МРТ головы – цены недорого, где лучше сделать в Москве, что показывает
Прежде чем принимать окончательно решение и отправляться на МР-томографию, стоит для начала определить: что это по сути есть, кому и зачем вообще надо делать МРТ головы? Следует заметить, что в это определение включается изучение посредством томографа достаточно большого числа различных структур, потому направление на магнитно-резонансную томографию могут получить пациенты с достаточно разнообразными заболеваниями и симптомами. Здесь могут быть исследованы как различные участки мозга, такие как эпифиз или гипофиз, так и сосуды, и многое другое.
Где недорого сделать МРТ головы в Москве
Мы регулярно обзваниваем диагностические центры в Москве и обновляем нашу таблицу минимальных цен.
Записаться по минимальный ценам можно через городскую Справочную, позвонив по
телефону:
8 (499) 110-68-43
(каждый день с 7 до 23)
Что исследуют при МРТ головы
Этот метод позволяет врачам провести тщательное обследование головы, досконально изучив строение её тканей и возникновение в них каких-либо патологий. Благодаря мощному оборудованию, проблемные участки глазных орбит, щитовидной железы, пазух носа, гипофиза, головного мозга сканируются и отображаются на мониторе компьютера. Также с помощью мр-томографии проводят оценку состояния кровяного русла.
-
ул. Маросейка, д. 2/15, стр. 1
-
Китай-город, Лубянка, Площадь Революции
-
пн-вс с 8:00 до 22:00
-
- КТ Philips Brilliance CT, 16 срезов
- МРТ Philips Achieva, 1.5 Тл, полуоткрытый
-
Спартаковский переулок, д. 2, стр. 11
-
Красносельская, Бауманская, Комсомольская
-
пн-пт с 8:00 до 21:00, сб-вс с 9:00 до 21:00
-
- КТ Siemens SOMATOM go.Up, 32 срезов
- МРТ SIEMENS MAGNETOM ALTEA, 1.5 Тл, полуоткрытый
Цены:
-
Подсосенский переулок, д. 17
-
Чкаловская, Курская, Китай-город
-
пн-пт с 9:00 до 21:00, сб-вс с 10:00 до 18:00
-
- МРТ Philips Achieva Intera, 1.5 Тл, полуоткрытый
- КТ Toshiba Aquilion CXL, 128 срезов
Цены:
-
Химки, ул. Совхозная, д. 4, стр. 1
-
Ховрино
-
круглосуточно
-
- КТ Siemens Healthineers SOMATOM, 64 срезов
- МРТ Siemens , 1.5 Тл, закрытый
Цены:
-
ул. Полковая, д.12, корп. 1
-
Савеловская, Марьина Роща, Дмитровская
-
пн-вс с 8:00 до 20:00
-
- МРТ General Electric Optima MR360, 1.5 Тл, закрытый
Цены:
-
ул. 15-ая Парковая, д. 5
-
Первомайская, Измайловская, Щелковская
-
пн-пт с 8:00 до 21:00, сб с 9:00 до 20:00, вс с 10:00 до 19:00
-
- МРТ Siemens Magnetom Impact Expert, 1.5 Тл, закрытый
Цены:
-
Борисовский проезд, д. 15, корп. 1, стр. 2
-
Шипиловская, Борисово, Домодедовская
-
пн-пт с 8:00 до 21:00, сб с 9:00 до 21:00, вс с 10:00 до 19:00
-
- МРТ Siemens MAGNETOM Symphony, 1.5 Тл, полуоткрытый
Цены:
-
ул. 2-я Владимирская, д. 2
-
Перово, Шоссе Энтузиастов, Соколиная Гора
-
пн-вс с 8:00 до 22:00
-
- МРТ Siemens Magnetom Symphony, 1.5 Тл, полуоткрытый
Цены:
-
ул. Люсиновская, д. 53, корп. 2
-
Шаболовская, Серпуховская, Тульская
-
- КТ General Electric VCT, 64 срезов
- МРТ Siemens Avanto TIM, 1.5 Тл, полуоткрытый
-
ул. Садовническая, д. 11, стр. 10 А
-
Новокузнецкая, Третьяковская, Китай-город
-
пн-вс с 7:00 до 23:00
-
- МРТ Philips Intera, 2011 года, 1.5 Тл, закрытый
Цены:
-
Переведеновский переулок, д. 8
-
Бауманская, Красносельская, Электрозаводская
-
пн-вс с 8:00 до 22:00
-
- МРТ Siemens MAGNETOM Aera, 1.5 Тл, полуоткрытый
-
ул. Нагатинская, д. 1, стр. 25
-
Нагатинская, Верхние Котлы, Нагорная
-
пн-вс с 7:00 до 01:00
-
- МРТ General Electric Signa HD, 2012 года, 1.5 Тл, закрытый
Цены:
-
ул. Привольная, д. 70, корп. 1
-
Котельники, Жулебино
-
пн-сб с 9:00 до 21:00, вс с 9:00 до 20:00
-
- МРТ AILAB MagFinderII, 0.32 Тл, открытый
-
ул. Волочаевская д. 15, стр. 1
-
Площадь Ильича, Римская, Москва Товарная
-
пн-вс с 8:00 до 21:00
-
- МРТ Philips Ingenia, 1.5 Тл, полуоткрытый
- КТ Philips Ingenuity Elite, 128 срезов
Цены:
-
Волгоградский пр-т, д. 45
-
Текстильщики, Новохохловская, Угрешская
-
пн-вс с 9:00 до 21:00
-
- МРТ Philips Intera, 1.5 Тл, закрытый
- КТ Philips Brillians, 64 срезов
-
ул. Автозаводская, д. 23, корп. 9
-
ЗИЛ, Автозаводская, Тульская
-
пн-вс с 8:00 до 22:00
-
- МРТ Philips Intera, 2013 года, 1.5 Тл, полуоткрытый
- КТ General Electric LIGHT SPEED, 64 срезов
-
ул. Летчика Бабушкина, д. 48 Б
-
Бабушкинская, Медведково
-
пн-вс круглосуточно
-
- МРТ Siemens Magnetom Essenza, 2014 года, 1.5 Тл, закрытый
- КТ Siemens Perspective, 2014 года, 128 срезов
-
ул. Профсоюзная, д. 114
-
Беляево, Коньково, Калужская
-
пн-вс круглосуточно
-
- МРТ General Electric , 3.0 Тл, закрытый
- КТ Siemens Somatom Emotion, 6 срезов
Цены:
-
Ленинский пр-т, д. 146
-
Юго-Западная, Тропарево, Проспект Вернадского
-
пн-вс круглосуточно
-
- МРТ Siemens Magnetom Symphony , 2012 года, 1.5 Тл, закрытый
- КТ Siemens SOMATOM Emotion, 6 срезов
-
площадь Собина, д. 1
-
Долгопрудная, Новодачная, Водники
-
пн-пт с 8:00 до 22:00, сб-вс с 10:00 до 18:00
-
- МРТ Siemens Magnetom, 1.0 Тл, полуоткрытый
Цены:
Содержание
Для чего нужно МРТ головы?
