-резонансная томография головы в ангиорежиме знаменуется неким прорывом в сфере диагностики сосудов, на сегодня является, пожалуй, единственным методом, позволяющим оценить состояние кровеносной системы области головы, безопасным для больного, неинвазивным. С помощью современного экспертного диагностического оборудования удаётся получить высокоинформативные результаты, выявить патологические изменения в сосудах – аневризмы, спазмы, мальформационные изменения и пр.
Какой вид обследования назначить данному пациенту определяет лечащий врач, т.к. всё зависит от предполагаемого диагноза и от индивидуальных особенностей больного.
Виды МРТ исследований головного мозга: трактография, перфузия, спектроскопия
Нейровизуализация (молекулярная визуализация) проводится современными видами МРТ исследований головного мозга: диффузно-тензорной, функциональной, МР-трактографией, перфузией, спектрометрией, морфометрией.
Методы могут использоваться в отдельности или комплексно (для оценки структурных и функциональных изменений мозга).
Анализ МР трактографии головного мозга – что это такое
Магнитно-резонансная трактография – это разновидность диффузно-тензорной МР-визуализации. Диагностическая информация после обследования получается путем оценки движения воды вдоль нервных волокон.
Демиелинизация (разрушение миелиновой оболочки) нарушает скорость движения жидкости.
Что показывает диффузно-тензорная томография:
- Ход нервных волокон;
- Разрушение оболочек нервов;
- Инсульты ишемического типа;
- Объемные новообразования;
- Воспалительные процессы мозговой ткани.
МР-трактография – это разновидность диффузно-тензорной томографии, используемая для оценки проводящих трактов головного мозга. Исследование помогает хирургам планировать ход оперативного вмешательства. Если специалисты знают локализацию проводящих трактов, смогут правильно выбрать тактику удаления опухоли.
Техника функционального МРТ головного мозга

Для дыхания мозговых клеток требуется глюкоза и кислород. Концентрация соединений меняется не только при новообразованиях, но и при повышенной активности определенных центров.
С помощью функциональной МРТ проводится изучение центров памяти, зрения, движения, речи. Информация получается после регистрации активности микроциркуляции во время выполнения пациентом определенных заданий.
Что показывает функциональная МР-томография:
- Увеличение кровотока в опухоли;
- Повышенную психомоторную возбудимость;
- Состояние кровоснабжения сегментов мозга;
- Работа центров гипоталамуса, базальных ганглиев, поясной коры.
Технология основана на регистрации сигнала после воздействия на атомы кислорода сильного магнитного поля мощностью более 1,5 Тесла. На слабом оборудовании выполнить функциональное МР-сканирование невозможно.
Какие возможности МР перфузии головного мозга
Для оценки кровотока по мозговой паренхиме применяется перфузионная МРТ. Суть методики – регистрация сигнала через несколько секунд после внутривенного введения гадолиния. Вычисление интенсивности кровоснабжения осуществляется программными алгоритмами, оценивающими среднюю скорость движения крови через участок мозговой паренхимы. Процесс сканирования занимает несколько минут, после чего программа создает график зависимости интенсивности сигнала в определенном объеме ткани.
Что показывает МР перфузия:
- Начальные ишемические изменения;
- Гемодинамические нарушения при мигрени, неврологических расстройствах, эпилепсии;
- Локальное сужение сосудов (вазоспазм).
Достоинство перфузионного МР-исследования – выявление ишемических изменений даже в самых мелких сосудах мозговой паренхимы.
Особенности МР спектроскопии головного мозга
Технические особенности магнитно-резонансной спектроскопии заключаются в детекции сигнала от атомов водорода после воздействия радиочастотным импульсом при высоком напряжении. Достоинство методики – возможность определять метаболические нарушения мозговой ткани.

Для чего применяется МР спектроскопия:
- Диагностика объемных новообразований мозга;
- Дифференциальная верификация нейроэпителиальных опухолей, эпендимом, астроцитом;
- Для выявления рецидивов образования, некроза (гибель тканей), повторного роста рака в послеоперационном периоде;
- Для выявления метастазов;
- Для разграничения демиелинизирующих и инфекционных процессов;
- Оценки метаболических расстройств;
- Обнаружения участков разрушения белого вещества.
