МРТ мочевыводящих путей — цены недорого, где лучше сделать в Москве, что показывает
Метод МРТ диагностики мочеточников построен на электромагнитных свойствах атомов водорода, которые в разных тканях содержатся в разных количествах. Под действием сильного магнитного поля и радиочастотных импульсов, котоые создаются в самом аппарате, в тканях организма возникает суммарный магнитный эффект. Томограф фиксирует все характеристики исследуемого органа и передает их на компьютер. Процедура МРТ считается безвредной, поэтому проводят ее как в качестве диагностического исследования, так и в качестве контроля за проведенным лечением.
Где недорого сделать МРТ мочевыводящих путей в Москве
Мы регулярно обзваниваем диагностические центры в Москве и обновляем нашу таблицу минимальных цен.
Записаться по минимальный ценам можно через городскую Справочную, позвонив по
телефону:
8 (499) 110-68-43
(каждый день с 7 до 23)
Показания к проведению МРТ мочеточников
В сило проведения комплексного обследования при МРТ мочеточников, среди распространенных показаний для магнитно-резонансного обследования выделяют следующие:
- Нарушение кровотока в почках, мочеточниках и других околопочечных тканях.
- Патологические и воспалительные заболевания почек, мочеточников.
- Камни почек, мочеточников.
- Жалобы на почечные колики и выяснение очага локализации.
- Подозрения на наличие новообразования в этой области.
-
ул. Маросейка, д. 2/15, стр. 1
-
Китай-город, Лубянка, Площадь Революции
-
пн-вс с 8:00 до 22:00
-
- КТ Philips Brilliance CT, 16 срезов
- МРТ Philips Achieva, 1.5 Тл, полуоткрытый
Цены:
-
Подсосенский переулок, д. 17
-
Чкаловская, Курская, Китай-город
-
пн-пт с 9:00 до 21:00, сб-вс с 10:00 до 18:00
-
- МРТ Philips Achieva Intera, 1.5 Тл, полуоткрытый
- КТ Toshiba Aquilion CXL, 128 срезов
Цены:
-
Химки, ул. Совхозная, д. 4, стр. 1
-
Ховрино
-
круглосуточно
-
- КТ Siemens Healthineers SOMATOM, 64 срезов
- МРТ Siemens , 1.5 Тл, закрытый
Цены:
-
ул. Полковая, д.12, корп. 1
-
Савеловская, Марьина Роща, Дмитровская
-
пн-вс с 8:00 до 20:00
-
- МРТ General Electric Optima MR360, 1.5 Тл, закрытый
Цены:
-
Борисовский проезд, д. 15, корп. 1, стр. 2
-
Шипиловская, Борисово, Домодедовская
-
пн-пт с 8:00 до 21:00, сб с 9:00 до 21:00, вс с 10:00 до 19:00
-
- МРТ Siemens MAGNETOM Symphony, 1.5 Тл, полуоткрытый
Цены:
-
ул. Люсиновская, д. 53, корп. 2
-
Шаболовская, Серпуховская, Тульская
-
- КТ General Electric VCT, 64 срезов
- МРТ Siemens Avanto TIM, 1.5 Тл, полуоткрытый
Цены:
-
Переведеновский переулок, д. 8
-
Бауманская, Красносельская, Электрозаводская
-
пн-вс с 8:00 до 22:00
-
- МРТ Siemens MAGNETOM Aera, 1.5 Тл, полуоткрытый
Цены:
-
ул. Нагатинская, д. 1, стр. 25
-
Нагатинская, Верхние Котлы, Нагорная
-
пн-вс с 7:00 до 01:00
-
- МРТ General Electric Signa HD, 2012 года, 1.5 Тл, закрытый
Цены:
-
ул. Привольная, д. 70, корп. 1
-
Котельники, Жулебино
-
пн-сб с 9:00 до 21:00, вс с 9:00 до 20:00
-
- МРТ AILAB MagFinderII, 0.32 Тл, открытый
Цены:
-
Волгоградский пр-т, д. 45
-
Текстильщики, Новохохловская, Угрешская
-
пн-вс с 9:00 до 21:00
-
- МРТ Philips Intera, 1.5 Тл, закрытый
- КТ Philips Brillians, 64 срезов
Цены:
-
ул. Автозаводская, д. 23, корп. 9
-
ЗИЛ, Автозаводская, Тульская
-
пн-вс с 8:00 до 22:00
-
- МРТ Philips Intera, 2013 года, 1.5 Тл, полуоткрытый
- КТ General Electric LIGHT SPEED, 64 срезов
Цены:
-
ул. Летчика Бабушкина, д. 48 Б
-
Бабушкинская, Медведково
-
пн-вс круглосуточно
-
- МРТ Siemens Magnetom Essenza, 2014 года, 1.5 Тл, закрытый
- КТ Siemens Perspective, 2014 года, 128 срезов
Цены:
-
Ленинский пр-т, д. 146
-
Юго-Западная, Тропарево, Проспект Вернадского
-
пн-вс круглосуточно
-
- МРТ Siemens Magnetom Symphony , 2012 года, 1.5 Тл, закрытый
- КТ Siemens SOMATOM Emotion, 6 срезов
Цены:
-
Волоколамское шоссе, д. 142
-
Волоколамская, Пенягино, Мякинино
-
пн-вс с 8:00 до 22:00
-
- МРТ Siemens Simphony, 1.5 Тл, закрытый
- КТ Toshiba Aquilion CX, 128 срезов
Цены:
-
ул. Центральная, д. 34 А
-
-
пн-вс с 8:00 до 21:00
-
- МРТ Siemens Magnetom Aera, 2015 года, 1.5 Тл, полуоткрытый
- КТ Siemens Somatom Perspective, 128 срезов
Цены:
-
Ленинградское шоссе, д. 47 А
-
Водный стадион, Речной вокзал, Сходненская
-
пн-вс с 8:00 до 23:00
-
- МРТ Siemens Magnetom Essenza, 2015 года, 1.5 Тл, полуоткрытый