Магнитно-резонансная томография головы применяется для выявления или отслеживания развития следующих заболеваний: заболевания гипофиза, инсульты, заболевания центральной нервной системы, такие как рассеянный склероз, онкологические заболевания, сосудистые аномалии и прочие подобные. Также с большой долей вероятности именно на МРТ головного мозга направят пациента с хроническими головными болями неясного характера или перенесшего черепно-мозговую травму. Магнитно-резонансная томография полезна для изучения хрящей, например, слухового прохода.
Магнитно-резонансная томография является хорошим способом анализа состояния не только головного мозга – она также способна помочь при исследовании других структур. В понятие "МРТ головы" входит также обследование черепно-мозговых нервов, носовых пазух и глаз. Единственное, для чего МРТ подходит мало - это снимки непосредственно костей черепа: более данный метод является пригодным для мягких тканей, костная же ткань на МРТ-снимках видна значительно хуже. При необходимости обследования кости лучше обратить свое внимание на компьютерную томографию.
Когда нужно делать МРТ головы?
Поиски магнитно-резонансной томографии – это в первую очередь поиск патологий развития, опухолевых заболеваний, воспалений тканей, инсультов, особенностей развития и так далее. Проходить подобное обследование имеет мало смысла без понимания, где может оказаться очаг заболевания.
Впрочем, если подобное подозрение все равно беспокоит, записаться на МРТ вполне допустимо – это позволит однозначно убедиться в том, имеют ли они основания или же совершенно беспочвенны. Ответ на вопрос, вредно ли делать МРТ головного мозга – однозначно нет, пройти процедуру без назначения врача и просто для собственного успокоения можно без какого-либо страха навредить.
Другой вопрос в том, какой вред томография способна причинить человеку с установленным кардиостимулятором или кохлеарным имплантом. Эти два пункта являются единственным категорическим противопоказанием для МРТ. Другие металлические импланты могут оказаться вполне допустимы, однако перед обследованием о них обязательно необходимо сообщить врачу.
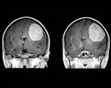
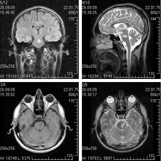
МРТ врачи применяют при подозрении на опухоль головного мозга, заболевание гипофиза, глаз и внутреннего слухового прохода.
Проводить мрт сосудов головы и шеи рекомендовано при головокружении и постоянных головных болях, когда результаты КТ не точные. Так как корнями возникновения этих симптомов может быть патология сосудов шеи, а не только изменения мозга и его сосудов. А заднюю часть мозга, также шейный отдел лучше диагностировать путём МРТ.
При инфекционном артрите или артрозе следует проводить мрт костей черепа. К тому же череп тщательно обследовать надлежит перед хирургическими операциями (протезирование зубов, установка имплантов).
Для оценки кровеносных сосудов или при обнаружении рака при мрт применяют контрастирование, с его помощью изображения на снимках получаются более качественными. Правда, цена мрт головы с контрастом дороже, чем без него.
Об МРТ
Магнитно-резонансная томография (МРТ) является неинвазивным, то есть не требующим нарушения целостности кожного покрова, методом обследования. На сегодняшний день МРТ можно смело назвать самым современным и высокотехнологичным способом, подходящим для большинства структур организма, таких как органы, сосуды, мягкие ткани. В основе метода – использование магнитного поля, которое помогает получить детальное изображение организма человека. По уровню чувствительности этот метод превосходит все прочие, давая наиболее подробную и отчетливую картинку.
Большим достоинством МРТ-исследования является отсутствие ионизирующего излучения, вредного для человека, потенциально способного вызывать онкологические заболевания. Помимо очевидного, это преимущество позволяет проводить МРТ столько раз, сколько необходимо для получения максимально точного результата – тогда как рентген-методы имеют строгое ограничение по числу проводимых обследований в год. Также радует небольшой перечень противопоказаний, значительно меньший, чем у прочих сходных методик.
Виды МРТ головы
Магнитно-резонансное исследование головы стало прорывом в диагностической медицине. На данный момент это самый эффективный метод диагностики головного мозга. Современные МР-томографы, делая миллиметровые срезы, способны визуализировать мельчайшую патологию, включая точечные метастазы. А новые, специализированные методики исследования, такие как спектроскопия, диффузионная трактография, дают возможность понять процессы, происходящие в мозговом веществе и проводящих путях. Кроме того, МРТ доступна уникальная методика бесконтрастной ангиографии, когда при применении различных режимных протоколов отпадает необходимость во внутривенном контрастировании. О том, как проводят МР-исследование головы, головного мозга, гипофиза и мягких тканей, когда необходим контраст, а также какими современными диагностическими возможностями обладают высокопольные аппараты, Вы узнаете на нашем сайте.
