МРТ кишечника — цены недорого, где лучше сделать в Москве, что показывает
В каких случаях назначают МРТ кишечника
Каждый орган в человеческом организме выполняет определённые функции. При нарушении стабильной работы, в следствие заболевания происходят изменения общего физического состояния человека. Что необходимо нам каждый день, и без чего организм не сможет полноценно функционировать? Таковым является — вода и пища. Мы должны обязательно кушать (и желательно разнообразную и полезную еду), для того чтобы вырабатывалась необходимая энергия. Клеткам в обязательном порядке требуются микро- и макроэлементы. Из ротовой полости по пищеводу пища попадает в желудок, ну а далее в переваренном состоянии отправляется в кишечник. Вот о нём и пойдёт дальше речь. Если у вас на предварительном обследовании обнаружили наличие злокачественного новообразования, вам непременно назначат дополнительное обследование. У вас возникает вопрос: покажет ли МРТ рак кишечника, и насколько достоверны будут расшифровки? Специалисты проведут консультацию, и помогут пациенту справиться со всеми сомнениями и тревогами, которые возникли ранее.
Где недорого сделать МРТ кишечника в Москве
Мы регулярно обзваниваем диагностические центры в Москве и обновляем нашу таблицу минимальных цен.
Записаться по минимальный ценам можно через городскую Справочную, позвонив по
телефону:
8 (499) 110-68-43
(каждый день с 7 до 23)
-
ул. Маросейка, д. 2/15, стр. 1
-
Китай-город, Лубянка, Площадь Революции
-
пн-вс с 8:00 до 22:00
-
- КТ Philips Brilliance CT, 16 срезов
- МРТ Philips Achieva, 1.5 Тл, полуоткрытый
Цены:
-
Подсосенский переулок, д. 17
-
Чкаловская, Курская, Китай-город
-
пн-пт с 9:00 до 21:00, сб-вс с 10:00 до 18:00
-
- МРТ Philips Achieva Intera, 1.5 Тл, полуоткрытый
- КТ Toshiba Aquilion CXL, 128 срезов
Цены:
-
Химки, ул. Совхозная, д. 4, стр. 1
-
Ховрино
-
круглосуточно
-
- КТ Siemens Healthineers SOMATOM, 64 срезов
- МРТ Siemens , 1.5 Тл, закрытый
Цены:
-
ул. Полковая, д.12, корп. 1
-
Савеловская, Марьина Роща, Дмитровская
-
пн-вс с 8:00 до 20:00
-
- МРТ General Electric Optima MR360, 1.5 Тл, закрытый
Цены:
-
ул. Люсиновская, д. 53, корп. 2
-
Шаболовская, Серпуховская, Тульская
-
- КТ General Electric VCT, 64 срезов
- МРТ Siemens Avanto TIM, 1.5 Тл, полуоткрытый
Цены:
-
Переведеновский переулок, д. 8
-
Бауманская, Красносельская, Электрозаводская
-
пн-вс с 8:00 до 22:00
-
- МРТ Siemens MAGNETOM Aera, 1.5 Тл, полуоткрытый
Цены:
-
ул. Центральная, д. 34 А
-
-
пн-вс с 8:00 до 21:00
-
- МРТ Siemens Magnetom Aera, 2015 года, 1.5 Тл, полуоткрытый
- КТ Siemens Somatom Perspective, 128 срезов
Цены:
-
Ленинградское шоссе, д. 47 А
-
Водный стадион, Речной вокзал, Сходненская
-
пн-вс с 8:00 до 23:00
-
- МРТ Siemens Magnetom Essenza, 2015 года, 1.5 Тл, полуоткрытый
- КТ Siemens Somatom Perspective, 2015 года, 64 срезов
Цены:
-
ул. Обручева, д. 21 А
-
Калужская, Беляево, Новые Черемушки
-
пн-вс с 8:00 до 21:00
-
- МРТ Siemens Magnetom AERA, 1.5 Тл, полуоткрытый
- КТ Siemens Somatom Perspective, 64 срезов
Цены:
Содержание
12. Подготовка к МРТ
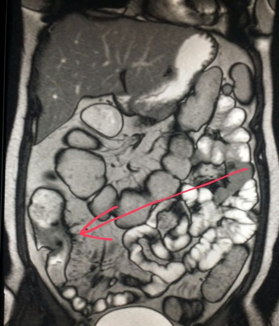
Магнитно-резонансная томография — довольно распространенный вид обследования, который достаточно часто используется и в гастроэнтерологии. МР исследование желудка и кишечника выступает в качестве вспомогательного метода обследования, так как не дает полноценной картины внутренней структуры определенного органа. Томография брюшной полости и тонкого кишечника не предоставляет того дискомфорта, который ощущается при применении иных методов обследования.
