МРТ почек — цены недорого, где лучше сделать в Москве, что показывает
МРТ почек
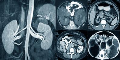
Магнитно-резонансная томография (МРТ) считается точным видом исследования почек и мочевыводящих путей. В её основе лежит исследование с воздействием на организм человека магнитных полей и электромагнитных волн. Кратковременные радиоволновые импульсы приводят ядра водорода в возбужденное состояние, аппарат фиксирует электромагнитный отклик частиц, выводя на монитор картинку, по которой можно определить точный размер внутренних органов а также, наличие патологий в них.
Где недорого сделать МРТ почек в Москве
Мы регулярно обзваниваем диагностические центры в Москве и обновляем нашу таблицу минимальных цен.
Записаться по минимальный ценам можно через городскую Справочную, позвонив по
телефону:
8 (499) 110-68-43
(каждый день с 7 до 23)
Показания для МРТ почек
- боли в пояснице неопределенного генеза, изменения в лабораторных анализах;
- нарушения работы и функции;
- подозрение на наличие новообразований, кист почек;
- травма почек, подозрение на абсцесс, другие поражения;
- тяжелое течение мочекаменной болезни с приступом почечной колики;
- врожденные и приобретенные пороки развития почек, надпочечников, мочевыводящих путей;
- выраженный отёчный синдром;
- в случае сопутствующей патологии, в комплексном осмотре печени и почек;
- контроль за проведенным лечением по удалению опухоли или камней в почках.
Когда пациент обращается с вышеперечисленными жалобами, лечащий врач проводит тщательный осмотр, досконально изучая весь анамнез заболевания, жалобы, данные лабораторно-инструментальных и дополнительных обследований и только после этого, в случае необходимости, направляет больного на МРТ диагностику почек.
-
ул. Маросейка, д. 2/15, стр. 1
-
Китай-город, Лубянка, Площадь Революции
-
пн-вс с 8:00 до 22:00
-
- КТ Philips Brilliance CT, 16 срезов
- МРТ Philips Achieva, 1.5 Тл, полуоткрытый
Цены:
-
Спартаковский переулок, д. 2, стр. 11
-
Красносельская, Бауманская, Комсомольская
-
пн-пт с 8:00 до 21:00, сб-вс с 9:00 до 21:00
-
- КТ Siemens SOMATOM go.Up, 32 срезов
- МРТ SIEMENS MAGNETOM ALTEA, 1.5 Тл, полуоткрытый
Цены:
-
Подсосенский переулок, д. 17
-
Чкаловская, Курская, Китай-город
-
пн-пт с 9:00 до 21:00, сб-вс с 10:00 до 18:00
-
- МРТ Philips Achieva Intera, 1.5 Тл, полуоткрытый
- КТ Toshiba Aquilion CXL, 128 срезов
Цены:
-
Химки, ул. Совхозная, д. 4, стр. 1
-
Ховрино
-
круглосуточно
-
- КТ Siemens Healthineers SOMATOM, 64 срезов
- МРТ Siemens , 1.5 Тл, закрытый
Цены:
-
ул. Полковая, д.12, корп. 1
-
Савеловская, Марьина Роща, Дмитровская
-
пн-вс с 8:00 до 20:00
-
- МРТ General Electric Optima MR360, 1.5 Тл, закрытый
Цены:
-
ул. 15-ая Парковая, д. 5
-
Первомайская, Измайловская, Щелковская
-
пн-пт с 8:00 до 21:00, сб с 9:00 до 20:00, вс с 10:00 до 19:00
-
- МРТ Siemens Magnetom Impact Expert, 1.5 Тл, закрытый
Цены:
-
Борисовский проезд, д. 15, корп. 1, стр. 2
-
Шипиловская, Борисово, Домодедовская
-
пн-пт с 8:00 до 21:00, сб с 9:00 до 21:00, вс с 10:00 до 19:00
-
- МРТ Siemens MAGNETOM Symphony, 1.5 Тл, полуоткрытый
Цены:
-
ул. 2-я Владимирская, д. 2
-
Перово, Шоссе Энтузиастов, Соколиная Гора
-
пн-вс с 8:00 до 22:00
-
- МРТ Siemens Magnetom Symphony, 1.5 Тл, полуоткрытый
Цены:
-
ул. Люсиновская, д. 53, корп. 2
-
Шаболовская, Серпуховская, Тульская
-
- КТ General Electric VCT, 64 срезов
- МРТ Siemens Avanto TIM, 1.5 Тл, полуоткрытый
Цены:
-
ул. Садовническая, д. 11, стр. 10 А
-
Новокузнецкая, Третьяковская, Китай-город
-
пн-вс с 7:00 до 23:00
-
- МРТ Philips Intera, 2011 года, 1.5 Тл, закрытый
Цены:
-
Переведеновский переулок, д. 8
-
Бауманская, Красносельская, Электрозаводская
-
пн-вс с 8:00 до 22:00
-
- МРТ Siemens MAGNETOM Aera, 1.5 Тл, полуоткрытый
Цены:
-
ул. Нагатинская, д. 1, стр. 25
-
Нагатинская, Верхние Котлы, Нагорная
-