МРТ головного мозга длительность процедуры
Магнитно-резонансная томография – это одна из инновационных технологий в неинвазивной современной диагностики, которая построена на явлениях магнитного резонанса. Магнитно-резонансная томография головы позволяет получить высокоинформативные данные по свравнению с другими диагностическими мероприятиями и проводится при различных патологиях головного мозга, нарушениях работы ведущих отделов головного мозга и пр.
Сколько по времени делают МРТ головного мозга?
Такой вопрос задают многие пациенты, которым предстоит пройти данный вид обследования. Чтобы ответить на него, необходимо учитывать все особенности такой процедуры. Сколько по времени идет МРТ головного мозга зависит от многих индивидуальных особенностей. Диагностика состоит из нескольких этапов:
- Подготовка
- Обследование
- Получение результатов
Этап подготовки у каждого пациента может отличаться по продолжительности. Классический вариант представляет собой подготовку самого тамографа и пациента. Пациенту необходимо прийти за 15-20 минут до начала диагностического осмотра для того, чтобы переодеться в удобную одежду, т.к. диагностика требует находиться в неподвижном горизонтальном положении на протяжении длительного времени, снять с себя различные металлические предметы - кольца, серьги, цепочку или металлические зубные протезы. Если по каким либо причинам пациенту необходимо ввести седативные или снотворные препараты, например, больным клаустрофобией, детям или людям с нарушениями координации движения, то время процедуры продлевается ещё на 15-20 минут.
Сколько минут длится обследование головы, ведущих структур, сосудистых сплетений при помощи МРТ, зависит от предварительного диагноза и глубины обследования, в среднем – это от 20 до 60 минут.
Получение результатов МРТ обследования по времени занимает от 2х часов, зависит от индивидуальных особенностей диагностики.
Какой томограф лучше для МРТ головного мозга
Открытие явления магнитного резонанса позволило человечеству сделать огромный шаг в визуализации головного мозга и показало новые горизонты в диагностике патологии нервной системы. Для ряда заболеваний, например, для рассеянного склероза, магнитно-резонансная томография это единственный метод диагностики. Несмотря на то, что эта методика является довольно молодой, в своём развитии она прошла огромнейший путь, создавая различные режимы для диагностики и постоянно совершенствуя МР-устройства. На каком томографе делать МРТ головного мозга мы расскажем в этой статье.
В зависимости от силы индукции магнитного поля (проще говоря мощности) различают томографы:

- Низкопольные (до 0,5 Тесла (Тл))
- Среднепольные (до 1,5 Тл)
- Высокопольные (от 1,5 до 3Тл и более)
Существуют также аппараты с мощностью 4-5 Тл, но ввиду дороговизны обслуживания применяются они только в научно-исследовательских лабораториях. Единственный существующий аппарат в 7 Тл (Германия) используется как инновационный метод изучения эпилепсии. При использовании устройств первых двух классов, к сожалению, невозможно получить снимки достаточного разрешения. По этой причине золотым стандартом в XXI веке становится исследование мозга на томографе высокой мощности.
Преимущества высокопольных томографов
При сложности дифференцировки одной ткани от другой этот аппарат даёт врачу возможность менять режимы визуализации (Т1, Т2, Tirm, Stir), благодаря чему эти ткани становятся различимыми по цвету. Меняя протокол исследования на Т1-взвешенные изображения, лучше различимыми становятся объекты с повышенным содержанием жировой ткани и крови. Используя протокол Т2-взвешенных изображений можно без труда определить отечную ткань и инфильтративный процесс. Применение мощности при МРТ головы в 3 Тесла также даёт возможность изучения метаболических процессов, исследования динамики ликвора и проведения ангиографии. Кроме того, точность диагностики может быть повышена путем внутривенного введения контраста. Вводимый препарат полностью безопасен для пациента, применяют его для характеризации процессов, сопровождающихся патологическим образованием сосудов (опухоли, воспаление, мальформации).
Типы МР-томографов
Существуют устройства закрытые и открытые.
- Аппарат закрытого типа представляет собой большого размера цилиндр, в который помещается пациент, лежащий на деке стола. Они предпочтительнее для диагностики, так как они являются высокопольными, и, следовательно, являются самыми мощными. Это позволяет получать изображения самого высокого разрешения. Время обследования в таких камерах сводится к минимальному. Однако закрытое МРТ не подойдет для больших людей (весом более 150 кг) и страдающих клаустрофобией. Маленьким детям, ввиду необходимости лежать неподвижно, обследование проводится путем введения в безопасный медикаментозный сон.
- Аппараты открытого типа состоят из стола, на который помещается пациент, а магнитных рамок, находящихся сверху и снизу, боковые стороны свободны для обзора. В таких томографах будет комфортно людям любой комлекции и страдающим клаустрофобией. Недостаток таких устройств – это продолжительность исследования и, главное, невозможность получить изображение высокого разрешения.
Подводя итог, можно сделать однозначный вывод, что устройства закрытого типа (высокопольные) требуют высоких финансовых затрат и постоянного технического контроля, они являются единственной возможностью для высокочувствительной и специфичной визуализации патологии ткани и сосудов мозга.
Что лучше КТ или МРТ головного мозга?
В XXI веке наряду с проверенными десятилетиями методиками исследования головного мозга всё большее развитие получают новые, максимально информативные методы диагностики патологий на разных стадиях. К таким методам безусловно относят компьютерную томографию (КТ) и магнитно-резонансную томографию (МРТ). Столкнувшись с необходимостью проведения исследования перед пациентом встаёт вопрос- что же выбрать, КТ или МРТ?
Схожесть в КТ и МРТ головного мозга
- Томография головного мозга позволяет увидеть послойные срезы толщиной до 1 мм, причем в МРТ получить их можно из наиболее информативной проекции.