Виды магнитно-резонансной томографии
МРТ —это наиболее безопасная и безболезненная процедура среди существующих на сегодня методов исследования. Поэтому при одинаковых показаниях предпочтение отдают именно МР томографии. Так, например, КТ имеет определенные ограничения, а колоноскопия довольно болезненный способ исследования.
Метод гидро МРТ — это введение двойного контраста (одновременное оральное и внутривенное введение контрастирующего препарата для улучшения качества изображения проблемной области) в органы желудочно-кишечного тракта (ЖКТ). Этот метод, как показывает статистика, увеличивает возможность обнаружения различных воспалений, опухолей, полипов, кровотечений на самых ранних стадиях.
Заболевания, наличие которых является поводом для МРТ
Не каждое заболевание требует досконального обследования, зачастую можно обойтись визуальным осмотром. Но не всё порой видно и МРТ кишечника становится просто спасением, когда возникают серьёзные патологические изменения. О необходимости проведения МРТ вам сообщит лечащий врач.
Кишечник человека состоит из двух отделов: тонкая и толстая кишка. Многие болезни кишечника вызывают опасения и настороженность у пациента, но самыми опасными, и вводящими в шок человека, являются раковые опухоли. Помимо этого вредоносного заболевания кишечник подвержен иным недугам. Поводом к назначению томографии могут быть врождённые аномалии, обильное кровотечение, непроходимость кишечника или воспалитильные процессы.
Стоит несколько слов сказать о таком новообразовании как полипы в кишечнике. Это нарост на слизистой оболочке толстой кишки, который в 30 % случаев может переродиться в злокачественною опухоль. Вот почему людям старшего возраста (после 50ти лет) необходима диагностика заболеваний кишечника.
Нередко поводом к обследованию может быть наличие спаечной болезни. Спайки образуются вследствие каких-либо травм брюшной полости или впоследствии хирургического вмешательства. Заболевание обусловленно "склеиванием" серозной оболочки с внутренними органами. В нашем случае это "срастание" кишечника с брюшиной.
Иногда требуется проверить весь пищеварительный тракт пациента, в таком случае назначают МРТ желудка и кишечника, что показывает в целом картину, способствуя дальнейшему постановлению верного диагноза. Мужчинам часто назначают МРТ кишечника и простаты, т.к. предстательная железа расположена непосредственно в зоне прямой кишки. Именно поэтому МРТ прямой кишки, что показывает детальное изображение органов пищеварения, часто назначают в комплексе.
Проверить кишечник с помощью МРТ — это быстрый, а, главное, абсолютно безопасный метод. Обследование тонкого кишечника таким методом позволяет выявить заболевания на ранней стадии.
Делают ли МРТ кишечника и прямой кишки без предварительных показаний
Диагностика заболеваний кишечника всегда проводится методом комплексного обследования. При наличии явной симптоматики (боли в брюшной полости, наличие кровянных выделений и т.д.) пациент сдаёт общий анализ крови.
Золотым стандартом в обследовании кишечника является колоноскопия (обследование при помощи специального зонда). Сразу в голове возникает вопрос, а нужно ли обследовать кишечник на МРТ? Да, этот метод также эффективен для диагностики заболеваний желудочно-кишечного тракта. Задача врача объяснить пациенту в доступной форме, что можно увидеть на МРТ кишечника, и какой информацией вы будете обладать, для прописания дальнейших действий в лечении.
МРТ кишечника, подготовка к исследованию
Перед любым обследованием пациента консультируют. Это необходимо для того, чтобы тот или иной метод имел положительные результаты. Подготовка к МРТ имеет несколько важных аспектов, которые в дальнейшем позволяют получить точные и качественные снимки. Поэтому крайне важно соблюсти все правила подготовительных действий. Записаться на приём и в этот же день пройти МР-обследование кишечника практически невозможно. И это связано не с отсутствием времени записи, а с тем, что подготовка кишечника требует нескольких дней. Ничего сложного в этом нет, самое важное - это питание. За несколько дней до проведения томографии рекомендуется исключить из рациона продукты, вызывающие излишнее газообразование (яблоки, капусту, любые бобовые, чёрный хлеб, кефир, ряженку, газированные напитки и многое другое). Не употребляйте в пищу запорообразующую еду (рис, крепкий чай).
