МРТ поджелудочной железы — цены недорого, где лучше сделать в Москве, что показывает
МРТ поджелудочной железы – что показывает, показания, подготовка
Заболевания пищеварительной системы сложно выявить на начальной стадии, с чем связана высокая частота запущенных раков желудочно-кишечного тракта. Нативное МРТ желудка и поджелудочной железы определяет воспалительные изменения, органическую патологию (раки), врожденные и приобретенные аномалии, сосудистую патологию.
Заболевания поджелудочной железы в наши дни встречаются часто, посему ее обследования становятся все более востребованы. Одним из наиболее эффективных современных способов, позволяющих получить полную картину состояния поджелудочной, является МРТ. Данный метод, основанный на магнитном резонансе и использовании специального контраста, выгодно отличается безопасностью для здоровья (в отличие от, к примеру, рентгена) и высокой точностью получаемых снимков.
Где недорого сделать МРТ поджелудочной железы в Москве
Мы регулярно обзваниваем диагностические центры в Москве и обновляем нашу таблицу минимальных цен.
Записаться по минимальный ценам можно через городскую Справочную, позвонив по
телефону:
8 (499) 110-68-43
(каждый день с 7 до 23)
Все показания к холангиопанкреатографии:
- Гепатоспленомегалия (увеличение селезенки, печени);
- Раковые образования;
- Гнойные ограниченные полости (абсцессы);
- Некроз железистых протоков;
- Застойные изменения в полой вене;
- Сосудистые опухоли – гемангиомы;
- Желчнокаменная болезнь;
- Болезни пузырного и Вирсунгова протока;
- Аневризматическое расширение аорты;
- Рак островков Лангерганса;
- Инсулинома;
- Лимфаденит (воспалительное увеличение лимфоузлов);
- Реакция удаления трансплантата.
-
ул. Маросейка, д. 2/15, стр. 1
-
Китай-город, Лубянка, Площадь Революции
-
пн-вс с 8:00 до 22:00
-
- КТ Philips Brilliance CT, 16 срезов
- МРТ Philips Achieva, 1.5 Тл, полуоткрытый
Цены:
-
Спартаковский переулок, д. 2, стр. 11
-
Красносельская, Бауманская, Комсомольская
-
пн-пт с 8:00 до 21:00, сб-вс с 9:00 до 21:00
-
- КТ Siemens SOMATOM go.Up, 32 срезов
- МРТ SIEMENS MAGNETOM ALTEA, 1.5 Тл, полуоткрытый
Цены:
-
Подсосенский переулок, д. 17
-
Чкаловская, Курская, Китай-город
-
пн-пт с 9:00 до 21:00, сб-вс с 10:00 до 18:00
-
- МРТ Philips Achieva Intera, 1.5 Тл, полуоткрытый
- КТ Toshiba Aquilion CXL, 128 срезов
Цены:
-
Химки, ул. Совхозная, д. 4, стр. 1
-
Ховрино
-
круглосуточно
-
- КТ Siemens Healthineers SOMATOM, 64 срезов
- МРТ Siemens , 1.5 Тл, закрытый
Цены:
-
ул. Полковая, д.12, корп. 1
-
Савеловская, Марьина Роща, Дмитровская
-
пн-вс с 8:00 до 20:00
-
- МРТ General Electric Optima MR360, 1.5 Тл, закрытый
Цены:
-
ул. 15-ая Парковая, д. 5
-
Первомайская, Измайловская, Щелковская
-
пн-пт с 8:00 до 21:00, сб с 9:00 до 20:00, вс с 10:00 до 19:00
-
- МРТ Siemens Magnetom Impact Expert, 1.5 Тл, закрытый
Цены:
-
Борисовский проезд, д. 15, корп. 1, стр. 2
-
Шипиловская, Борисово, Домодедовская
-
пн-пт с 8:00 до 21:00, сб с 9:00 до 21:00, вс с 10:00 до 19:00
-
- МРТ Siemens MAGNETOM Symphony, 1.5 Тл, полуоткрытый
Цены:
-
ул. 2-я Владимирская, д. 2
-
Перово, Шоссе Энтузиастов, Соколиная Гора
-
пн-вс с 8:00 до 22:00
-
- МРТ Siemens Magnetom Symphony, 1.5 Тл, полуоткрытый
Цены:
-
ул. Люсиновская, д. 53, корп. 2
-
Шаболовская, Серпуховская, Тульская
-
- КТ General Electric VCT, 64 срезов
- МРТ Siemens Avanto TIM, 1.5 Тл, полуоткрытый
Цены:
-