- Возможность создания компьютерной 3D-реконструкции для лучшей визуализации исследуемой области.
- В обеих методиках по показаниям применяется контрастное вещество.
Отличие КТ от МРТ головного мозга
- Главное отличие заключается в принципе работы. КТ основана на том, что различные по плотности ткани по-разному задерживают в себе рентгеновские лучи, и специальные детекторы аппарата эту самую разницу улавливают и формируют в итоге контрастное изображение.
- МРТ же в свою очередь базируется на различиях в физико-химических свойствах тканей, а не в их плотности. В частности, важно различное содержание атомов водорода в тканях. Электромагнитное поле томографа приводит эти атомы в движение, в результате чего их можно посчитать специальными количественными датчиками. Чем больше водорода в ткани, тем лучше виден контраст с окружающими тканями
- Рентгеновское излучение, применяемое при компьютерной томографии головного мозга, оказывает некоторое лучевое воздействие, в то время как МРТ абсолютно безвредно.
Что же информативнее?
Как указывалось ранее, чем больше водорода в тканях, тем информативнее магнитно-резонансная томография. Больше всего водорода содержит вода, а орган, наиболее всего заполненный водой- это мозг! Он состоит из воды на 90%! Поэтому МРТ является золотым стандартом в исследовании головного мозга (наряду со спинным мозгом, мягкими тканями и связками суставов). В этом и состоит разница между КТ и МРТ головного мозга. КТ же в свою очередь является золотым стандартом в исследовании костей, лёгких и органов грудной клетки.
МРТ позволяет наиболее точно диагностировать:
- нарушения мозгового кровообращения (ишемические и геморрагические инсульты)
- доброкачественные и злокачественные опухоли любой локализации, в т.ч. гипофиза
- воспалительные процессы мозга (абсцессы, менингоэнцефалиты)
- демиелинизирующие процессы (рассеянный склероз)
КТ более информативна:
- при травмах мозга и костей черепа и свода с образованием внутричерепных гематом
- при атеросклеротическом поражении сосудов мозга и аневризмах
- при отитах, синуситах, при оценке пирамид височных костей
МРТ или рентген головного мозга?
Ответ на этот вопрос однозначен: рентгенография не может составить альтернативу МРТ, так как ни коем образом не позволяет рассмотреть структуру головного мозга. Являясь мягкотканным органом, он не поглощает рентгеновские лучи, они просто проходят сквозь него, рентгенография позволяет оценить лишь состояние костей черепа, пазух, зубочелюстную систему.
МРТ или УЗИ сосудов головного мозга?
УЗИ сосудов мозга хоть и даёт возможность при достаточной визуализации выявить аневризму, изменение кровотока, стеноз артерии и её атеросклеротические поражения, но также не может составить конкуренцию МРТ. Причин тому минимум три:
- УЗИ дает ясное представление лишь о состоянии крупных сосудов, в то время как более мелкие могут скрываться за элементами костей черепа;
- Отсутствие данных о патологии не позволяют исключить саму патологию;
- Не даёт в полной мере оценить состояние окружающих сосуды тканей из-за низкого разрешения метода.
Бо’льшую ценность УЗИ представляет в педиатрии, нежели у взрослых, когда через открытые роднички оцениваются структуры мозга.
КТ и МРТ: сложности проведения и противопоказания
КТ, являясь методом лучевой диагностики, оказывает ионизирующее воздействие на организм. Хоть это воздействие и минимизировано за счет того, что облучению подвергается только голова, этот метод является абсолютным противопоказанием для проведения у беременных.
МРТ в свою очередь не проводится пациентам с металлическими деталями на теле и в организме (железные клипсы и скобы, наложенные на сосуды мозга, ферромагнитные сплавы, применяемые в стоматологии, водители ритма и прочее). К относительным противопоказаниям относятся первый триместр беременности и эпилепсия (резкий шум томографа может спровоцировать приступ).
Стоит помнить также, что магнитно-резонансное исследование значительно по времени и требует от пациента полной неподвижности, что делает этот метод затруднительным в применении у маленьких детей.
Как подготовиться к процедуре?
Вполне возможно, что в больнице, где можно сделать МРТ головы, пациента попросят надеть специальную рубашку. Однако это не является необходимым или обязательным условием: в случае, если одежда свободная и не имеет металлических застежек (что особенно важно - любой металл, включая имплантированый в тело, является категорическим противопоказанием), она вполне пригодна для МРТ. Лучше всего будет сразу озаботиться поиском именно такой одежды перед обследованием, на случай, если в больнице не окажется сменной. Также лучше, если она будет удобна: так как проверка на МР-сканере довольно длительная, удобство пациента играет не последнюю роль.
График приема пищи и медикаментов перед обследованием полностью определяется врачом и зависит от вида МРТ головы. Большинство исследований не требуют никакой особенной диеты – такие как МРТ придаточных пазух носа, головного мозга и большинство прочих. Однако любое исследование будет необходимо проводить натощак в случаях, если для него применяется контрастное вещество, которое должно будет сделать итоговые снимки более четкими. Сейчас для МРТ используется контраст на основе гадолиния, который менее токсичен, чем йодовый.
Перед обследованием врач должен быть поставлен в известность о недавно перенесенных операциях, текущей беременности, любых заболеваниях, которыми страдает пациент – некоторые из них могут налагать запрет на процедуру. Так, например, заболевания почек полностью исключат использование контраста, а при некоторых других необходимо будет пройти дополнительные анализы, дабы избежать осложнений. Также проблемой может стать клаустрофобия, так как аппарат МРТ является обычно закрытым и в нем необходимо не двигаться не меньше 15-20 минут.
МРТ головы: вред, противопоказания, побочные действия
В исследованиях головного мозга и других структур, размещающихся в области головы, МРТ – это одна из самых востребованных диагностических процедур. Однако многих пациентов тревожит вопрос – кому нельзя делать МРТ головного мозга? Существуют ли ограничения по прохождению магнитно-резонансной томографии, больно ли проходить обследование?