Делать клизму рекомендуется не позже 24 часов перед обследованием, так как необходимо, чтобы кишечник естественным путём освободился от излишнего наполнения. Непосредственно накануне обследования, за несколько часов, можно выпить таблетку Но-шпы. Это позволит снять возможные спазмы кишечника и остановить на время МРТ ненужную перистальтику (естестественное сокращение стенок полых кишок, которое вызывает передвижение каловых масс). Последний приём пищи должен приходиться не позднее, чем за 5-6 часов до обследования, так как МРТ кишечника проводится натощак.
Проведите все выше изложенные процедуры самостоятельно, дабы очистить кишечник перед обследованием. Это крайне необходимо для качественных снимков.
Если у вас имеются металлосодержащие имплантанты, сообщите об этом врачу. Предварительно перед обследованием снимите вещи, которые содержат металл (украшения, предметы одежды, часы и т.д.). Не пренебрегайте этим условием, так как металлические предметы на снимках МРТ отображаются большими белыми пятнами. Диагностика в таком случае теряет смысл.
МРТ кишечника: как делают эту процедуру?
Магнитно-резонансная томография — это усовершенствованный способ сканирования, предоставляющий возможности заглянуть в организм изнутри и определить наличие заболеваний, стадий развития и область распространения недугов (если это касается раковых опухолей или туберкулёза). Как часто бывает с нами, мы ощущаем незначительные боли внизу живота и снимаем спазм приёмом обезболивающих медикаментов. Во многих случаях мы только усугубляем ситуацию, а не устраняем первоочередную причину, которая вызывает болевые ощущения. Не исключено, что данная симптоматика указывает на заболевание кишечника. Это могут быть полипы (доброкачественные новообразования), кишечные кровотечения или же раковые опухоли. Стоит отметить, что на сегодняшний день колоректальный рак прямой кишки, занимает одно из первых мест по распространённости в мире. Крайне важно диагностировать злокачественное образование на ранней стадии.
Какие действия предшествуют процедуре МРТ?
Следует сказать, что при первой симптоматике (боли, тошнота и т.д) лучше обратиться к гастроэнтерологу. Он произведёт визуальный осмотр. Общее обследование пациента имеет важное значение, так как служит основой для выбора специального метода обследования: учитываются все особенности при осмотре пациента, обращается внимание на цвет кожи вокруг заднего прохода, анализируются болевые ощущения, осматривается нижняя часть живота методом пальпации (прощупывание пальцами). Самое важное при осмотре - это не "пропустить" злокачественное новообразование.
Чаще всего в случае с кишечником назначают колоноскопию, но когда пациент на отрез отказывается от такого обследования, или же его недостаточно, то для более чёткой картины (например, подтвердить наличие ранней стадии онкологии) назначают МРТ. В определении злокачественных новообразований МРТ преобладает над иными способами исследования.
С чего начинается обследование?
Вы уже побывали на визуальном обследовании, сдали необходимые анализы (кровь, моча), возможно имеете результаты иных обследований (КТ или колоноскопии), но вам назначено МРТ. Для начала определитесь с выбором подходящей клиники, и запишитесь на консультацию.
Не проходите обследование в сомнительных клиниках, вреда вам это не принесёт, но и результативность будет минимальной (время и деньги на ветер). На консультации специалист подробно объяснит все нюансы проведения обследования и как подготовиться к процедуре.
Важные детали обследования, или что расскажет врач на консультации
На консультации вам сообщат о главных противопоказаниях. Таковыми являются металлические и электронные имплантанты, кардиостимуляторы и кровоостанавливающие клипсы сосудов головного мозга (эти приборы могут выйти из строя, тем самым привести к плачевным последствиям). Специалист выслушает все ваши жалобы о состоянии здоровья, рассмотрит предоставленные вами предыдущие результаты анализов, и посоветует какой вид МРТ вам необходим. Не забудьте на обследование взять паспорт и направление (если таковое имеется).
Проходить процедуру можно в своей одежде, главное, чтобы она была лёгкой и не имела металлической фурнитуры (пуговицы, застёжки, ремни, булавки и т.д.). Ещё один совет: не надевайте металлические украшения на обследование, в центре вам придётся их снять. Наличие металлосодержащих вещей на теле снижает качество снимков (появляются белые пятна). Если одежда будет плотно прилегать к телу, могут возникнуть неприятные покалывания.