ул. Садовническая, д. 11, стр. 10 А
-
Новокузнецкая, Третьяковская, Китай-город
-
пн-вс с 7:00 до 23:00
-
- МРТ Philips Intera, 2011 года, 1.5 Тл, закрытый
Цены:
-
Переведеновский переулок, д. 8
-
Бауманская, Красносельская, Электрозаводская
-
пн-вс с 8:00 до 22:00
-
- МРТ Siemens MAGNETOM Aera, 1.5 Тл, полуоткрытый
Цены:
-
ул. Нагатинская, д. 1, стр. 25
-
Нагатинская, Верхние Котлы, Нагорная
-
пн-вс с 7:00 до 01:00
-
- МРТ General Electric Signa HD, 2012 года, 1.5 Тл, закрытый
Цены:
-
ул. Привольная, д. 70, корп. 1
-
Котельники, Жулебино
-
пн-сб с 9:00 до 21:00, вс с 9:00 до 20:00
-
- МРТ AILAB MagFinderII, 0.32 Тл, открытый
Цены:
-
ул. Волочаевская д. 15, стр. 1
-
Площадь Ильича, Римская, Москва Товарная
-
пн-вс с 8:00 до 21:00
-
- МРТ Philips Ingenia, 1.5 Тл, полуоткрытый
- КТ Philips Ingenuity Elite, 128 срезов
Цены:
-
Волгоградский пр-т, д. 45
-
Текстильщики, Новохохловская, Угрешская
-
пн-вс с 9:00 до 21:00
-
- МРТ Philips Intera, 1.5 Тл, закрытый
- КТ Philips Brillians, 64 срезов
Цены:
-
ул. Автозаводская, д. 23, корп. 9
-
ЗИЛ, Автозаводская, Тульская
-
пн-вс с 8:00 до 22:00
-
- МРТ Philips Intera, 2013 года, 1.5 Тл, полуоткрытый
- КТ General Electric LIGHT SPEED, 64 срезов
Цены:
-
ул. Летчика Бабушкина, д. 48 Б
-
Бабушкинская, Медведково
-
пн-вс круглосуточно
-
- МРТ Siemens Magnetom Essenza, 2014 года, 1.5 Тл, закрытый
- КТ Siemens Perspective, 2014 года, 128 срезов
Цены:
-
ул. Профсоюзная, д. 114
-
Беляево, Коньково, Калужская
-
пн-вс круглосуточно
-
- МРТ General Electric , 3.0 Тл, закрытый
- КТ Siemens Somatom Emotion, 6 срезов
Цены:
-
Ленинский пр-т, д. 146
-
Юго-Западная, Тропарево, Проспект Вернадского
-
пн-вс круглосуточно
-
- МРТ Siemens Magnetom Symphony , 2012 года, 1.5 Тл, закрытый
- КТ Siemens SOMATOM Emotion, 6 срезов
Цены:
-
площадь Собина, д. 1
-
Долгопрудная, Новодачная, Водники
-
пн-пт с 8:00 до 22:00, сб-вс с 10:00 до 18:00
-
- МРТ Siemens Magnetom, 1.0 Тл, полуоткрытый
Цены:
Содержание
Недостатком можно назвать разве что то, сколько стоит МРТ поджелудочной железы —данное исследование относится к дорогостоящим. Тем не менее, возможности МРТ это оправдывают: магнитно-резонансный томограф позволяет получить подробное трехмерное изображение исследуемого органа, на котором возможно рассмотреть даже мелкие патологии и новообразования. При этом метод неинвазивен, не причиняет ни малейшего дискомфорта и не создает лучевой нагрузки.
Из всех органов брюшной полости поджелудочная железа относится к одним из самых сложных в обследовании: ее заболевания затруднительно диагностировать. Зачастую симптомы на начальных стадиях оказываются слабовыраженными и ярче проявляются лишь при активном развитии патологического процесса. МРТ-обследование является единственным, позволяющим выявить болезнь на ранних стадиях, что поможет предотвратить развитие. По этой причине при подозрениях на заболевания поджелудочной имеет смысл незамедлительно пройти МР-томографию.

МРТ поджелудочной железы: показания
МР-томография дифференцирует опухоли, выявляет кровотечения, диагностирует камни в протоках, является средством динамического контроля хода постоперационного периода после резекции опухоли.
Если делать МРТ поджелудочной железы в Москве и СПб, для выявления описанных нозологий врачи-радиологи предлагают комбинированный алгоритм с использованием взвешенного сканирования, динамического контрастного усиления, холангиопанкреатографии.