- КТ Siemens Somatom Perspective, 2015 года, 64 срезов
Цены:
-
Перервинский бульвар, д. 4, корп. 1
-
Братиславская, Люблино, Марьино
-
пн-вс с 8:00 до 22:00
-
- МРТ Siemens Magnetom Aera, 1.5 Тл, полуоткрытый
- КТ Siemens SOMATOM Emotion, 16 срезов
Цены:
-
Куркинское шоссе, д. 30
-
-
пн-вс с 8:00 до 22:00
-
- МРТ Philips Achieva, 2012 года, 1.5 Тл, закрытый
- КТ Toshiba Aquilion, 64 срезов
Цены:
-
ул. Маршала Катукова, д. 10
-
Строгино, Мякинино, Спартак
-
пн-вс с 8:00 до 22:00
-
- КТ Toshiba Aquilion, 128 срезов
- МРТ Siemens Simpony, 2015 года, 1,5 Тл, полуоткрытый
Цены:
-
Рязанский пр-т, д. 24, стр. 2
-
Окская, Рязанский проспект, Стахановская
-
пн-вс с 9:00 до 21:00
-
- МРТ Philips Achieva, 1.5 Тл, закрытый
Цены:
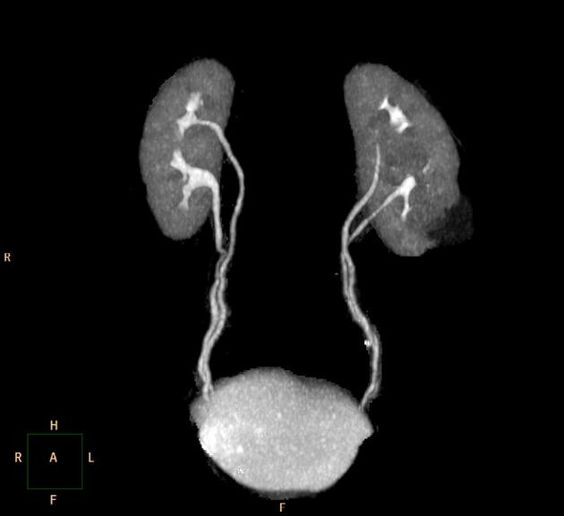
Что показывает МРТ мочеточников
В первую очередь необходимо отметить, что магнитно-резонансная томография мочеточников выполняется в комплексном обследовании почек и мочевыводящих путей, как самостоятельный метод диагностирования невозможен.
При помощи магнитно-резонансной томографии удается оценить состояние органов и выявить имеющиеся патологии:
- оценить топографическое положение и выявить аномалии развития данного органа;
- оценка кровоснажения мочеточников;
- выявить патологические очаги и имеющиеся зоны поражения в мочеточниках;
- определить наличие новообразований, его размеры;
- оценить функциональность данного органа.
Виды МРТ мочеточников
Здесь следует выделить два вида исследования, отличающиеся между собой:
- МРТ мочеточников с контрастированием.
- Магнитно-резонансная томография без контрастного вещества.
МРТ мочеточников с контрастом проводится тогда, когда необходимо диагностировать природу опухоли и оценить состояние сосудов данной области.
Как подготовиться к исследованию?
Магнитно-резонансная диагностика имеет массу преимуществ в сравнении с другими видами обследования, кроме безопасности и достоверности полученных данных, МРТ мочеточников отличается простотой диагностирования.
Пациенты, которые записываются на такую процедуру, задают один из распространенных вопросов: "Как необходимо подготовиться к томографии?". Отвечая на данный вопрос, следует отметить, что МРТ мочеточников не требует специальной подготовки со стороны больного.
Накануне процедуры готовиться к этому никак не надо, соблюдая какие-либо ограничения и диеты.
В день проведения МРТ следует прийти в клинику за 20-60 минут до начала процедуры. За это время пациент должен подготовиться к самой диагностике, переодеться в удобную для него одежду, т.к. магнитно-резонансная томография требует находиться довольно длительное время в неподвижном состоянии, одежда не должна вызывать дискоммфорт. Снять все металлические аксессуары и украшения со своего тела, а также выложить все электроприборы.
Если проведение МРТ мочеточников требует введения контрастного вещества, на это потратиться дополнительное время при подготовке к манипуляции.
Пациенты, которые по каким-либо причинам не могут находиться длительное время в неподвижном состоянии, люди, страдающие психическими расстройствами, а также дети и пациенты, больные клаустрофобией, требуют дополнительного введения седативных и снотворных медикаментозных средств.
Далее пациента укладывают в горизонтальном положении на кушетку, которая затем задвигается в томограф, больной остается один в комнате, связь с рентгенологом осуществляется через микрофон.
Противопоказания к МРТ мочеточников
Среди противопоказаний можно выделить абсолютные и относительные.
Абсолютные противопоказания категорически запрещают проведение МРТ, к ним относятся:
- Больные с кардиостимуляторами и металлическими пластинами, несъемными протезами в организме.
- Больные с почечной недостаточностью тяжелой степени.
Возможность проведения МРТ мочеточников у пациентов с относительными противопоказаниями определяется доктором в каждом отдельном случае. Сюда относятся:
- Сахарный диабет, большая масса тела.
- Беременность, период лактации.
- Детский возраст до 12 лет.
- Непереносимость, аллергическая реакция на применяемые во время исследования, препараты.
Городская Служба записи на МРТ и КТ
Консультация по общим вопросам диагностики
Запись по всем районам города
Услуги Службы записи бесплатны для пациента