Подготовка к МРТ
Орган обследования — кишечник, его следует тщательно подготовить, так как наличие каловых масс или излишних газов не позволят сделать информативных снимков. Процесс подготовки подразделяется на два этапа: пациент вначале готовится в домашних условиях, затем непосредственно уже в клинике в день обследования.
За несколько дней до процедуры исключите из рациона высококалорийную пищу. Не стоит употреблять кисломолочную продукцию, яблоки, капусту, газированные напитки — это вызывает излишнее газообразование. Воздержитесь от жареной и жирной пищи, чёрный хлеб также не рекомендовано кушать. Стоит отказаться на время от представителей бобовых растений (фасоль, горох, нут). Благодаря облегчённому питанию, кишечник за несколько дней очистится самостоятельно. Если же вы страдаете запорами, можете принимать сорбенты (энтеросгель, фильтрум). В обязательном порядке очистите кишечник, от этого зависит правильный результат диагностики. Перед утренним МРТ последний приём пищи рекомендован накануне вечером. Утром в домашних условиях сделайте клизму или же сообщите об этом врачу перед обследованием, вам проведут эту процедуру в центре.
Как проходит МРТ кишечника, и что следует знать пациенту
Вы в домашних условиях провели очистку кишечника, и в назначенное время приезжаете на обследование. В холле диагностического центра вас встречает сотрудник регистратуры и направляет в гардеробную. В этой комнате вы снимаете верхнюю одежду, все металлосодержащие предметы, переобуваетесь (прихватите сменные тапочки, вам будет удобнее разуваться в комнате обследования). Переодеваетесь в специальную одежду, если таковая у вас имеется, оставляете сумку. Всё, вы готовы к дальнейшим процедурам.
Комната, в которой расположен томограф, — безусловно главная, но помимо неё есть вспомогательные помещения, где находится дополнительная аппаратура. К ним относится сестринская комната, компьютерная, пультовая, и, наконец, комната описаний.
Если планируется проведение Гидро МРТ или обследования с контрастированием, вас пригласят в сестринскую комнату, чтобы выполнить все манипуляции. Гидро МРТ с двойным контрастированием предусматривает введение раствора в ЖКТ естественным путём (пациаент выпивает за полчаса до обследования около полутора литров раствора) и внутривенный ввод препарата. В некоторых центрах внутривенно вводят препарат, когда пациент расположен уже на передвижном столике томографа.
Тепрь вы полностью готовы к обследованию, проходите в комнату с томографом. Медсестра поможет расположиться на передвижном столике. Голова будет размещена на подушке. Руки и ноги фиксируются, чтобы пациент лежал неподвижно — это необходимо для чётких снимков.
Вы перемещаетесь в область обследования. Оператор управляет томографом из пультовой, поэтому в комнате вы находитесь одни. Не волнуйтесь, никаких болевых ощущений не будет. Однако томограф во время обследования создаёт шум. Вы можете попросить беруши или специальные наушники, чтобы не слышать шумового эффекта. Но мы бы не советовали вам это делать. Если пациент взволнован, у него нарушается размеренное дыхание, а это негативно отражается на качестве снимков. Поэтому оператор во время обследования просит пациента задерживать дыхание несколько раз. Временная задержка дыхания позволяет исключить двигательные артефакты (это погрешности, возникающие во время дыхания). Вы дышите и нижняя часть живота двигается, тем самым не позволяя сделать чёткий срез при сканировании. В аппарате закрытого типа всегда есть обратная связь с оператором. Это кнопка находится у вас в руке (в виде груши). При необходимости можете её нажать, обследование будет приостановлено. Томограф сканирует и передаёт снимки на большие негатоскопы, они расположенны в комнате описаний. Продолжительность обычного обследования 30-40 минут, с применением контраста около часа.
Как видите ничего опасного и болезненного в процедуре нет. От вас требуется только спокойствие, неподвижность и чёткое выполнение указаний оператора.
Завершающий этап обследования
Вам сообщают о том, что обследование завершилось, и приглашают пройти в комнату описаний, где врач-радиолог сделает расшифровку результатов. Изучит результаты ранее пройденных обследований и историю болезни (при наличии). На основании всех данных будет написано заключение. С пациентом будет проведена беседа о наличии возможных патологий кишечника, и даны рекомендации о дальнейших действиях (куда обратиться, какое обследование вам ещё можно сделать). На руки вы получите снимки и заключение специалиста с подписью, если вам необходимы результаты обследования на электроном носителе, они будут записанны на диск. Стоит отметить, что расшифровка длится около часа, но в тяжёлых случаях требуется около суток, чтобы получить результаты обследования на руки. На этом ваша диагностика кишечника завершена, если ничего опасного не выявили, вы счастливо идёте домой. Берегите своё здоровье - это ключ к долголетию!