Разумеется, как и любое прочее, это обследование также имеет свои противопоказания к проведению. Список таковых у магнитно-резонансной томографии достаточно скромный, однако он все же присутствует. Перед записью на обследование будет нелишне заранее выяснить все существующие ограничения и возможные проблемы.
Опасно ли делать МРТ?
Вопрос о том, опасен ли МРТ головного мозга, возникает одним из первых у каждого, кто впервые идет на процедуру. Многих тревожит возможное вредное облучение от работающего аппарата – об этом можно совершенно не волноваться: магнитно-резонансная томография осуществляется по совершенно другому принципу.
Так как МРТ производится с помощью магнитного поля, которое воздействует на ткани, этот метод совершенно безопасен. Ионизирующему облучению при МРТ головного мозга, в отличие от компьютерной томографии, пациент не подвергается. Это, пожалуй, можно считать самым большим преимуществом МРТ перед другими диагностическими методиками.
Насколько вредно МРТ головного мозга?
Любого человека, впервые собирающегося пройти магнитно-резонансную томографию, может обеспокоить – насколько вредно МРТ головного мозга? Учитывая, что "собрат" этого обследования, компьютерная томография, не является совершенно безопасной диагностической процедурой, вопрос становится вполне понятен.
Однако для волнения нет совершенно никаких причин! МРТ спокойно можно проводить даже грудным младенцам: это абсолютно безопасный метод, который не имеет никаких побочных последствий, безболезненный, не требующий особенной подготовки и при этом обладающей удивительно высокой информативностью.
Принцип действия МРТ
Первое сканирование организма человека с помощью МРТ было проведено в 1977 году, и это событие навсегда перевернуло медицину. Сейчас невозможно представить, как бы врачи лечили многие заболевания без томографии! Основателем этого диагностического метода считается химик Пол Лотербур.
Как понятно из названия, этот метод основывается на использовании мощного магнитного поля. МР-томографы делятся на три типа, низкопольные (до 0,2 Тесла), среднепольные (от 0,2 до 0,6), высокопольные (до 1,5 Тл) и сверх-высокопольные (от 3,0 до 7,0 Тл; впрочем, последние пока не используются массово). Мощность никак не влияет на воздействие поля на организм, не стоит бояться выбирать более сильный аппарат.
Данный метод использует для создания подробного послойного изображения органа принцип ядерного магнитного резонанса. Пусть слово "ядерный" не пугает и не вызывает вопросов, вредно ли МРТ головы – в отличие от метода компьютерной томографии, который действительно создает мизерную долю ионизирующего облучения, МРТ не дает на организм лучевой нагрузки.
МРТ головы
Магнитно-резонансная томография головы включает в
себя достаточно большое число отдельных исследований. Все эти виды диагностики можно провести в комплексе (вероятнее всего, именно такое направление и даст врач, если нет четкой уверенности в месте патологии) или же по отдельности.
В крайне общее определение "МРТ головы" на деле входят такие обследования, как томография гипофиза, головного мозга и его сосудов, глазных орбит, придаточных носовых пазух. Пройти обследование можно самостоятельно, но лучше всего делать это по направлению своего лечащего врача.
Причина этого весьма проста: например, головные боли, при определенных условиях однозначно способные стать показанием к МРТ, могут оказаться вызваны причинами, которые не способен обнаружить томограф: стрессом и нервным перенапряжением, напряжением мышц шеи и многими другими проблемами. Только врач способен определить, стоит ли вообще проходить МРТ.
Побочные эффекты МРТ головного мозга
В вопросе о возможных побочных действиях стоит разграничить два момента: побочные эффекты самой томографии и контрастирующего вещества. Непосредственно само обследование не имеет побочных действий, хотя стресс во время проведения МРТ может вызывать некоторое кратковременное ухудшение самочувствия. Сама же диагностика безопасна и совершенно безболезнена.
Другой вопрос – воздействие контраста. При необходимости для большей четкости снимков пациенту может быть введено специальное вещество, обычно с содержанием металла гадолиния. Данный препарат практически гипоаллергенен и редко вызывает какие-либо негативные реакции. Однако он может оказаться противопоказан пациентам с почечной недостаточностью – об этом заболевании врача следует оповестить до исследования и пройти анализ крови.
Как часто нужно делать МРТ головного мозга?
Ответ на этот вопрос вытекает из предыдущих. Так как магнитно-резонансная томография совершенно безвредна и не имеет побочных эффектов, выполнять эту процедуру можно столько раз, сколько это необходимо. Проходить обследование часто, если врач снова направляет на МРТ, не страшно – это никак не может усугубить состояние.
Повторное МРТ головного мозга благодаря этому можно производить в любое время после первого обследования и столько раз, сколько нужно. Этим МРТ намного удобнее, чем любые рентгеновские методы – из-за совсем небольшой, но все-таки дозы лучевого облучения, которое они оказывают, КТ и рентген имеют ограничение по числу процедур в год.
МРТ при беременности
Этот вопрос зачатую очень тревожит будущих мам – что делать, если врач назначил МРТ в период беременности или даже провести томографию самому ребенку? Не будет ли опасно сделать МРТ головного мозга плода при беременности? Здесь справедливо все то же: МРТ для плода совершенно безопасно, тогда как КТ и рентген проводить беременным категорически нельзя.
Тем не менее, на сроке до 12 недель, когда у плода только формируются основные системы и внутренние органы, от проведения МРТ лучше воздержаться. Чем опасно любое обследование в первом триместре - в этот период ребенок еще чрезвычайно подвержен любым внешним воздействиям. МРТ наиболее эффективно после 20 недели, до сего момента плод еще очень мал и его трудно рассмотреть.