МР-спектроскопия активно применяется в онкологии на этапе предоперационной подготовки.
Комплекс методов для оценки ликвородинамики
В медицине ликвородинамика оценивается применением комплекса МРТ способов. Для изучения ликвородинамических показателей вначале используют стандартные импульсные последовательности. При недостатке информации применяется функциональное МР-сканирование для анализа движения спинномозговой жидкости в отделах мозга.
Диффузно-тензорное МРТ показывает структуру белого вещества.
Для обнаружения атрофических зон используется многовоксельная МР-морфометрия.
Противопоказания к диагностике МРТ головного мозга
С осторожностью назначают:
- беременным женщинам и кормящим матерям;
- больным, после трансплантации печени;
- пациентам, с отягощенным аллергическим анамнезом в случае необходимости введения контрастного вещества;
- людям, с нервно-психическими нарушениями и клаустрофобией.
Строго противопоказано:
- больным, с кардиостимуляторами или наличием металлических пластин в организме;
- пациентам с тяжелой степенью почечной недостаточноси.
Получив результаты МРТ обследования головы, врач может оценить степень поражения, назначить грамотное лечение для успешного выздоровления.
О появлении МРТ
Метод магнитно-резонансной томографии появился и начал активно развиваться в восьмидесятые годы двадцатого века. Создателями метода считаются Пол Лотербур и Питер Мэнсфилд, получившие за свое открытие Нобелевскую премию, создателем первого МРТ-аппарата стал американец армянского происхождения Реймонд Дамадьян, являющийся держателем патента на сам метод МРТ.
Первые снимки МРТ головного мозга здорового человека появились в 1980-ых годах. Первоначально проведение томографии занимало очень много времени, однако в настоящее время сроки работы заметно сократились без какой-либо потери качества. Нынешние томографы дают получить снимки в течение 20-40 минут в зависимости от исследуемой области.
В Советском Союзе история МРТ началась с 1960 года, когда она впервые начала использоваться для диагностики. Изначальным ее наименованием в нашей стране было ЯМР-томография, то есть "ядерно-магнитная резонансная томография", но после аварии на Чернобыльской АЭС от любого упоминания слово "ядерный" старались отказаться - так МРТ приобрела нынешнее ее наименование.
Подготовка к обследованию
Как проводится МРТ головы? Магнитно-резонансная томография не требует особенной подготовки, если только врач, выдавший направление, не сообщил об обратном. Менять обычный режим питания или приема лекарств не требуется, помешать процедуре обследования головного мозга они не способны. Перед тем, как пройти МРТ головного мозга, необходимо обговорить с врачом такие нюансы, как возможные противопоказания и аллергические реакции (при введении контраста).
Предварительно перед МРТ необходимо снять все металлические предметы (украшения, часы, вещи с металлическими застежками и т.д.). В случае, если приходится снять одежду, клиника должна выделить свой костюм для обследования, но уповать на это все же лучше не стоит, выбрав изначально свободную и удобную одежду без заклепок и пуговиц из металла.
Вид контраста, используемый для проведения магнитно-резонансной томографии, является практически гипоаллергенным – реакция на него встречается очень редко, и чаще всего ограничивается крапивницей, случаи анафилактического шока встречаются реже, чем один на десяток тысяч проведенных процедур. Но всегда стоит быть осторожным и решать, когда нужно делать обследование с контрастом, вместе с врачом.
Как проходит МРТ головного мозга и шеи?
Проходит процедура обследования в специально оборудованном кабинете, где установлен аппарат. Если необходимо, предварительно вводится через вену контрастирующее вещество. Далее пациент ложится на спину на кушетку, которая вдвигается внутрь трубы томографа. Обследование головного мозга занимает около 20 минут.