Что означает МРТ кишечника с контрастированием, или для чего применяют контраст?
Для получения хороших снимков толстой кишки проводят гидро-МРТ. Основными аспектами метода является двойное контрастирование. Пациент перед обследованием принимает до полутора литров воды (которые естественным путём перемещается в кишечник), и дополнительно внутривенно водится контраст, накапливающийся в стенках кишечника. Вседствии проведённых манипуляций толстая и тонкая кишка в достаточной мере растягиваются. Гидро МРТ в полной мере покажет наличие воспалённого участка тонкой кишки, обозначит протяжённость патологии и возможные вторичные проявления заболеваний (метастазы). Пациент размещается на столе аппарата МРТ животом вниз. Процедура длиться около часа. После обследования вы получите расшифровки, которые помогут поставить верный диагноз.
Многие пациенты боятся проводить процедуру, так как считают, что не смогут выдержать длительное время находясь без движений из-за нарушений работы кишечника. И вот тут возникает вопрос, можно ли обследовать кишечник на МРТ без ощутимого дискомфорта? Расскажите врачу о своих опасениях, так как задача наших специалистов не только провести обследование, но и сделать это макссимально безболезненно для пациента.
Информационное обследование, или как делают гидро МРТ тонкого кишечника
На приёме у врача мы нередко слышим непонятные медицинские термины. Когда заходит речь о диагностике, нам хочется узнать более подробно о процедуре, которая будет выполняться. И это не удивительно. Мы приходим в больницу, чтобы получить полноценные и достоверные ответы на вопросы. Магнитно-резонансная томография - безопасный и эффективный, детальный метод обследования внутренних органов. Для улучшения визуализации заболеваний кишечника делают гидро МРТ. Для некоторых пациентов этот метод кажется невыносимым, так как приходиться лежать неподвижно на животе около часа. Но стоит учесть положительные отзывы пациентов, что это информативный, и главное безвредный метод обследования. Если вы решитесь делать обследование в "северной столице", но не знаете как определиться с клиникой, позвоните по телефону, указанному на странице, и узнайте, где делают гидро МРТ в Москве. Наш консультант поможет с выбором медицинского центра.
Что это такое — гидро МРТ кишечника, и как его проводят?

Когда мы слышим слово "гидро", то понимаем, что метод основан на применении воды. Действительно, гидро МРТ — это доскональное обследование при помощи большого количества воды с добавлением препаратов, замедляющих всасывание. Обязательным условием для проведения МРТ является хорошее растяжение кишечника. Достигнуть такого результата можно при помощи наполнения его жидкостью. Основные показания к проведению обследования — это наличие воспалительных процессов.
К таковым относятся язвенный колит, болезнь Крона, опухоли (злокачественные и доброкачественные), врождённая патология кишечника. МРТ назначают тогда, когда пациент уже сдал анализы, и у врачей появились сомнения для постановки точного диагноза. При помощи гидро МРТ можно выявить воспалённый участок тонкого кишечника, установить размеры поражённой области. Помимо этого при обследовании выявляются метастазы (вторичные новообразования) в отдалённых соседних органах, что даёт полноценную картину состояния организма человека.
На консультациях пациенты часто задают вопрос, а что означает контрастирование, и делают ли с контрастом данное обследование? Да, гидро МРТ основано на двойном контрастировании стенок кишечника. Пациент выпивает раствор на основе воды (естественный контраст). Дополнительно вводят внутривенно препарат, который обеспечивает на изображениях подсветку стенок кишечника. Контрастный препарат не содержит йод (как, например, при компьютерной томографии), поэтому в очень редких случаях может вызвать аллергию у человека.
Гидро МРТ кишечника: подготовка к обследованию
Подготовительный этап не займёт слишком много времени, но потребует некоторой ответственности от пациента. Так как кишечник будет наполняться раствором, его следует предварительно очистить. Чтобы эта процедура прошла максимально естественным путём, не употребляйте в пищу высококалорийную еду, газообразующие продукты. Непосредственно перед обследованием следует сделать очищающую клизму. Если возникнет необходимость, врач назначит вам слабительное. Если вы слишком волнуетесь, примите успокоительное, но предварительно уточните какой препарат можно принять.