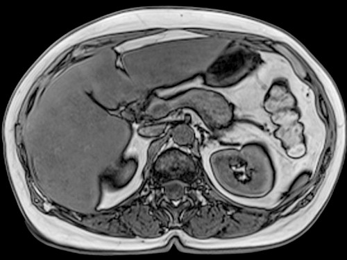
МРТ поджелудочной железы: что показывает
Нозологические формы, поражающие верхние отделы желудочно-кишечного тракта, многообразны. Смертельную опасность представляют опухоли (инсулинома, гастринома, глюкагонома, ППома, ВИПома, соматостатинома). С помощью мрт печени и поджелудочной железы (холангиопанкреатография) удается выявить раки диаметром более 1 мм. Для верификации метастазов в отдаленные и близлежащие лимфоузлы, оценки размеров патологического очага назначается динамическое усиление (МР-ангиография).
Воспалительные процессы, которые показывает МРТ:
- Панкреонекроз;
- Панкреатит (острый и хронический).
При данных нозологиях наблюдается увеличение или уменьшение размеров органа, гибель части паренхимы, кровоизлияния.
Какие аномалии показывает магнитно-резонансная томография поджелудочной железы:
- Неправильное положение – кольцевидное, добавочная доля;
- Эмбриональные аномалии – расщепление железы, задний сегмент;
- Недоразвитие ткани;
- Искривление протока.
Сложности с выявлением аномалий строения железы и протоков возникают из-за отсутствия специфической клиники. Нарушение переваривания пищи – неспецифичный признак, не позволяющий сделать МРТ поджелудочной железы целенаправленно.
При травмах левого подреберья развивается разрыв капсулы, повреждение протока на большом протяжении, что выявляется только на магнитно-резонансных томограммах.
Сканирование определяет не только все патогенетические звенья патологического процесса, но и осложнения – компрессия селезеночной и нижней полой вены, псевдокистозные полости, тромбофлебит.
Панкреатические ферменты агрессивны, повышаются в крови при панкреатите, способны уничтожать ткани. Энзимы разрушают протеины, способствуют присоединению бактериальной флоры.
Магнитно-резонансное обследования показывает другие заболевания поджелудочной железы – кисты, аневризмы, псевдокистозные полости.
МРТ поджелудочной железы с контрастом
Перед контрастным исследованием брюшной полости пациенту не рекомендуется принимать пищу за 12 часов. Соли редкоземельного металла гадолиния редко вызывают аллергические реакции.
Для предотвращения осложнения вначале проводится провокационный тест. Вводится небольшая доза препарата, оцениваются кожные проявления. При отсутствии изменений здоровья процедура продолжается. Опасно вводить контраст пациентам с бронхиальной астмой, анафилактическим шоком в анамнезе.
Основная целью контрастирования – оценка васкуляризации для верификации рака поджелудочной железы, оценки местной микроциркуляции. Злокачественные новообразования интенсивно кровоснабжаются за счет образования собственных капилляров, хорошо визуализируются при МР-ангиографии.
Сканирование позволяет дифференцировать истинные и ложные кисты.
МРТ поджелудочной железы: подготовка
Существенных ограничений в образе жизни и питании на подготовительном этапе не требуется. Можно принимать лекарства для лечения других болезней.
Заранее сообщите врачу о наличии беспокойства, боязни замкнутых пространств. Специалисты назначат успокаивающий препарат, позволяющий спокойно пройти сканирование.
Перед томографией нужно снять все предметы – серьги, ювелирные изделия, зубные протезы, шпильки, пирсинг, булавки, слуховой аппарат.
При вопросе, делают ли МРТ поджелудочной железы, при наличии искусственного клапана сердца, ответ однозначный – нет.
Противопоказания к магнитно-резонансной диагностике:
- Имплантированные помпы;
- Сосудистые стенты;
- Клипсы при аневризмах;
- Металлические пластины, спицы, штифты;
- Хирургические скобы;
- Пулевые фрагменты;
- Нервные стимуляторы.
Желчь содержит много атомов водорода, поэтому нет необходимости дополнительного контрастирования при МР-томографии желчного пузыря. Усиление делают для оценки степени васкуляризации при подозрении на онкологическое образование.
Итоговая цена МРТ поджелудочной железы складывается из разных составляющих: использования контраста (вещества, позволяющего сделать снимок более четким), побочного проведения холангиографии и т.п. Единственным однозначным противопоказанием к исследованию является наличие в организме металлических элементов (кардиостимуляторов, протезов). Показания к проведению МРТ — частые боли в желудке, нарушения пищеварения, подозрение на опухоли.
Городская Служба записи на МРТ и КТ
Консультация по общим вопросам диагностики
Запись по всем районам города
Услуги Службы записи бесплатны для пациента
МРТ поджелудочной железы с контрастом