Вопрос об МРТ головного мозга при грудном вскармливании несколько спорен: большинство врачей утверждают, что после обследования можно кормить грудью хоть сразу, однако существуют и те, кто утверждают, что сутки после лучше будет воздержаться. Единственное обоснованное опасение здесь – влияние контраста, однако ребенок получает его в настолько микро-дозе, что она никак не сможет навредить.
Зубные импланты
Значительно более обоснованы опасения носителей металлических коронок и зубных имплантов. В одном можно быть спокойными - они вряд ли причинят какой-либо вред: сила магнитного поля не настолько велика, чтобы передвинуть прочно закрепленный объект. Другое дело, что наличие зубных имплантов способно испортить снимок, "засветив" его.
Однако сейчас в стоматологии обычно используется металлокерамика – этот материал позволяет совершенно спокойно проходить магнитно-резонансную томографию. С зубными имплантами из металлокерамики качество снимка не испортится и они не причинят никакого вреда - в общем, это тот вариант, который ни разу не является противопоказанием.
Наличие металлоконструкций в челюсти или районе головы вообще никак не будет мешать обследованию всех остальных частей тела, не представляет никакой опасности и не испортит снимки. Однако обследование головного мозга с брекетами или установленными зубными имплантами не будет иметь особенного смысла.
Противопоказания и подготовка
Вопрос "что нельзя делать перед МРТ?" тоже достаточно популярен. Магнитно-резонансная томография практически не требует никакой особенной подготовки, за вычетом того случая, когда проводится с использованием контраста - тогда обследование необходимо пройти натощак, оставив последний прием пищи на вечер накануне.
МРТ нельзя делать людям с установленным кардиостимулятором или слуховым аппаратом, или любым другим установленным устройством. Также противопоказанием может стать клаустрофобия – в трубе томографа таким пациентам запросто может стать некомфортно, – или большая масса тела.
Другие часто встречающиеся опасения, вроде "можно ли делать МРТ при месячных?", не имеют под собой никаких оснований. Магнитно-резонансной томографии не стоит бояться – это одна из самых безопасных и простых для пациента диагностических процедур, которые практически не способны причинить какой-либо дискомфорт.
Комплексные обследования головы: для чего это нужно?
Магнитно-резонансная томография, один из самых надежных и универсальных современных диагностических методов, имеет огромный спектр применений. Больше всего данный метод подходит для обследования мягких тканей организма. Помимо возможности обследовать отдельные органы и участки органов (например, черепно-мозговые нервы), МРТ допускает комплексное обследование.
Проведение МРТ всего организма занимает значительно больше времени, стоит на порядок дороже, однако это позволяет провести единомоментную полную проверку состояния здоровья. Подобное исследование поможет выявить любые отклонения и патологии мягких тканей, пристутствующие в организме.
Магнитно-резонансная томография нескольких областей в комплексе назначается по одной простой причине: очагом болезни далеко не всегда оказывается то место, где болит. Так, головные боли могут оказаться связаны с проблемами сосудов головы или шеи, с шейным или грудным отделом позвоночника - сложно даже упомянуть все возможные причины сразу. Посему логичнее провести полное обследование, чем выбирать место возможной патологии "наугад".
Комплексное исследование головы
Комплексно можно пройти обследование не только всего организма, но и отдельных анатомических областей – например, МРТ головного мозга и шейного отдела позвоночника, спинного мозга, сосудов и так далее. В МРТ исследуются две и более соседствующие области.
В комплексное обследование может включаться достаточное большое количество структур организма, у пациента всегда есть возможность выбрать для себя наиболее подходящий "комплект". Так, например, обследование методом МРТ центральной нервной системы также включает в себя сразу анализ состояния сосудов головного мозга и шейного отдела позвоночника, а также может включать в себя прочие отделы.
При проведении МРТ головного и спинного мозга врачи часто рекомендуют параллельно провести обследование сосудов – это позволит сразу получить наиболее подробную картину состояния данных органов. Также при записи на обследование сосудов головного мозга рекомендуется сразу же сделать МРТ сосудов шеи – наличие патологии в одном отделе незамедлительно скажется на другом.
Для чего нужно?
Проведение комплексного обследования головного мозга и орбит, сосудов и шейного отдела позвоночника часто используется, когда пациент страдает частыми головными болями неясного характера, обмороками и головокружениями. В этом случае причиной симптомов может оказаться нарушение работы в любой из указанных областей.
Другое востребованное обследование - МРТ шейного отдела позвоночника, сочетаемое с анализом состояния сосудов шеи. Это связано с тем, что изменения в шейном отделе могут легко оказать пагубное влияние на артерии шеи и головы. Такие изменения отзываются в итоге головными болями, ощущением онемения, заложенными ушами.
При обследовании гипофиза тоже может быть назначено еще одно побочное – как правило, его сочетают с обследованием всего головного мозга. Это делается для того, чтобы исключить любые другие патологии, которые также могут приводить к гормональным сбоям.
Особенности
Несмотря на то, что обследования сразу нескольких структур стоят значительно больше, чем исследование одного органа или области, в сумме МРТ каждого органа по отдельности обойдется все же куда дороже. Зачастую клиники имеют специальные программы исследований, которые включают в себя самые востребованные комплексы анатомических областей.
Направление на подобные обследования получают как правило при общем неудовлетворении состоянием здоровья, особенно когда недомогание имеет неясную этиологию, но также его вполне можно пройти просто для того, чтобы удостовериться в состоянии своего здоровья и отсутствии каких-либо невыявленных заболеваний.
В пенсионном и предпенсионном возрасте (около пятидесяти лет) пройти МРТ всего организма имеет смысл даже без каких-либо предпосылок, чтобы удостовериться в отсутствии у себя "слабых мест". Найти их и предотвратить развитие болезни в конечном итоге будет значительно проще и дешевле, чем заниматься впоследствии лечением.