Существующие ограничения
Гидро МРТ является безопасным методом диагностики. Но и здесь не обошлось без некоторых исключений. Не рекомендовано делать беременным женщинам, так как досконально не изучено, как воздействует магнитное поле и контрастирующее вещество на плод. Если у вас имеются металлосодержащие имплантанты или татуировки (которые также содержат частицы металла) в области обследования, то МРТ делать противопоказано. Некоторые пациенты имеют большой вес (более 120 кг), их не обследуют на аппаратах закрытого типа.
Следует внимательно читать и отвечать на вопросы в анкете (её выдают на консультации), чтобы в дальнейшем не возникло конфликтных ситуаций.
Преимущество гидро МРТ
В первую очередь положительным моментом является тот факт, что обследование безвредно для взрослого человека (детям чаще всего делают с 6ти лет). В процессе обследования не применяется неинвазивный метод (внедрение инструмента в тело человека).
Гидро МРТ позволяет выявить онкологическое заболевание на ранней стадии, чётко оценить пределы распространения.
Проходите своевременно обследование и лечение. Не позволяйте недугу вас одолеть!
Какие отличия КТ от МРТ кишечника?
Это наверное первый вопрос, который задают пациенты с выявленными нарушениями в работе кишечника. Невозможно ответить однозначно, так как оба метода вполне эффективны. И каждый из них может показать полную картину состояния внутренних органов. Главное отличие компьютерной томографии от МРТ — это то, что метод основан на использовании рентгеновских лучей (которые негативно воздействуют на человека). Иными словами, человек получаетт незначительную дозу радиации. Но не стоит так пугаться, всё в пределах допустимых норм. Магнитно-резонансная томография основана на воздействии магнитного поля, которое создаётся при помощи большого магнита, окружающего тоннель томографа. Оно воздействует на атомы водорода в клетках организма, позволяя "считывать" необходимую информацию о состоянии мягких тканей. Для КТ есть определённые ограничения: не допускается применять это обследование детям, беременным и кормящим женщинам! Стоит отметить, что и МРТ не рекомендовано делать во время беременности, только если есть крайняя необходимость, и при условии, что женщина уже находится на втором или третьем триместре.
Что эффективнее: колоноскопия или МРТ кишечника?
Современная медицина позволяет детально обследовать организм. Человек осознанно должен понимать, что в первую очередь это необходимо для него самого. Желудочно-пищеварительный тракт выполняет одну из важных функций в нашем организме - отвечает за переваривание пищи, которая в свою очередь насыщает кровь питательными веществами. Вот почему любое заболевание этой системы настолько плачевно для нас. Необходимо по возможности своевременно проходить обследование и предотвращать развитие новообразований.
На очередном приёме у врача вам в качестве профилактики могут назначить обследование ЖКТ, к примеру колоноскопию или МРТ кишечника. Сразу возникнет вопрос, а какое обследование лучше, и чем они отличаются? Чтобы чётко понимать и разобраться в этом вопросе, необходимо выяснить в чём суть того или иного обследования. Стоит отметить, что обследование ЖКТ во многих странах является обязательной процедурой, которую проходят и мужчины, и женщины, начиная с 40 лет. К внутренним обследованиям при помощи эндоскопа относят: колоноскопию, гастроскопию, эзофаскопию. Внешние обследования при помощи излучения - это МРТ и КТ. Выбор метода обследования всегда остаётся за пациентом. Но задача врачей объяснить суть каждого обследования и посоветовать, какие виды диагностики вашего организма будут более эффективны.
Что означает колоноскопия и как проводится?

Рассмотрим более детально метод колоноскопия, и что даёт нам такое обследование. Колоноскопия - это исследование толстой кишки специальным зондом. Для более ясной картины осветим алгоритм выполнения процедуры. Обследование проводиться с помощью миниатюрной камеры расположенной на специальном зонде (трубке), которая введена в прямую кишку, через анальное отверстие. Пациент располагается на кушетке в горизонтальном положении, покручиваясь на бок. Процедура проводиться вполне безболезненно, так как пациент принимает снотворное, и быстро погружается в кратковременный сон. Продолжительность сна, соответствует времени проведения обследования. При помощи крошечной эндоскопической камеры, которая постепенно продвигается внутри толстого кишечника, доктора детально изучают внутрение стенки кишечника. Для выравнивания кишечника через зонд подаётся воздух. Глубина введения зависит от протяженности кишечника. Изображение подаётся на экраны мониторов в многократном увеличении. Пациент пробуждается по окончанию процедуры и получает готовые результаты обследования.