При обследовании необходимо сохранять неподвижность, если присутствуют опасения, что это невозможно (например, при обследовании маленьких детей), то можно договориться об использовании седативного препарата. Так как аппарат издает громкие щелкающие звуки, которые могут нервировать пациента, также можно попросить наушники или беруши. При необходимости можно связаться с оператором, который находится в соседней комнате, через радиосвязь.
После проведения процесса МРТ головного мозга полученное изображение переносится на электронный носитель или распечатывается в виде снимка. После обследования по результатам врач диагностики дает заключение, в котором описывает все, что запечатлел томограф - и опыт, навыки, внимательное отношение врача здесь имеет не меньшее значение, чем качество аппарата МРТ.
"Боюсь делать МРТ головного мозга!"
Для человека, который впервые идет на сложное обследование, совершенно нормально волноваться. Но МРТ совершенно точно не заслуживает беспокойства! На сегодняшний день магнитно-резонансная томография относится к числу самых безопасных диагностических методик. Не существует ни одного доказанного исследования, которое бы подтвердило вред от МРТ.
В отличие от рентгеновских методов диагностики, МРТ не использует ионизирующее облучение, которое имеет свойство накапливаться в организме. Это делает его не только безопасным, но и допустимым в применении любое количество раз подряд – тогда как любой рентгеновский метод имеет строгое ограничение по числу процедур за отрезок времени, чтобы минимизировать причиняемый вред.
Некоторых тревожит, больно ли делать МРТ головного мозга – это также совершенно не должно волновать: процедура совершенно безболезненна. Иногда она может вызвать ухудшение самочувствия (тошноту, головную боль), но в значительно большей степени это вызвано стрессом, чем каким-либо влиянием аппарата. Просто расслабьтесь – и, скорее всего, все пройдет очень легко и спокойно.
Противопоказания к МРТ головы
При всех своих несомненных достоинствах, МРТ обладает и рядом противопоказаний к проведению. Так, например, сложность прохождение процедуры может составлять для людей, страдающих тяжелой формой клаустрофобии. Томограф не является полностью закрытым пространством, и все же, провести 20+ минут в нем для таких людей может быть сложно.
Проблему клаустрофобии (а также проблему обследования маленьких детей, которым тяжело провести долгое время без движения) вполне можно решить использованием седативных препаратов, потому данное противопоказание можно считать относительным. А вот абсолютным является установленный кардиостимулятор – его магнитное поле легко может вывести из строя, что чревато тяжелыми и даже трагическими последствиями.
Противопоказанием также может стать металлический предмет в области обследования, например, брекеты – он будет давать своего рода помехи, которые способны испортить снимок. А вот металлические имплантанты, вопреки общепринятому мнению, не обязательно станут ограничением – необходимо уточнить материал, из которого они сделаны, в современной имплантологии зачастую используются сплавы, которые не подвержены влиянию магнитного поля.
Городская Служба записи на МРТ и КТ
Консультация по общим вопросам диагностики
Запись по всем районам города
Услуги Службы записи бесплатны для пациента
Какие цены на магнитно-резонансную томографию в Москве
Стоимость МРТ диагностики головного мозга в Москве разная. Так как большинство клиник предоставляют платные услуги МРТ головного мозга, на нашем сайте вы сможете узнать, где дешевле пройти такое обследование, а также узнать цену МР ангиографии. В некоторых клиниках предоставляется возможность получить квоту на МРТ головного мозга.
На нашем сайте вы найдете адреса всех медицинских учреждений, которые проводят такое обследование, а также их телефоны. Именно здесь вы сможете выбрать подходящую клинику и сделать недорого МРТ мозга.
Где можно сделать МРТ головного мозга?
С таким вопросом сталкиваются многие пациенты, которым назначается данный вид диагностики. МРТ головного мозга в Москве и Санкт Петербурге выполняют как в государственных учреждениях, так и в частных клиниках. Цены на услуги частных клиник могут несколько отличаться и зависят от предстоящего объема обследования. У нас имеется необходимая информация и база лечебных учреждений, где можно проходить диагностику.