МРТ при очагах демиелинизации, глиоза, после травм головы
Ведущим методом диагностики заболеваний головного мозга является магнитно-резонансная томография. Исследование определяет воспаление, очаговое изменение вещества мозга дистрофического характера, дополнительные образования, аномалии, патологию сосудов.
Появление метода сделало революцию в психиатрии, так как специалисты более подробно изучили морфологические основы рассеянного склероза, эпилепсии, функциональные отклонения при эпилепсии, боковом амиотрофическом склерозе.
При описании, какие заболевания выявляет магнитно-резонансное сканирование, следует упомянуть практическую применимость метода при большинстве известных психиатрических и неврологических нозологий с наличием первичных морфологических внутримозговых расстройств.
Демиелинизация головного мозга на МРТ

Демиелинизирующий процесс сопровождается разрушением миелина оболочек нервных волокон. Состояние приводит к «замыканию нерва», что сопровождается аномальной передачей сигнала. На начальных стадиях клинических симптомов не возникает, но если своевременно принимать лекарства, предотвращаются осложнения.
После выявления демиелинизирующего процесса головного мозга на МРТ врачи предполагают рассеянный склероз. Для заболевания характерно множество патологических очагов, определяющих разнообразную неврологическую клинику.
МР-сканирование – лучший способ постановки диагноза. Обследование выявляет участки повышенной интенсивности в Т2 режиме с локализацией в разных отделах мозга размерами 3-30 мм. Динамическое сканирование через определенное время указывает на постепенное слияние очагов демиелинизации между собой при прогредиентном течении процесса.
При описании, как выглядит рассеянный склероз на мрт, укажем на возможность определения «свежих» и «старых» очагов на томограммах в Т1 режиме после введения контраста (магневист, омнискан) по интенсивности накопления вещества в участках поражения
Демиелинизация пирамидальных трактов прослеживается также при боковом амиотрофическом склерозе после сканирования головного и спинного мозга у 30-67% людей.
МР-обследование выявляет атрофию моторной коры. Менее информативно МРТ при разновидности бокового склероза с бульбарным синдромом.
Городская Служба записи на МРТ и КТ
Консультация по общим вопросам диагностики
Запись по всем районам города
Услуги Службы записи бесплатны для пациента
Дистрофические заболевания мозга на МРТ
Очаговая дистрофия мозга провоцируется множеством нозологических форм – инфекциями, повреждением сосудов, межпозвонковой грыжей шеи.
При ответе читателям – показывает ли МРТ защемление нерва – ответ будет положительным. Именно отсутствие оптимальной нервной иннервации становится причиной дистрофических расстройств позвоночника и мозга.
Клинические признаки патологии зависят от расположения очага дегенерации, но чаще всего проявляются нарушением двигательной активности, психомоторных реакций.
На томограммах картина единичных очаговых изменений наблюдается при ряде патологий:
- Расстройства микроциркуляции по системе позвоночной артерии при болезнях шеи – смещение позвонков, унковертебральный артроз, атеросклероз сосудов;
- Повышенное артериальное давление (особенно после перенесенного криза). Если динамическое сканирование указывает на увеличение числа «белых пятен», предполагается прогрессирование гипертензии.
Множественные очаги при сканировании по программе эпилепсия указывают на морфологические отклонения в зонах моторной активности. Изменения помогают установить диагноз на начальном этапе.
Международная противоэпилептическая лига рекомендует назначать МРТ для первичной постановки диагноза или дифференциальной диагностики болезней. Заключение позволит установить причину эпилептических припадков – опухоли, изменения после инсульта, отеки мозговой паренхимы, паразитарные инвазии.
Для склероза рассеянного, эпилепсии характерно наличие очагов глиоза – участков замещения поврежденных нервных волокон глиальными клетками. Аналогичная морфологическая картина возникает при менингите, туберозном склерозе, саркоидозе, родовых травмах, гипоксии. Даже токсоплазмоз на мрт головного мозга обуславливает разрастание глиозных элементов в участках поражения белого вещества.
При диагностике зон глиоза лечащие врачи могут установить ошибочный диагноз, так как симптоматика может быть обусловлена другими изменениями. Наличие глиальных скоплений – это не нозологическая форма, а лишь повод для всестороннего тщательного изучения пациента. Небольшие глиозные разрастания – это больше норма, чем патология.
Диагностика врожденной патологии головного мозга на МРТ
Зачатки будущей мозговой патологии закладываются внутриутробно. Под влиянием генетических факторов или внешнего воздействия на формирующиеся ткани плода возникают определенные изменения, проявляющиеся через несколько лет после рождения. Обнаружение ранних аномалий головного мозга на мрт позволяет спрогнозировать будущую патологию, предотвратить развитие симптоматики. По распространенности выделяют генерализованные и очаговые поражения коры, желудочков, стволовых структур. Рассказать, какие заболевания выявит мрт мозга при аномалиях развития, сложно. Комплекс морфологических расстройств обширный, приводящий к разнообразной неврологической и психической симптоматике.
Важность магнитно-резонансной томографии заключается в диагностике начальных изменений задолго до проявлений, определения этиологических факторов мигрени.
Научные опыты экспертов противоэпилептической лиги доказали высокую вероятность развития шизофрении после выявления МР-картины шизэнцефалии – обширные глиальные скопления от коры до желудочков. Диагностика аномалий должна быть проведена в детском возрасте.
Пожилые люди интересуются -- видна ли шизофрения на мрт? Заболевание выявлять не сложно при клинической симптоматике. Важнее определить специфическую архитектонику мозговой паренхимы до появления галлюцинаций и бреда.
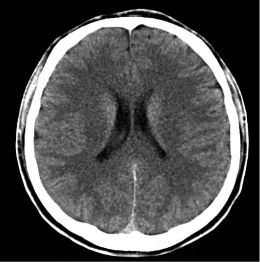
Покажет ли МРТ инсульт
МР-сканирование – единственный метод, позволяющий с высокой достоверностью определить внутримозговые изменения при микроинсульте, васкулитах, ишемическом или геморрагическом инсульте:

- Разрыв сосудов;
- Участки низкой микроциркуляции;
- Скопление воды в мозговых клетках;
- Закупорка артерий;
- Гибель мозговой паренхимы.