Колоноскоп - длинная трубка с маленькой камерой и подсветкой. Длина зонда составляет около 160 см. Внутри трубки имеются дополнительные каналы для специального оборудования, которое проводит при необходимости биопсию (иссечение кусочка ткани при подозрении на новообразования). С помощью дополнительных приспособлений возможно останавливать кровотечение или получить исследуемый материал (для дальнейшего изучения). Помимо колоноскопа используют фиброколоноскоп, им проводится фиброколоноскопия (ФКС). Этот метод является аналогом колоноскопии, но именно с его помощью можно извлечь материал для биопсии.
Необходимо сказать, что одной из основных проблем в медицине, касающихся поражения раковыми заболеваниями, колоректальный рак лидирует по распространённости. Колонскопия — это качественная диагностическая профилактика колоректального рака и вторичных его проявлений (метастазов).
Какие заболевания диагностирует колоноскопия, что показывает этот метод?
Помимо онкологии, существует ряд заболеваний определяемых этим методом. Показания к обследованию разнообразны. К таковым следует отнести: внутренний геморрой (который невозможно определить наощупь), болезнь Крона (воспаление слизистой оболочки), неспецифичный язвенный колит, полипы (доброкачественные новообразования), дивертикулы (выпячивание толстой кишки), туберкулёз кишечника (вторичное образование, так как изначально инфекция возникает в лёгких).
Все эти заболевания в одинаковой мере поражают и тонкий кишечник, а детальное его обследование вы можете сделать при помощи МРТ. Это щадящий метод для пациента, который с чрезмерной тревогой относится к обследованиям.
В чём заключается подготовка к процедуре, и есть ли отличие от МРТ
Колоноскопия как и МРТ требует очищение кишечника. Для полноценной процедуры обследования следует выполнить ряд определённых правил. Кишечник - это орган, в котором находится пищевая кашица (переваренная пища из желудка). Для того, чтобы провести обследование, следует очистить кишечник. Именно на этом и основан весь подготовительный этап, который должен провести пациент в домашних условиях. На предварительной консультации у эндоскописта (врач, который проводит обследование при помощи специального оборудования) вам подробно расскажут, как подготовить свой организм.
Так как это кишечник, разговор будет о еде. А именно, что не следует кушать. В обязательном порядке назначается диета перед процедурой. За несколько дней до исследования исключите из рациона высококалорийные продукты, так как организм не может их быстро переваривать и зашлаковывается. Воздержитесь от приёма газированных напитков и кисло-молочной продукции. Исключите на время из питания чёрный хлеб и бобовые, чтобы не вызывать излишнего газобразования.
Накануне самой процедуры (примерно за день) вам необходимо тщательно очистить кишечник. Это можно сделать двумя способами: медикаментозным и механическим. В первом случае пациент принимает поэтапно слабительные препараты (например лавакол), кишечник таким образом очищается естественным путём. А второй метод заключается в проведении нескольких клизм. Не делайте выбор самостоятельно, проконсультируйтесь с врачом, дабы не навредить себе.
В заключение о подготовительном этапе следует отметить, что подготовка к МРТ отличается несущественно.
Существенные противопоказания
Для того, чтобы с вами было всё хорошо во время и после процедуры, необходимо достоверно рассказать о наличии всех заболеваний, имеющихся у вас, связанных с внутренними органами. Это позволит врачу определить можно ли делать вам колоноскопию. А также он сможет дать вам совет, чем можно заменить это обследование.
Непозволительно делать колоноскопию людям, у которых плохо свёртывается кровь. Также не допускаются пациенты с последней стадией сердечно-сосудистых и лёгочных заболеваний. Перитонит или воспаление брюшины — это тоже тот факт, зная о котором, не назначают процедуру. Будьте бдительны и сообщите о предварительных диагнозах заболеваний, если таковые у вас имеются.