пн-вс с 7:00 до 01:00
-
- МРТ General Electric Signa HD, 2012 года, 1.5 Тл, закрытый
Цены:
-
ул. Привольная, д. 70, корп. 1
-
Котельники, Жулебино
-
пн-сб с 9:00 до 21:00, вс с 9:00 до 20:00
-
- МРТ AILAB MagFinderII, 0.32 Тл, открытый
Цены:
-
ул. Волочаевская д. 15, стр. 1
-
Площадь Ильича, Римская, Москва Товарная
-
пн-вс с 8:00 до 21:00
-
- МРТ Philips Ingenia, 1.5 Тл, полуоткрытый
- КТ Philips Ingenuity Elite, 128 срезов
Цены:
-
Волгоградский пр-т, д. 45
-
Текстильщики, Новохохловская, Угрешская
-
пн-вс с 9:00 до 21:00
-
- МРТ Philips Intera, 1.5 Тл, закрытый
- КТ Philips Brillians, 64 срезов
Цены:
-
ул. Автозаводская, д. 23, корп. 9
-
ЗИЛ, Автозаводская, Тульская
-
пн-вс с 8:00 до 22:00
-
- МРТ Philips Intera, 2013 года, 1.5 Тл, полуоткрытый
- КТ General Electric LIGHT SPEED, 64 срезов
Цены:
-
ул. Летчика Бабушкина, д. 48 Б
-
Бабушкинская, Медведково
-
пн-вс круглосуточно
-
- МРТ Siemens Magnetom Essenza, 2014 года, 1.5 Тл, закрытый
- КТ Siemens Perspective, 2014 года, 128 срезов
Цены:
-
ул. Профсоюзная, д. 114
-
Беляево, Коньково, Калужская
-
пн-вс круглосуточно
-
- МРТ General Electric , 3.0 Тл, закрытый
- КТ Siemens Somatom Emotion, 6 срезов
Цены:
-
Ленинский пр-т, д. 146
-
Юго-Западная, Тропарево, Проспект Вернадского
-
пн-вс круглосуточно
-
- МРТ Siemens Magnetom Symphony , 2012 года, 1.5 Тл, закрытый
- КТ Siemens SOMATOM Emotion, 6 срезов
Цены:
-
площадь Собина, д. 1
-
Долгопрудная, Новодачная, Водники
-
пн-пт с 8:00 до 22:00, сб-вс с 10:00 до 18:00
-
- МРТ Siemens Magnetom, 1.0 Тл, полуоткрытый
Цены:
Содержание
Магнитно-резонансная томография почек – это
современный неинвазивный диагностический метод, основанный на применении магнитного поля и радиочастотных импульсов, позволяющий исследовать почки в различных проекциях, благодаря чему получается более точное и информативное изображение. Проведение МРТ почек возможно как самостоятельный метод диагностики, так и в комплексе при осмотре брюшной полости.
Многие пациенты задают вопрос: чем отличается УЗИ от МРТ почек и нельзя ли выполнить УЗИ вместо томографии? Ответ однозначный: нет, только МРТ почек позволяет визуализировать самые небольшие изменения, выявить их характер, природу возникновения.
Поскольку химический состав тканей организма неоднороден, картинка получается окрашенная в разные тона. При помощи МРТ удается достаточно четко диагностировать целый ряд заболеваний, таких как опухоли, отеки, вызванные инфекциями, опущения почек после удара, деформации внутренних органов, а также кисты на них.
МРТ почек проводится при подозрении на такие заболевания, как пилонефрит, киста почек, мочекаменная болезнь.
Поскольку снимок не всегда дает точную картину новообразований, для более точной проверки заболеваний при подозрении на опухоль и рак, стали использовать исследование почек с контрастированием. Для этого внутривенно больному вводят контрастное вещество, содержащие соли гадолиния. К противопоказаниям к проведению данной процедуры относят беременность сроком до 14 недель, а также индивидуальную непереносимость препарата.
Учитывая всю сложность проведения исследования, цены МРТ почек с контрастированием в Москве остаются сравнительно высокими, аппарат есть не в каждой клинике, только новое, исправное оборудование позволяет получить точнейший результат, который сильно влияет на ход диагностики.
При опухолевых заболеваниях зачастую именно мрт почек и мочевыводящих путей дает возможность вовремя поставить точный диагноз.
МРТ почек и мочевыводящих путей позволяет:
- оценить непосредственно структуру самого органа;
- определить ширину, длину, а также толщину почек;
- выявить границу и слои коркового и мозгового слоя почек;
- визуализировать сосуды почек, артерии, вены, определить наличие аневризмы или атеросклероза;
- провести оценку мочевыводящих путей - мочевого пузыря, мочеточников.