Комплекс нарушений помогает точно определить дальнейшее течение заболевания, что позволяет неврологу выбрать оптимальную терапию.
Стадии ишемического инсульта:
- Острая – в течение первых 7 дней. Зоны ишемии четко отграничиваются от здоровой ткани. В Т2 режиме отмечается гиперинтенсивный сигнал, в Т1 – гипоинтенсивный. Вокруг очага жидкость (отек), создающая на томограмме «массэффект»;
- Подострая – 7-21 день. Отечность снижается, сохраняется аномальный сигнал в Т1, Т2 режимах;
- Хроническая – свыше 21 дня. Отек исчезает, сохраняются сигналы, появляется расширение субарахноидальных пространств, желудочков, борозд.
Острое нарушение мозгового кровоснабжения (геморрагическое) возникает при разрыве сосуда на фоне повышенного давления. Участки скопления крови визуализируются на КТ и МРТ, но с помощью магнитно-ядерного резонанса удается установить «возраст сгустка». В основе лежит не только высокое давление, но и патология сосудистого генеза – атеросклеротические бляшки, тромбоэмболия.
Гидроцефалия на магнитно-резонансной томограме
Когда количество притекающей цереброспинальной жидкости в головной мозг превышает отток, происходит расширение пространств, сдавление анатомических структур.
Клинические признаки наружной гидроцефалии обусловлены скоплением воды под мозговой оболочкой и внутри желудочков. Клинически нозология проявляется стойкими головными болями, разнообразными неврологическими расстройствами. Фармацевтическая седация не приносит облегчения – это важный диагностический признак.
При смешанной заместительной гидроцефалии однократный отек обуславливает расширение пространств, но при контроле состояния после МР-томографии не обнаруживается увеличения или уменьшения объема воды. После лечения исчезает симптоматика.
Сложнее лечить умеренную гидроцефалию. Состояние нестабильно и может привести к прогрессированию внутричерепной гипертензии из-за увеличения степени компрессии мозговых структур.
МРТ при болезни Альцгеймера
Стандартом для постановки диагноза болезни Альцгеймера является магнитно-резонансная томография. Исследование выявляет:
- Изменения обмена веществ;
- Избыточную ширину желудочков и борозд;
- Церебральную атрофию (больше в задних участках).
Для определения описанных симптомов через 1 месяц назначается повторная томография для изучения затылочных и височных долей. Подход обнаруживает начальные дегенеративные изменения.
МРТ при невралгиях и невритах

Невралгии и невриты – это хронические неврологические заболевания, характеризуются периодическими приступами боли в области лица, глаз. Обостряется клиника зимой, когда активируется вазоневральный конфликт. На МР-томограммах невралгия тройничного нерва характеризуется появлением симптома «сосудистой петли», при котором возникает изгиб волокна, сдавливающий остальную часть нерва.
Аналогичные изменения на томограммах прослеживаются при неврите лицевого нерва. Поставить диагноз позволяет специфическая клиника.
Ядерно-магнитный резонанс применяется для оценки динамики лечения, выявления степени прогрессирования заболевания, определения причин – воспалительного затемнения по ходу волокна, рака губы, гнойной кисты гайморовой пазухи, демиелинизирующих участков.
Сканирование определяет атрофию зрительного нерва. Исследование проводится не только для изучения нервных волокон, но и для определения причины патологии:
- Опухоли головного мозга;
- Остеосаркома глазницы;
- Микроаденома гипофиза;
- При глаукоме;
- Гипертоническая болезнь;
- Аневризмы.
Причиной атрофических изменений может быть энцефалит головного мозга, метастазы злокачественных новообразований. Комплекс этиологических факторов неврологических расстройств обширен. К примеру, энцефалопатия головного мозга, липома в сосудистом сплетении, менингит могут приводить к обширному комплексу психогенных реакций, компрессии тройничного и лицевого нервов. Новообразования турецкой ямки провоцируют поражение зрительного волокна.
МРТ при сотрясении головного мозга
После травмы головы патологические изменения мозговых тканей чаще появляются не сразу. Клиника может нарастать в течение 12 дней. Легкий обморок при сотрясении головного мозга через несколько часов проходит самостоятельно.
Сильный ушиб головы не всегда обуславливает потерю сознания. Симптоматика нарастает несколько дней. Чтобы не пропустить отек, гематому, повышение внутричерепного давления, гидроцефалию и другие опасные изменения европейские врачи рекомендуют делать снимки МРТ головного мозга. Исследование определит первоначальные изменения, позволяющие спрогнозировать последующие проблемы, назначить грамотное лечение.
Где пройти МРТ головы в Москве и СПб?
МРТ головы в Москве и Санкт-Петербурге проводится огромным количеством самых разных клиник: частных и государственных, взрослых и детских. Выбор действительно богат и позволяет найти свой оптимальный вариант в зависимости от местоположения клиники, качества сканера (закрытого, открытого типа, определенной мощности и т.д.), ценовой политики и даже наличия парковки. Запись на МРТ головы можно пройти как в регистратуре больницы, так и, зачастую, онлайн – что несомненно удобнее и позволяет сэкономить время. Зачастую запись на магнитно-резонансную томографию головного мозга и отдельных структур, таких как, к примеру, глазные орбиты, проводится отдельно, однако в некоторых клиниках их можно пройти в рамках комплексного обследования.
Вы можете узнать, где можно сделать мрт головы недорого на нашем сайте. Мы гарантируем, что адреса и цены МРТ головы в Москве, которые мы предоставляем, всегда актуальны.
Комплексное исследование головы