Можно ли выполнять колоноскопию под наркозом
Чаще всего пациенты задают вопрос, а как проводится колоноскопия и больно ли её делать? Опираясь на многочисленные ответы врачей, стоит отметить, что в большинстве своем пациенты не испытывают болевых ощущений. Лишь создаётся лёгкий дискомфорт. Но для пациентов это не аргумент. Чтобы исключить все негативные ощущения иногда делают наркоз. Выполняется колоноскопия с седацией. Иными словами, седация - это не продолжительное состояние сна, притупляются все явные ощущения и тревога. В ходе процедуры человек не ощущает никакого дискомфорта. Всё зависит от вашего эмоционального состояния, и вам решать проходить диагностику с наркозом или без него. Если пациенту нельзя делать колоноскопию с наркозом, применяют местное обезболивание при помощи мазей.
Назначают ли детям колоноскопию
У детей к сожалению, также как и взрослых, существуют заболевания кишечника. Детям до 10 лет делают колоноскопию под наркозом. Колоноскопия ребенку назначается в случаях воспалительных процессов толстой кишки, при наличии кровяных сгустков в калловых массах, для обнаружения инородных предметов (маленький ребёнок может проглотить что-то мелкое). Техника проведения не особо отличается от колоноскопии у взрослого человека.
Стоит ометить, что и при МРТ детям назначают анестезию, так как ребёнок не может выдержать длительное время обследования без движений. Этот метод - прекрасная альтернатива исследования кишечника ребёнка.
Колоноскопия или МРТ, что лучше
Вопрос очень щепетильный, так как ответить на него однозначно невозможно. Магнитно-резонансная томография - это вполне безопасный и действенный метод. МРТ позволяет сделать качественные снимки тонкой и толстой кишки. Под воздействием магнитного поля "считывается" и записывается информация. Этот метод ещё называют виртуальной колоноскопией.
Для полноценной картины сравним эти методы по отдельным критериям. При помощи колоноскопии можно не только обследовать толстую кишку на заболевания (полипы, язвы, раковые опухоли, дивертикулы и т.д.), но и устранить патологию, например: удалить полип, извлечь инородное тело, провести биопсию, или устранить внутреннее кровотечение толстого кишечника. Провести оценку цвета внутренней слизистой оболочки.
Метод МРТ проводит также обследование всех выше перечисленных патологий. Преимуществом является тот факт, что можно сразу обследовать весь кишечник, и выявить изменения не только в толстой кишке, но и в тонком кишечнике, тем самым предупредить вторичное образование онкологии. Следует отметить, что беременным не проводят колоноскопию и МРТ (в редких случаях можно после первого триместра). Для детей в обоих случаях используют наркоз, а проведение процедур под анастезией допускается только по достижению ребёнком 10 кг веса.
Врачи настоятельно рекомендуют осматривать кишечник людям среднего и старшего возраста. Если вы решили обследовать свой кишечник на МРТ, приглашаем пройти это обследование в наших клиниках. Применение современного оборудования (аппараты европейского стандарта) позволит установить всевозможные патологические изменения в кишечнике.
Даже если Вы здоровы, сделайте себе подарок — сходите на обследование. Главным выгрышем будет Ваша долгая и счастливая жизнь!
Городская Служба записи на МРТ и КТ
Консультация по общим вопросам диагностики
Запись по всем районам города
Услуги Службы записи бесплатны для пациента
Куда обратиться, или где можно сделать МРТ кишечника
Вы можете обратиться как в государственную, так и в частную клинику. Принято считать, что в частной клинике обследоваться намного дороже, но это не всегда так. В частных поликлиниках есть возможность пройти быстрее обследование (не дожидаясь неделями своей очереди). Вы в поисках информации о клиниках, и не знаете где сделать МРТ кишечника в Москве и СПб? Смело звоните в бесплатную общегородскую службу по указанному номеру. Вам помогут подобрать клинику, которая будет ближе всего к вашему дому. Существуют центры, которые принимают пациентов в ночное время. Специалисты в доступной форме проведут консультацию и помогут справиться с любыми страхами.
Сколько стоит магнитно-резонансная томография?
В наше время мы особенно обращаем внимание на стоимость той или иной процедуры. Так, сможет ли среднестатистический гражданин позволить себе пройти такое исследование? Какие цены на МРТ кишечника в Москве? В различных исследовательских центрах цена варьируется от 3000 до 6000 рублей за процедуру. А цены на гидро МРТ достигают уровня 7 000 – 8 000 рублей.
Учитывая вышеизложенное, следует отметить, что МР томография кишечника или желудка наиболее удобная процедура для пациента, но не самая эффективная с точки зрения врача. Но проходить МРТ, КТ или эндоскопию — этот выбор остается за Вашим лечащим врачом.