Если пациент обращается с жалобами на различный дискомфорт и боли в области почек, то для его обследования в первую очередь назначаются лабораторные анализы, позволяющие оценить состояние здоровья этого органа. При остром болевом синдроме чаще назначают УЗИ - обследование или рентгенографию. МРТ почек и мочеточников, а также МРТ почек и мочевого пузыря является уточняющей процедурой, когда другие лабораторно-инструментальные методы исследования не дают четкой информации или остаются сомнения по поводу поставленного диагноза.
МР урография
Иногда пациентам назначают мр урографию, данный метод помогает визуализировать все почечные структуры: лашечно-лоханочный комплекс, паренхиму, мочеточники, мочевой пузырь и кровеносные сосуды без дополнительного введения контраста, т.к. здесь в качестве естественного контраста используется моча. Такая диагностика проводится для выявления аномалий развития почек, преимущественно мочевыводящих путей.
Противопоказания
Наличие кардиостиуляторов, металлических имплантов в теле человека, а также беременность, период лактации.
МРТ почек с контрастированием
МРТ почек с контрастом — это одна из разновидностей магнитно-резонансной томографии, когда перед началом процедуры больному вводят внутривенно контраст. МРТ почек с контрастным веществом позволяет повысить эффективность обследования, т.к. изображение получается четкое с резко очерченными полями. Данным методом пользуются в случае необходимости определения четкой структуры органов, всех слоёв, выявления мельчайших очагов поражения, новообразований и метастазов.
Даже учитывая все преимущества данного вида диагностики, томография с контрастом назначается очень аккуратно, строго доктором, т.к. способна вызвать у пациента развитие нефрогенного системного фиброза.
Подготовка к МРТ почек
Специфической подготовки к данной процедуре не требуется, лишь, в случае, если предстоит проведение МРТ с контрастированием, необходимо воздержаться от утреннего приема пищи и выполнить аллергопробу на контрастное вещество.
В день проведения обследования следует прийти незадолго до начала — 20-40 минут, для того, чтобы переодеться в удобную одежду из натуральной ткани, без металлических пуговиц, заклепок и снять с тела различные украшения и аксессуары.
Если Вам предстоит проведение томографии с контрастом, перед процедурой, за 10-15 минут, вводят контрастное вещество.
В редких случаях, когда обследование предстоит проводить людям с ограниченными физическими возможностями, неспособным длительное время находиться в неподвижном состоянии, с психическими нарушениями, а также детям и больным клаустрофобией, на этапе подготовки вводят снотворные или седативные препараты.
Как проводится процедура?
Пациента помещают на специальную кушетку, которую погружают в аппарат томограф, где будет проводится дальнейшее обследование. Рабочую часть аппарата направляют на исследуемую область, пациент находится в неподвижном горизонтальном положении, чтобы снимки получились точными и информативными. В отличе от других методов исследования, например, УЗИ или рентгена, когда осмотр может проводится в положении больного стоя или сидя, МРТ почек стоя не проводится.
Больной остаётся один в комнате, врач-рентгенолог, который проводит обследование, наблюдает за пациентом через окно, связь поддерживается через встроенный в томограф микрофон.
В зависимости от объёма диагностики, весь процесс осмотра занимает от 20 до 60 минут.
Заключение и расшифровка МРТ почек
На заключительном этапе врач-рентгенолог проводит расшифровку полученных результатов исследования по снимкам, делает своё заключение и выдает на руки больному. На основании заключения рентгенолога лечащий врач выбирает наиболее подходящую тактику лечения.
Городская Служба записи на МРТ и КТ
Консультация по общим вопросам диагностики
Запись по всем районам города
Услуги Службы записи бесплатны для пациента
МРТ почек – где сделать обследование?
МРТ почек и надпочечников в Москве проводят в различных частных кабинетах и государственных клиниках. После того, как пациент получил направление на данное обследование, он самостоятельно выбирает для себя где его выполнять, учитывая свои пожелания и возможности, т.к. метод обследования относится к дорогостоящей диагностике.
Делают ли МРТ почек бесплатно? Такой вопрос часто задают пациенты, которым предстоит пройти диагностику. Да, такая возможность имеется, МРТ-обследование входит в перечень бесплатных услуг обязательного медицинского страхования, однако, следует понимать, что записываться на обследование придется заранее, иногда за 3-6 мес. до нее.
Чтоб точно узнать, сколько стоит процедура мрт почек, желательно связаться с консультантом нашей службы по телефону, он сориентирует по стоимости проведения исследования, а также, подскажет, когда лучше исследовать почки с контрастом. Многие пациенты обращаются к нам после проведения урографии. К сожалению, урография не всегда позволяет ставить точный диагноз, а острая боль в почках оказывается нетерпимой, диагноз позволяет установить именно МРТ.
Проводить исследование лучше после предварительной консультации уролога. Он скажет точно, что лучше сделать — снимок всего забрюшинного пространства (проверить почки, надпочечники, поджелудочную железу и мочеполовую систему), или конкретного органа.
Как проводится процедура?